
27岁小伙近半年时间时常觉得胸部和腹部不适,就好像内脏长反了一样,整个人的精神状态也越来越差。上周,他在医院被诊断为严重脊柱侧弯,脊柱弯成了S型。医生了解到,他从小习惯歪靠着跷起二郎腿坐着或者“葛优瘫”。
27岁的张平(化名)家住汉口,身高1米89的他体重不到120斤,是个典型的“竹竿男”。从小坐着喜欢跷二郎腿,要不就是“葛优躺”,家里老人总说他坐没个坐相,站没个站相,但他不在乎,时间一长就养成了这个习惯,后来不是歪着肩坐着做作业,就是斜躺着看书。
半年前,张平市场感到胸部和腹部不舒服,“一种说不出来的感觉的,反正就是别扭,感觉内脏都长反了。”张平告诉记者。他自己也不知道是怎么回事,也没别的什么症状,也就没太在意。但到了后来,张平的精神状态也不是很好,怕影响工作,这才于一周前来到武汉市中心医院康复医学科求诊。
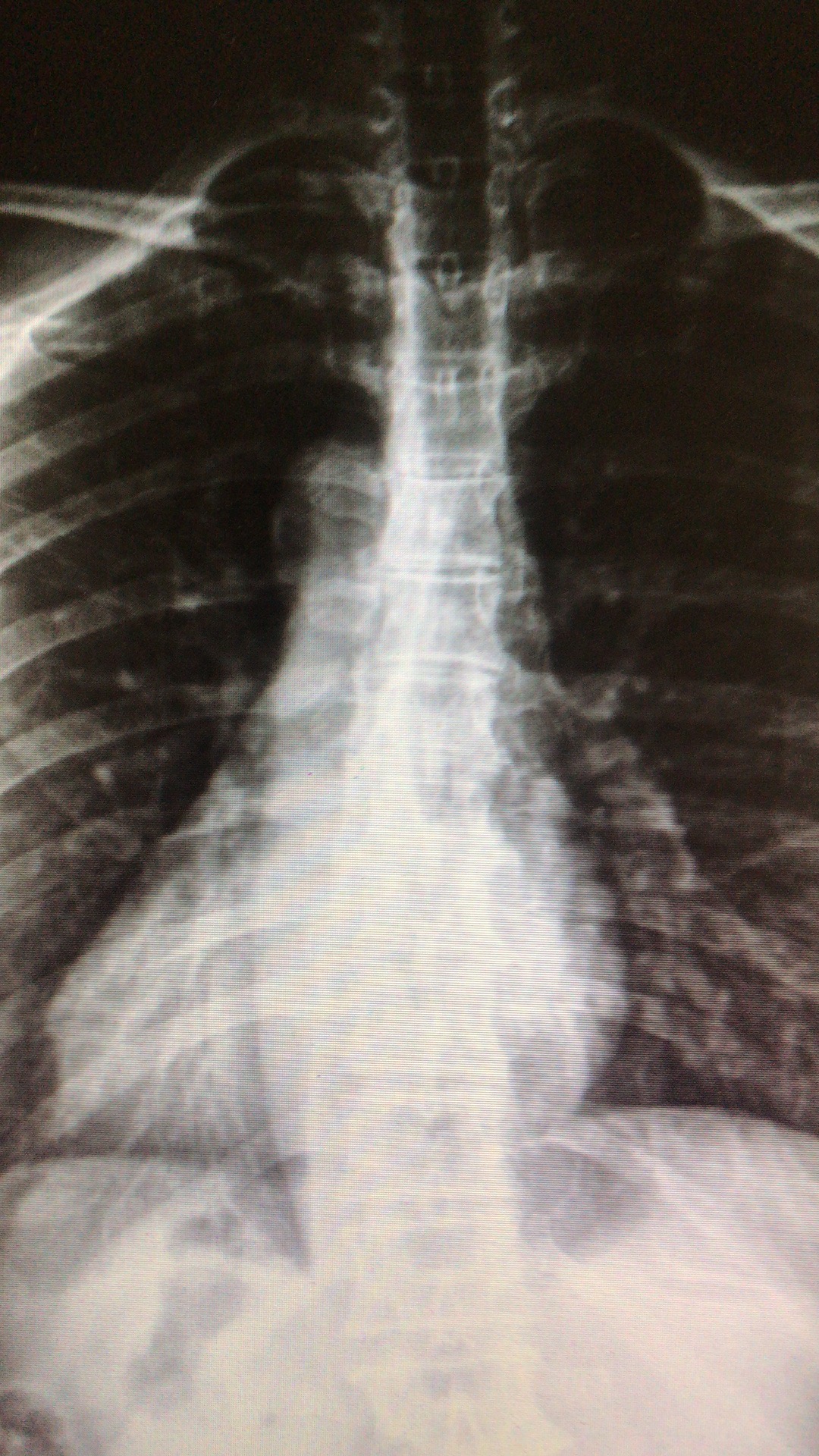
在门诊,接诊的康复医学科游菲主任让张平做一个动作:站在平地上,双手掌合十放在双膝之间,逐渐弯腰。在张平弯腰后,游主任发现,他左侧背部明显高出左边一截,随后的X片里,脊柱呈现一个S型。由于脊柱侧弯严重,压迫了内脏,张品刚才会有不舒服和内脏长反了的感觉,且对他的精神功能也造成了影响。
针对病情,康复系学科医生通过对张平姿势评估及精准的影像X光专科画片,测量他每个椎体间的距离和位置改变,获得精确的数据后,制定了针对性手法矫正治疗方案将错位的椎体复位。在接受了三次治疗后,张平的恢复情况良好。
康复医学科主任马朝阳介绍,正常人的脊柱从侧面看呈S形,背面看则呈直线垂直于地面,而脊柱侧弯是指脊柱与地面不垂直,向一边倾斜。脊柱侧弯的原因和遗传、激素分泌、生长发育不对称、神经一平衡系统功能障碍和神经内分泌系统异常等多种因素有关,歪着坐、跷二郎腿、“葛优瘫”,长期姿态不良也是导致或加重脊柱侧弯的一个重要原因。随着年纪的增长,脊柱侧弯还可能引起脊柱小关节错位、紊乱,腰椎间盘突出发病往往更早、程度更重,侧弯严重的还会影响心、肺等内脏功能。部分女性生产之后,侧弯程度会加重,可能影响行走。
马主任提醒,姿态不当是青少年患上脊柱侧弯的重要原因。多数脊柱畸形发病时间是在青少年生长发育的高峰期,12至17岁患病人群集中且不易发现。越早发现脊柱侧弯,矫正效果越好。如果孩子出现一侧肩膀比另一侧明显突出或增大、高低肩、领口不平、女孩双乳发育不均等情况,家长就要警惕发生脊柱侧弯,尽早带孩子就诊。