很多人对痘痘缺乏系统、科学的认识,于是经常在不知道自己长的是什么痘的情况下,使用各种各样的产品,导致变成激素脸,甚至留下痘印痘坑。
为了帮助大家尽早摆脱痘痘的困扰,这里总结了以下几点:

痘痘的种类
大多数人搞不清楚自己长的到底是什么。闭口、丘疹、毛囊炎、*疮痤**?傻傻分不清楚......
一张简单的思维导图供大家参考。

其实我们常说的“痘痘”医学上叫*疮痤**,*疮痤**分为两类,非炎性与炎性损害。非炎性损害也称作粉刺,我们常说的闭口、白头、黑头等都属于这类。
非炎性损害只需要用角质剥脱剂,减弱胶质细胞粘连性的药物,就是我们常用的各种刷酸手段便能有效解决。
丘疹,脓疱,结节等这类炎性损害的重点是要抑杀*疮痤**丙酸杆菌等,所以要用到消炎杀菌药和抗生素治疗。
1 闭合型粉刺:
我们常说的闭口,肤色的突起于皮肤表面的小颗粒,在阳光下特别明显,有的可以挤出白色的内容物有的挤不出,有的进一步发展还会演变成炎性*疮痤**;▼

2 开放性粉刺:
黑头。

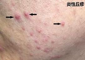
3 丘疹:
*疮痤**最基本的损害,就是那种小红痘,一般挤出来是组织液,没有白色粉刺。有的进一步会发展成脓疱型,厌氧性*疮痤**丙酸杆菌大量繁殖,分解皮脂,产生化学趋化因子,白细胞聚集而发生炎症性丘疹,属于炎性损害。▼

4 脓疱:
脓疱是炎性丘疹的进一步发展、加重。大量脓细胞堆积成脓疱。一般都会有脓头且按压起来较痛。此种情况愈后容易产生疤痕,严重甚至凹陷性疤痕。▼

5 结节:
按压起来很痛,比较硬。初期是肤色的用手能摸出来但表面看不大出,后面会变成红肿的,但是挤不出东西。好发于面部下巴、眉间,这种痘痘即使你不挤破,消退后也会留下色沉,因为已经伤到真皮层了。图片这种就是最轻微的结节。算是很常见的。
经常熬夜、压力过大的时候比较容易长这种痘,如果是女生下巴反反复复长这种痘,可能是激素水平失调,最好去医院做一个性激素六项检查,在医生的指导下口服抗生素、抗雄药物、异维A酸等。▼

6 囊肿:
在结节的基础上,发生在真皮或皮下组织含有液体或者半固体,隆起的表皮很像结节,但是质地较柔软。常继发化脓感染,破溃流脓,形成窦道及疤痕。▼


如何针对性的治疗痘痘
不同类型、不同程度的痘痘需要不同的处理方案,整体来说:
对于炎症痘来说,关键是消炎抗菌,发炎的标志就是红色,凸起于皮肤表面,再继续发展下去就是白色脓头,以及局部组织的坏死产物,你可以等待身体的清道夫们慢慢把这个坏死物吸收,也可以立刻自行清理掉,比如针清。
而非炎症例如黑头白头,闭口这些,需要长期的调理,黑头白头可能临时清一次会舒服两天,接下来还会长,闭口那就需要十足的耐心去慢慢调理角质了。
你可以采取的策略:


不同程度痘痘的一些常用药物:
1️,轻度(粉刺)
●阿达帕林(达芙文)
主要针对闭口痘粉刺这些非炎性*疮痤**有很好效果,对于炎症*疮痤**效果很一般,联合班赛或者夫西地酸有很好的治疗轻、中度的*疮痤**。
刚开始可以在用完普通护肤品后使用阿达帕林,能减少刺激度,但是同时会减低效果,使用的剂量不要太多;起初隔天使用一次,皮肤没有不良反应便可慢慢每天使用。如果有出现不良反应一般也会在半个月左右慢慢消失,如果长久一直皮肤不耐受,就不建议继续使用了。很多人出现不耐受是因为用量过大,绝对不能用酸来厚敷。注意:阿达帕林一定要避开眼周用,用完以后一定要洗手才能擦别的护肤品。

2️,中度II级(炎性丘疹)
●夫西地酸乳膏(抗生素,无激素)
用来对付炎症丘疹最常用的药膏,处方药,需要到医院开。主用于革兰式阳性球菌引起的皮肤感染。如脓包疮,疖肿,甲沟炎,创伤合并感染,须疮,汗腺炎,红癣,毛囊炎,寻常*疮痤**,湿疹合并感染,溃疡合并感染等。
对于炎性*疮痤**,小脓疱,白头这类效果很好,局部使用,一天2-3次。
夫西地酸(早)和阿达帕林(晚)联合使用治疗中度的*疮痤**效果更佳!
耐药性比较小,如需长期使用建议和过氧化苯甲酰(班赛就是过氧化苯甲酰)联合使用,或者和阿达帕林联合使用,能减少耐药。
●甲硝唑凝胶
用于寻常*疮痤**,也可用于脂溢性皮炎及酒糟鼻,玫瑰*疮痤**。配合夫西地酸用来治疗炎性丘疹效果不错。一天2-3次。

3️,炎性脓疱
●过氧苯甲酰凝胶(班赛)
治疗*疮痤**的常用药之一,属于抗菌剂,特别是针对*疮痤**丙酸杆菌,对于发炎丘疹和脓疱*疮痤**都有很好效果。 是表皮杀菌,不像抗生素那么深入,但是不会产生耐药性,可以长期使用。唯一缺点就是刺激性很大,用后容易脱皮。所以一般建议买浓度5%的就足够了,并且一定要点涂在痘痘上就好,不要整片的皮肤涂抹不要用量太多。一般皮肤科医生都不会一开始就开班赛,班赛的刺激性个人觉得比阿达帕林还大,而且用后容易有色素沉淀,个人觉得使用5%的不那么容易出现色素沉淀,因为不管是否用它要留的痘印还是留了。不能和维A酸同用,但是可以和达芙文(阿达帕林,第三代维A酸)联合用。白天用班赛,晚上用阿达帕林。(建立耐受度的过程参考阿达帕林)
●莫匹罗星软膏(抗生素)
一般小伤口处理的家庭必备良药,普通药店就可以买到,涂于开放的创口上面,建议用于挤破痘痘后使用。
不仅挤破痘痘后可以使用,轻度擦伤也可以使用防止细菌感染。长在胸口背部等身体部位的多数是毛囊炎,炎性*疮痤**更适合使用班赛或者夫西地酸,毛囊炎的百多邦或者夫西地酸都可以。
丘疹脓疱混合全脸爆发已经属于中度III级*疮痤**,如果脸上爆发丘疹混合脓疱,甚至还有结节、囊肿、闭口等等,那已经属于重度*疮痤**,这样的话就需要口服抗生素等加以控制了。
这里用的口服抗生素一般指第二代四环素类抗生素,是系统治疗中重度*疮痤**的首选,包括赖甲四环素、米诺环素、多西环素、美他还素。主要作用是消炎。

4️,结节、囊肿(重度)
如果你是偶尔长一两个结节,首先就是调节饮食和睡眠,非常重要!偶尔长结节一般都是那一段时间作息不规律。
很多人和我说我熬夜没办法我这工作/学习必须得天天熬夜,长结节我该擦什么护肤品?
我先讨论平时不长痘但是偶尔长结节的对策:
●Mario Badescu 净痘精华液 强力型
用来治疗冒不出来的结节等深层*疮痤**效果很好,和温和型不一样,这款需要摇匀使用。
使用方法:把化妆棉分层撕开,剪一小块化妆棉(能盖住痘痘的大小就行),然后把精华液倒出来浸湿那一小块化妆棉,之后敷到痘痘上,10-15分钟后取下来,不需要洗脸,直接睡觉

重度*疮痤**需要联合多种治疗手段
口服一些有凉血化瘀的中成药也可以帮助结节消退。
对于中重度炎性*疮痤**,还可以采用红蓝光疗法作为辅助,照红蓝光期间皮肤比较容易干燥,要加强保湿。

什么情况需要去医院治疗?
虽然没有统一的说法,但是突然爆发的皮肤*疮痤**样改变,全脸分布,超过5个以上,自己感觉难以控制,建议去医院。
别拿*疮痤**不当病,自己瞎擦东西最后痘痘没好反而把皮肤搞敏感的例子太多了。
很多人说看医生没用,很可能你没找对医生。
如果你认定了一个医生,最好根据他的治疗方案坚持至少个月,不要没两天觉得没效果就换一个医生,一直换。
补充:文中提到的处方药都可以在网店购买到,但需要在皮肤科医生指导下使用。

如何去痘印

搅拌在一起充分混合融化,用搅拌棒拿起来不往下滴的程度,就可以直接上脸了
搅拌至糊状
效果会慢慢看得见
但是比较针对轻微型患者▼

重要提示 敏感肌不要尝试,脸上痘痘还在发炎状态不要用,等痘痘完全消下去只剩痘印的时候再用。
(不管男女都可以的)

痘坑的预防
首先需要明白一点,没有比“抠痘痘”更坏的习惯了。本来痘痘可以自行消退,但是因为这种行为的进一步伤害,从而留下不可消退的印记。
●我们处理痘痘的时候,不“挤错”是关键,切记不可用力地粗暴地去挤、抠、刺,避免一切可能会让痘痘受损后结痂的*力暴**动作。
●我们要选择再合适的时候用合适的手法把青春痘等痘痘的内容物排出来。最好的时机是疙瘩出现白色“脓头”的时候,这时说明你要处理的就不是结节囊种类的痘痘了。从而使皮肤慢慢恢复健康。
事实证明正确地挤青春痘有助于减少皮肤的发炎,减少痘疤形成的可能性,并且加速痘痘的愈合。

具体处理步骤
准备粉刺摘除器▼

洗脸
注意使用温和的水溶性洁面产品,洗脸的水温也要控制在和肌肤差不多温度,不可过热或过冷,否则容易刺激痘痘的炎症,并且损伤肌肤愈合的自主愈合能力。

按摩
用柔软湿润的洁面巾轻轻按摩痘痘处,这样可以去除死皮细胞,有助于我们之后对青春痘的摘除。注意:切勿用力擦拭搓揉。

擦干肌肤
这一步的精髓在于动作轻柔,个人认为吸干水分就行。皮肤湿润的时候不要急着用摘除器,更不要去挤痘痘。这样容易留下破损结痂处,留下难看的痘疤。

摘除脓头
将摘除器的端口放在痘痘上面,然后轻柔的将摘除器压在白色脓头上,然后将摘除器移除,痘痘里的东西就会流出来。这个过程可能要重复好几次,不过这样你就能很轻易地打开皮肤,直接排除痘痘的内容物。动作一定要轻,目标是摘除脓头,不要伤到周围的皮肤。

护肤
最后使用浓度在2.5%~5%的过氧化苯钾酰产品或者浓度在1%~2%的水杨酸产品点在痘痘上。因为或氧化苯钾酰和水杨酸都有助于减轻皮肤的发炎,同时可以消毒杀菌,防止长出新的痘痘。

痘痘的预防
如果你自己觉得是一吃辣容易冒痘的体质,管住嘴,少吃或者停止吃。如果并不是饮食原因爆痘,又处在半湿润或者湿润地区,你可以饮食辛辣,都没什么太大影响。
还有就是熬夜和面对电子产品也会造成小颗粒痘痘,尽可能的减少熬夜,如果避免不了,白天在补觉的时候,要卸妆干净,卸妆后补水睡眠,有条件可以带上蒸汽舒缓眼罩,也对眼睛很好。
如果你是消化系统不好造成痘痘肌,就如上所述,需要酸奶➕乳酸菌片➕运动➕蜂蜜水/热白开水➕药用消化品。
如果你以上所有的都做到,那么你一定不会长痘痘。所以痘痘这样的肌肤还是靠个人来决定长还是不长
从自身的饮食习惯、作息、等等各方面找原因去从根部解决

药膏这些只是救急,不能完全治疗,去掉这颗痘,还有下一颗……如果你的肌肤已经到特别严重的地步,千万不要一直相信护肤品,不能只靠护肤品和药膏一类的了,要去医院,咨询治疗。
治疗痘痘不是一朝一夕,不要相信一些涂上第二天痘痘就会消这样的话,清楚你自己的痘痘生长类型,再对症下药,并不是所有的祛痘护肤品都可以拯救你的痘痘,痘痘泛滥必要时一定要结合医用。
欲了解更多“祛痘”知识,可关注头条号:高尚余文林医生。