
神经介入在线原创文章,如需转载请留言

作者|洪全龙,张义森,姜鹏,马宁
单位|首都医科大学附属北京天坛医院
本
周我们汇报一例左椎动脉V4段重度狭窄血管内介入治疗过程,具体如下。

病例详情
患者,男,66岁,主因“右上肢麻木无力20余天,头晕10余天”入院。
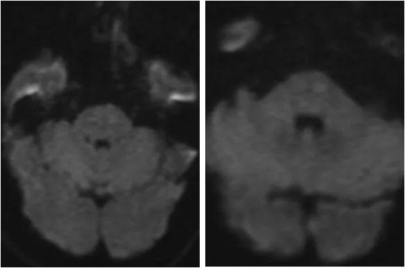
患者20余天前感右上肢麻木无力,因程度轻,未予重视。10余天前出现头晕,伴站立不稳,持续约1分钟后自行好转。病后就诊当地医院行头MRI:脑桥区新鲜梗死(图1)。

图1
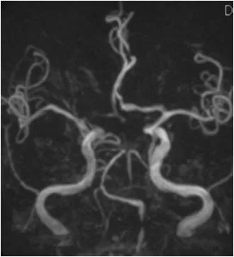
MRA:双侧胚胎型大脑后动脉;左椎动脉优势,V4段重度狭窄(图2)。

图2
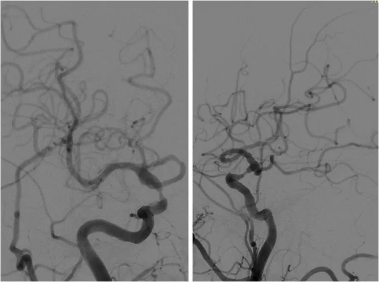
DSA:右颈内动脉C6段重度狭窄;双侧胚胎型大脑后动脉;左椎动脉V1段迂曲,V4段重度狭窄;右椎动脉纤细,V4段以远显影欠佳(图3-6)。

图3

图4

图5

图6
患者为进一步治疗,收入我科。
既往史:高血压10余年;中风病史1年(考虑右颈内动脉颅内段狭窄为责任病变,具体治疗过程不详);冠心病,冠脉支架术后(2014-02);吸烟。
体格检查:NS(-)
入院后给予双联抗血小板(拜阿司匹林肠溶片100mg 1/日+氯吡格雷75mg 1/日)、降脂(阿托伐他汀钙片20mg 1/日)、降压等治疗。
术前讨论
●1.手术指征:新近脑梗死考虑左椎动脉V4段狭窄为责任病变,拟行血管内介入治疗。
●2.治疗策略:左椎动脉V4段狭窄,病变较为局限,病变段也较为平直。拟先小球囊预扩张,然后放置球囊扩张支架。
●3.相关风险:穿支闭塞,动脉夹层,急性亚急性血栓形成等。
治疗过程简述
全麻下右股动脉入路,将6F导引导管至左椎动脉V2段。 造影显示左椎动脉V4段重度狭窄(图7)。

图7
路径图下将Transend微导丝(0.014”,300mm)送至右小脑上动脉远端,沿微导丝送入Gateway球囊(2.0mm×9mm)于狭窄处预扩张(图8)。

图8
扩张后撤出球囊,沿Transend微导丝送入Apollo球囊扩张支架(2.5mm x8mm ),命名压释放支架后造影,局部残余狭窄严重(图9)。

图9
遂以大于命名压的压力后扩张支架。其后造影显示支架处无明显残余狭窄,支架近心端管壁侧后方见局部造影剂滞留,考虑血管夹层(红箭)(图10)。

图10
观察10余分钟后,造影复查无变化后结束治疗。
术后查体同前。
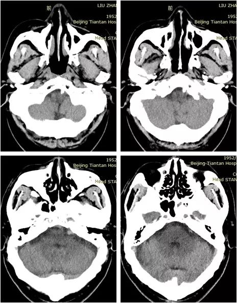
术后即刻头CT:未见出血(图11)。

图11
术后复查头颅CTA:支架内通畅(图12)。

图12
讨论
本例左椎动脉V4段重度狭窄,释放球囊扩张支架后即出现夹层,所幸夹层位于支架近心端逆血流方向,进一步撕裂可能性不大。椎动脉V4段狭窄,因合并钙化或者为纤维性斑块,在血管内介入治疗过程中常遇扩张困难。类似病变,如无充分扩张,放置任何类型支架,都会因支架贴壁欠佳,导致系统回撤困难,也易诱发急性亚急性血栓形成。此时选择稍小直径球囊或球囊扩张支架,有助于减少相关并发症。
欢迎大家在下方留言区讨论关于本病例的看法~

往期精彩回顾
Recommended reading

天坛周记专栏
(往期合集)
长按下方二维码进入

神经介入在线作为中国卒中学会神经介入分会的官方公众号,现已成立三年。作为最早创建的神经介入专业的学术交流平台,由缪中荣教授团队倾力打造,秉承合作、创新、交流的宗旨,为医务工作者提供国内外神经介入领域最新资讯、指南,聚焦难点深度评论,引领学术前沿。
2019年致力搭建神经介入领域国内外最新医学资讯、研究进展、病例讨论、趣味科普等各项学术交流互动共享平台,整合医疗资源,发挥联盟优势,风雨共济,守候健康,我们在这里等你!

颈动脉班2019.3.3-4.3
长按二维码立即报名