
BPS(即生物功能性义齿)是目前较为先进的全口义齿制作系统,能最大限度的恢复患者牙列缺失后所丧失的生理功能,提高咀嚼效率。随着国际活动义齿技术的不断发展,BPS的适应症也越来越宽,相对于传统义齿,BPS凭借卓越优势吸引了众多医生的学习与使用。本期洋紫荆Platinum美学工作室特邀*京大南**学医学院附属口腔医院/南京市口腔医院顾慧医生为大家带来”BPS技术临床操作流程及病例分享“一例,重点围绕取模与咬合记录整合成一步的全口义齿制作方法。一 病例制作人

图1:患者修复前、后对比照

图2:修复体完成照片

图3:修复体戴入口内照 作者:*京大南**学医学院附属口腔医院/南京市口腔医院顾慧、卫元鑫医生 指导老师:*京大南**学医学院附属口腔医院/南京市口腔医院骆小平教授技师:洋紫荆Platinum美学工作室临床技术支持沈春燕
二临床检查
01. 口外检查
颌面部检查:患者颌面部左右对称,比例相对协调。唇、颊部向内凹陷,上唇丰满度欠佳,面部褶皱增加,嘴角皱纹明显增多,鼻唇沟加深,口角下陷,面下1/3距离变短,呈现衰老状面容;侧面面型为凹面型。
颞下颌关节:颞下颌关节区无压痛,关节无弹响,开口度正常,开口型无偏斜。

图4:患者正、侧面照片
02. 口内检查
全口无牙颌,上下唇系带与面部中线一致。上下颌牙弓为中等大小的卵圆形,下颌弓略大于上颌弓。

图5:口内检查照片1
上颌牙槽嵴中等度丰满,腭穹隆中等高度,后牙区牙槽嵴高度降低,上颌结节正常,无明显倒凹及骨突。下颌牙槽嵴顶呈现窄小低平的骨嵴,后牙区高度与宽度明显减少。双侧牙槽嵴吸收不对称,右侧吸收明显,磨牙厚垫呈梨形,无硬纤维组织,倾斜角度中等,开闭口变化不明显。下颌舌骨后窝区空间尚可。无尖锐的骨尖、骨突,无松软牙槽嵴。黏膜色泽正常,无明显溃疡及瘢痕。舌下海绵样组织中等,唾液分泌量较少。开口时舌后退明显。

图6:口内检查照片2
03 . 旧义齿检查
旧义齿塑胶老化,边缘形态菲薄,人工牙合面磨耗变平,12人工牙切端缺损。

图7:旧义齿照片上下颌垂直距离较短,基托边缘伸展不充分,后缘位于磨牙后垫前缘,Spee曲线与Wilson曲线平坦,中线偏斜。

图8:旧义齿口内照片旧义齿戴入后咬合关系较好,但固位情况欠佳。颌面部检查可见:面下1/3高度尚可,但侧面显示上唇丰满度欠佳。

图9:患者戴入旧义齿照片三BPS生物功能性义齿制作过程
01 . 制取初印模
选用藻酸盐印模材料,采用注射法制取上/下颌初印模。上颌根据游标卡尺测量牙槽嵴宽度,选择M号尺寸托盘,制取上颌初印模。下颌使用一次性FCB塑料托盘,在下颌休息位制取闭口式印模,尽量减少磨牙后垫区周围组织的变形,取印模前先给FCB托盘消毒,冲洗干净后同样采用注射法制取印模。制取后的上/下颌初印模应符合“大而全”标准。

图10:患者上下颌初印模

图11:制取下颌闭口式初印模
02 .垂直距离
取完初印模后,确定初步垂直距离并采用正中托盘记录。咬合垂直距离=休息位垂直距离-息止颌间隙(一般为2-4mm,义获嘉BPS系统推荐取中间值3mm)。同时参考患者旧义齿面型。

图12:制取正中托盘记录用记号笔对患者的鼻底、颏部进行标记,用游标卡尺测量患者在休息位时两个标记点之间的距离,计算出咬合垂直距离。混合印模材料,放入上下托盘内,并放入患者口中,将托盘压向下颌牙槽嵴,嘱咐患者轻轻咬,并吞咽口水,避免患者咬到前伸位。

图13:正中托盘记录
03 .初始模型上颌架
在上下颌模型上画个别托盘外形线,并将正中托盘固定在上下颌初模型上。上合架时,中线刻度对准为“0”,使用橡皮筋勾在两侧的立柱及切导针的正中切迹上,形成一个可视的合平面。先将下颌模型使用石膏固定在合架上,使模型居中,橡皮筋平行于牙槽嵴平面并平分磨牙后垫。随后通过正中托盘将上颌模型上至合架上。

图14:初始模型上颌架
04 .制作个别托盘
在灌制好的石膏模型上画线填倒凹,使用光固化树脂材料制作个别托盘。

图15:制作个别托盘
05 .制作合堤,安装哥特式弓
制作合堤,并将白色的咬合蜡堤与上下颌基础弓板对应安装好,其中带有手柄的为上颌,上颌白色咬合板前缘位于下颌咬合板前2mm,并正对下颌前牙区前庭沟。将上下颌已安装好的哥特式弓装置固定在蜡或光固化树脂制作的合堤上。分别标记上下颌模型粘膜转折的最低点,量出两点之间的垂直距离,并将数据标识在模型上。

图16:制作个别托盘将安装好的哥特式弓合堤在患者口内试戴,仔细检查上下颌平面在前后向和水平向是否均紧密接触,咬合关系是否吻合。

图17:哥弓在患者口内试戴
06 .口内制取终印模
制取上下颌闭口式印模。用纱布擦拭口内唾液,个别托盘边缘涂布托盘粘接剂Virtual,托盘边缘使用高亲水型加聚硅橡胶Virtual重体,将托盘放置患者口内,嘱患者进行主动的边缘整塑,该重体同时可以作为高点指示剂使用;去除多余的重体材料,使用轻体制取功能性精密终印模。

图18:功能性精密终印模
07 .确定咬合关系以及哥特弓描记
上下终印模取好后,去除上下颌白色咬合记录板,下颌安装哥特式弓导板,上颌放置描记板。调整描记针的高度。在上颌描记板用记号笔涂黑一小块,或涂抹一层均匀的蜡笔材料,让患者分别进行下颌前伸、左侧方、右侧方咬合运动,确定最终咬合关系,并注射咬合记录硅橡胶。

图19:最终咬合关系
08 .面弓转移
调整患者坐姿,安装面弓,调整面弓宽度,固定鼻托,检查合平面,调整弓体位置,将万向关节锁定在面弓端,调节好位置后与口内上颌合堤端的合叉固定。最后一步锁定万向关节,面弓转移完成。

图20:面弓转移
09 .灌注终模型并上颌架
1)洋紫荆platinum美学工作室收到终印模后进行清洁消毒,吹干托盘底部水分,围模,用超硬石膏灌注终印模,终模型灌注完成。

图21:标记上下颌终模型2)转移终模型至合架,将万向关节与上颌合堤锁定,安装在合架转移平台上,先上上颌模型,之后将下颌带有合堤的石膏模型对准上颌蜡堤,咬合完全贴合后用玻璃胶固定,将下颌模型固定于合架上,完成咬合关系的转移。



图22-24:标记上下颌终模型
10. 蜡牙--上颌架
上完颌架后,根据患者性别、肤色、面容、牙弓弧度及患者要求选择义获嘉的义添美五层色胶牙,A2色,卵圆形的复合树脂人工牙。前牙排列成浅覆盖、浅覆合的关系。在合架参数下,排列后牙,形成Spee和Wilson曲线。完成后检查义齿基托边缘以及上下颌咬合关系,并进一步检查义齿在合架上是否有前伸合和侧方合平衡关系。在保持义齿垂直距离、合面形态的前提下在牙合架上进行前伸、侧方运动,少量调磨,消除早接触点,达到平衡合。

图25:排牙完成 11 .灌注终模型并上颌架
检查患者颌面部基托的边缘伸展情况、排牙的覆合 覆盖关系、义齿两侧是否对称义齿蜡型戴入口腔后情况:患者面部比例协调,表情自然;双手放于患者颞部,嘱患者作正中咬合,双侧肌肉收缩明显,动度一致;患者发音、微笑时前牙自然、美观;咬合时蜡托无翘动,咬合稳定;基托边缘伸展合适,边缘密合;嘱患者发“S”舌齿音,发音清晰。

图26:蜡型牙口内试戴

图27:蜡型牙试戴面部照四最终修复体临床试戴
01 .最终修复体完成
1)蜡牙试戴调整合适后,充胶完成最终修复体。

图28:最终修复体完成2)颌面部检查:面下1/3高度尚可,侧面照丰满度明显改善。

图29:面部照3)义齿初戴,就位平稳,无明显翘动,基托形态较好,边缘伸展合适,咬合关系尚可,义齿正中咬合时状态等同于合架上的排牙状态,颌位正常。

图30:口内照
患者试戴彩蛋
吸附力检查
▽
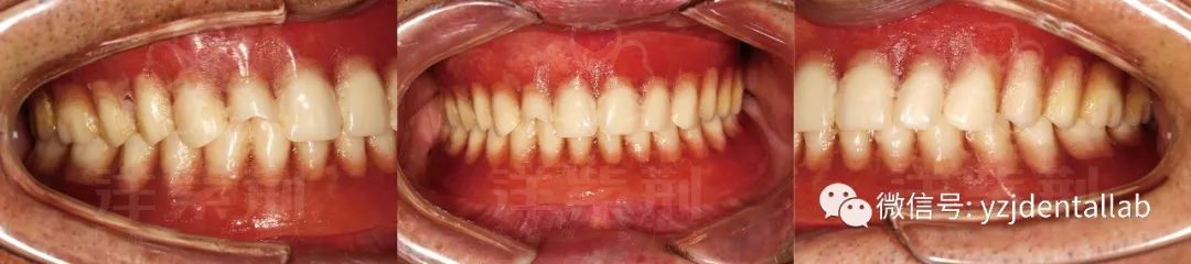
4)口内咬合关系检查:

图31:正中咬合

图32:左侧放咬合

图33:右侧放咬合

图34:前伸咬合关系
六洋紫荆Platinum美学工作室
洋紫荆Platinum美学工作室,以促进患者,医生、技师三者在美学认知,美学实现上达成共识为目的,推出一套可执行的美学修复流程,使修复体在美学效果的预测,美学形态的实现,美学颜色的表现方面得到全流程一致的执行,实现真正意义上的美学修复。
洋紫荆Platinum美学工作室临床技术支持沈春燕以优异成绩成功通过BPS生物功能性的系统认证考核,成为BPS认证技师。技术认证证书编号:BPST20190021。
