有问:
患儿,男,8岁,皮下结节伴发热1周。
既往史:复发性B细胞急性淋巴细胞白血病时,出现皮下结节,并伴有1周的
发热后接受了广谱静脉抗生素和抗真菌治疗,但仍持续发热。
体格检查显示胸部、背部、手臂和腿部的结节,直径为5-18mm。皮疹处于不同阶段:红斑、丘疱疹伴局部硬化且疼痛、有中央坏死结痂。

初步诊断是什么?
结节性红斑
镰刀菌病
皮肤纤维瘤
皮肤白血病
播散性卡介苗病
==========================
初步分析:
该例的特征是化疗患儿持续性发热和典型皮疹包括红斑或丘疱疹伴局部硬化、疼痛,有中央坏死结痂。
化疗患儿持续性发热和皮疹,考虑感染性疾病可能性大。播散性卡介苗病绝大多数要提及卡介苗接种部位;结节性红斑一般不会出现破溃。因此镰刀菌病的可能性增大。重点检索病例回顾。
==========================
病例文献回顾
患儿女,13 岁,因“骨髓增生异常综合征(MDS)化疗后,发热7天,头痛、耳痛2天” 入PICU。患儿重要临床信息见图。

患儿1 月余前因“面色苍白伴血象三系减少1 月余” 入院,经骨髓活检等诊断为MDS,采用地西他滨化疗方案,期间曾出现粒细胞缺乏症和感染性休克,经抗休克、抗感染等治疗好转后出院,但粒细胞水平仍<0.5×10*9/L。
7天 前患儿出现发热,腋温最高39.9℃,在外院先后予头孢哌酮舒巴坦、美罗培南和替考拉宁,发热未得到控制。2天 前出现间断性右侧头痛、右耳深处疼痛,呈刀割样。
入PICU 后持续发热, 体温38.4 ~41.0℃、右侧颞部深部刀割样疼痛,多次血常规WBC 均<0.5×10*9/L,中性粒细胞绝对计数均<0.1×10*9/L,予美罗培南和替考拉宁。
入PICU 第4天 加用伊曲康唑抗真菌治疗,发热、头痛等症状无好转。
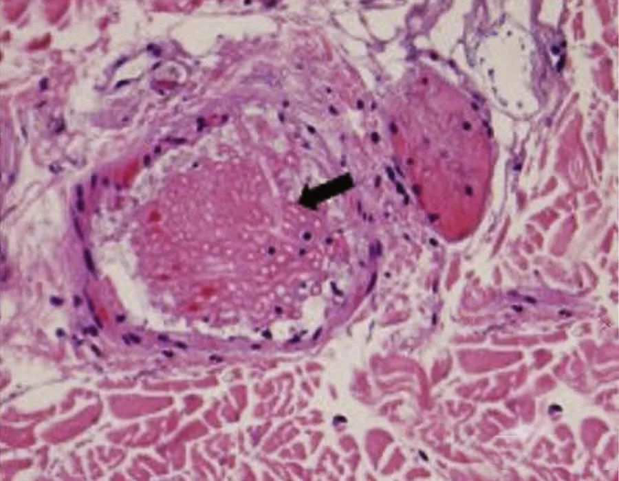
第7天 时,右手臂前掌内侧皮肤出现一红色触痛硬结,对皮疹进行活检,活检显示真皮中存在血管侵袭性真菌,其形态与镰刀菌最为一致(B组,黑色箭头显示血管侵袭性真菌)。

第14天发生感染性休克,血、腹水培养均发现铜绿假单胞菌,抗真菌药物改为两性霉素B 联合米卡芬净。
第28天 行骨髓穿刺液培养,发现镰刀菌生长(因技术条件限制未能提供具体菌株),同时痰培养发现嗜麦芽寡单胞菌,骨髓培养结果回报后米卡芬净更换为泊沙康唑,期间抗细菌治疗根据药物敏感试验结果调整。
第51天,四肢和躯干部发现散在皮下液性包块,周围伴有红肿,随后包块中央出现瘀斑及多发紫红色硬结伴中央坏死结痂,痂皮脱落后形成边界清晰的火山口样溃疡( 图2)。

皮下液性包块穿刺液培养见镰刀菌生长(图3)。

第62天 血培养亦见镰刀菌,但皮下包块未增加,继续抗真菌方案。患儿血常规WBC 和中性粒细胞逐渐上升,胸、腹水引流减少,无气促、腹痛,全身皮疹结痂。
在PICU 住院68天后病情稳定, 后转至儿科血液病房继续治疗, 体温37 ~38.5℃。
第84天血真菌培养转阴性。继续泊沙康唑和两性霉素B 治疗,发热无明显好转。
第9 个月时,全身感染难以控制,出现多器官功能衰竭,家属放弃治疗。
==========================
有答:
化疗后播散性镰刀菌感染
建议该例完善检查:
血液或分泌物真菌培养
组织病理活检
胸部CT
实验室诊断只能通过血培养确立。
实时定量PCR等快速的检测方法常用于镰刀菌的早期诊断 。
组织病理活检对于诊断的意义有限:镰刀菌难以从形态学上与曲霉菌鉴别。
播散性镰刀菌患者几乎都存在胸部CT双肺散在结节影及斑片影,但不具特异性。
==========================
临床意义
在白血病患者侵袭性真菌感染中,镰刀菌是仅次于曲霉菌的主要病原体,其传播途径与曲霉菌感染类似。恶性血液病和骨髓移植后发生镰刀菌感染的患者病死率为70%~100%,实体器官移植受者发生镰刀菌感染的死亡率约30%。早期诊断、有效治疗并尽早改善患者的免疫抑制状态是提高侵袭性镰刀菌感染患者生存率的关键。