作者:阮选 普洱市人民医院
云南医师讯 近日,普洱市人民医院神经外科团队成功完成又一例功能区动静脉畸形血管团完整切除手术。目前,该患者已康复出院,无神经功能缺失。随着该例巨大动静脉畸形血管团完整切除手术的成功进行,昭示着普洱市人民医院神经外科血管病团队综合诊疗水平已经达到省级前列水平。
21岁的小李是一个年轻的女大学生,自2018年12月以来无明显诱因出现昏迷伴四肢抽搐,发出尖叫声,症状时常持续10余分钟,严重影响学习、生活,趁着寒假时间,在家人陪同下,小李到普洱市人民医院神经外科就诊,根据以往经验,温忠辉主治医师接诊后立即为其进行了MR检查。
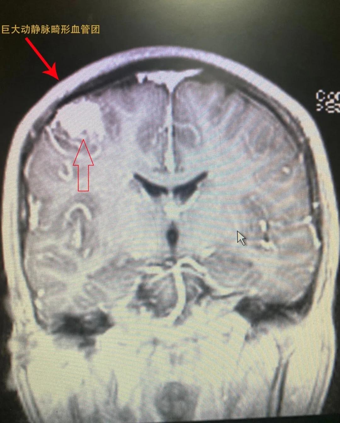
检查结果显示,患者右侧顶部动静脉畸形(供血为大脑中动脉远段分支血管,引流静脉为上矢状窦皮层浅静脉),进一步进行脑血管造影检查——患者右顶叶中央前回功能区动静脉畸形血管团。



术前检查片子
“这就是颗颅内的不定时*弹炸**!”市人民医院神经外科李兴昌主任介绍,“这种疾病最可怕也是最显著的特征,就是畸形血管随时可能破裂出血!该患者畸形血管团体积巨大,且与其相连的供血动脉及回流静脉交织纷乱、复杂、异常粗大,病灶紧邻运动中枢、语言中枢、书写中枢等重要结构,手术过程中稍有偏差就会导致偏瘫、失语、失写、记忆力、理解力下降、性格变异等严重后果,甚至死亡。既使畸形团能够顺利切除,但病灶切除后患者颅内的血流动力学将发生巨大改变,这也可能导致术后出现致命的颅内出血现象。因此,想完整切除该类巨大动静脉畸形,保证患者术中术后安全,不遗留神经功能缺失,对神经外科来说,是巨大的挑战。”
经过缜密的病例讨论与多学科会诊,综合意见认为:此例患者最佳治疗方案为开颅行畸形血管团切除,术中能否完整切除畸形血管团并保住功能,是决定患者预后的关键。
手术必须要达到的两个目的:第一,该患者癫痫系因畸形血管团引起,年轻女性长期癫痫会导致今后无法正常生活,遂必须手术治愈癫痫。第二,切除畸形血管团“不定时*弹炸**”,一旦畸形血管团出血,患者必然难逃肢体瘫痪甚至死亡的命运,这是笼罩在年轻生命上的两个阴影。手术切除对医生来说,是最难和风险最大的选择,但对于该患者来说是最好也是最彻底的治疗方法,我们相信自己的技术,勇于为患者争取最好的结果。
李兴昌主任决定由具有丰富经验的李强峰主任和温忠辉主治医师主刀,1月26日,团队成员严阵以待。手术开始后,李强峰主任、温忠辉主治医师带领团队成员在显微镜下小心翼翼的开始为患者“拆弹”。
术中显示,患者脑部畸形血管团最大径已达到4cm,且伴有多支动脉供血以及两支粗大引流静脉。畸形团内血流速度非常快,该脑组织区的动脉血液供应约80%以上未经脑组织,畸形血管团不但有较粗的供血动脉和引流静脉,其形状还类似“土豆”,有很多细小的根系,牢牢的和脑子长在一起,整个手术过程,就像在“拆弹”一样,一旦断掉的动脉大于静脉的数量,进去的血比出来的血多,整个畸形血管团就会被血流胀破。像*弹炸**爆炸一样,给病人带来灾难性的后果,所以两位医生像拆弹专家一样,每断一根血管都要仔细考量,谋定而后动。

术中显微镜切除畸形血管团的即时ICG造影
凭着精湛的技术和极大的耐心,李强峰主任、温忠辉主治医师及团队医师在显微镜下小心地分离着患者病灶。首先,沿畸形血管团周围逐一电凝供血动脉,再沿着畸形血管团与正常脑组织间隙慢慢将血管团剥离。在完全凝闭供血动脉后,再通过电凝控制住两支粗大引流静脉,成功为患者完整切除了颅内巨大动静脉畸形团块。

术后复查CTA,畸形血管团完全切除
看似简单的几句话就能描述清楚的手术整整持续了6个小时,患者脑内这颗“不定时*弹炸**”才被成功拆除。术后,患者意识、思维、语言肢体活动等各项功能完全正常。
神经外科主任李兴昌介绍到:这是个年轻的女大学生,保留肢体功能非常重要,一旦保留不住,这个手术就是失败的,同时这个畸形血管团长在中央前回运动功能区,保留肢体活动难度极大,手术医生耗费了极大的精力终于达成目的。
AVM手术是脑血管病里最难、风险最大的手术,普洱市人民医院是省内除了附一附二院外唯一有能力完成这类手术的地州级医院,神经外科的颅底及脑血管病组也是省内一流手术团队,在今后工作中,普洱市人民医院神经外科,将秉承大医精诚的医者精神,不断提高自身医疗技术水平,完善各类服务能力,为普洱广大人民群众的健康保驾护航。

患者术后无神经功能缺失年轻的活力是生命最好的颜色
近年来,在精良设备和优秀医护人才的护航下,市人民医院神经外科开展了大量有代表性的新技术:颅底肿瘤切除术,三叉神经痛微血管减压术,面肌痉挛微血管减压术,听神经瘤及桥小脑角区各种肿瘤切除术、巨大垂体瘤切除术,复杂颅咽管瘤切除术,脊髓空洞手术,脑深部岛叶胶质瘤切除术,不规则型复杂动脉瘤的夹闭及介入栓塞手术等,多项新技术填补了我市空白。在国内外神经外科专家们的先进理念和技术支持下,普洱市人民医院神经外科不断进取、提升,凭借过硬医术及医者仁心,守护着普洱百姓的健康。