初见王应时老教授是新冠疫情前四个月,当时他老伴告诉我王老得了贲门癌,反复出血输血情况非常危险,已经看过几家大医院了,都因为年龄大,病情重,风险高不给做手术了,也不给放食管支架,最后的结论是让做个胃造瘘手术,然后通过造瘘管打点营养液维持。
王老老伴(某著名医院消化科教授)告诉我,当时最主要的情况一个是出血不止,保守治疗效果不明显,另外一个就是吃不了任何东西,有时连口水都不能喝也不敢喝。王老还有个特殊情况就是血液配型特别困难,同型的血液绝大部分也不能输,这在用血非常紧张的北京确实是个要命的事情。王老每次输血都要到北京各大血站去配型,能不能配上有点碰运气的感觉,家人经常奔走于各大血站,已经精疲力竭。就因为出血配不上血无法输血,家人已经签了好几次病危通知书了。同时王老还曾有肺癌手术和左侧股骨头置换手术等病史。
王老住的离我们医院很近,从2019年5月发现贲门癌到我见到他时已经差不多5个月了,其间通过应用止血药、抑酸药、营养支持及反复输血治疗维持,有几次因为血液配型不成功无血可输非常危险。

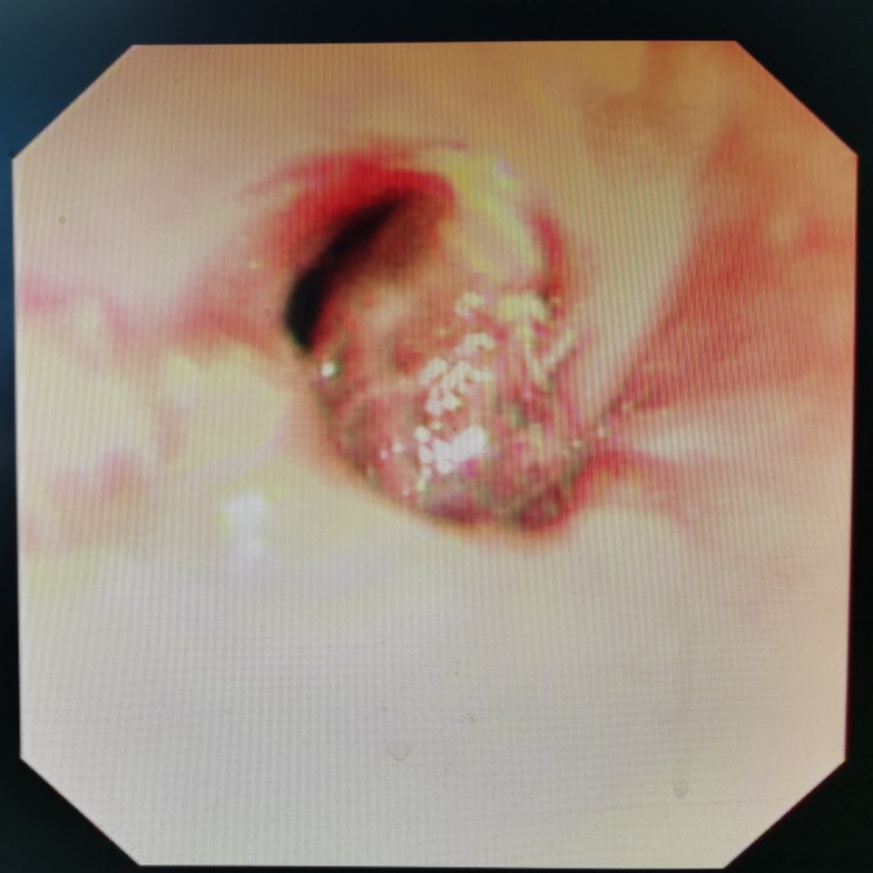
胃镜下看到的贲门肿瘤

从食管向胃方向看到的贲门肿瘤

贲门肿瘤已经快完全堵塞食管了

右肺部术后瘢痕

左侧股骨头置换

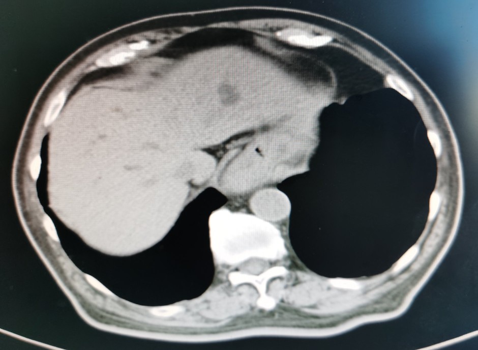
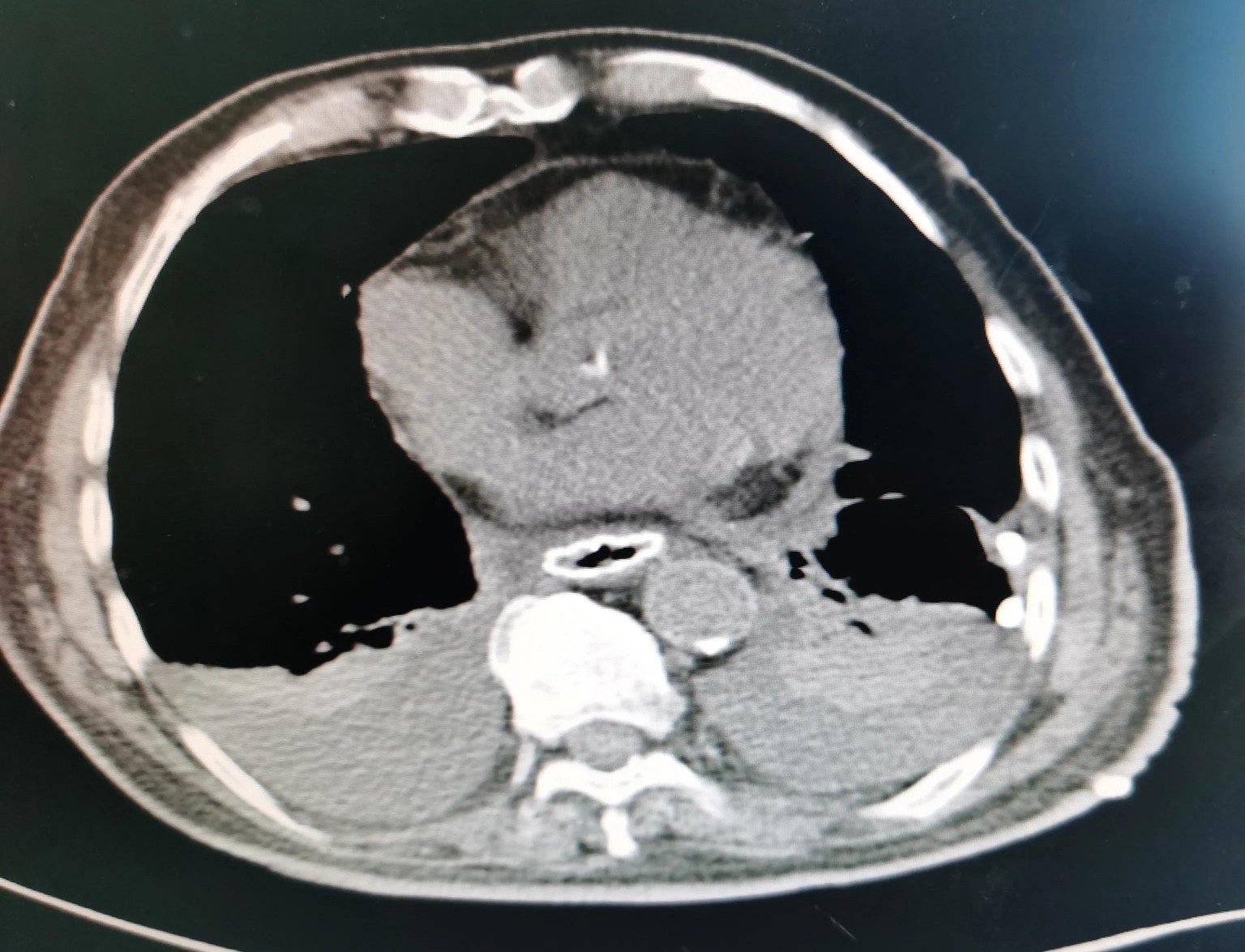
贲门部肿瘤CT表现

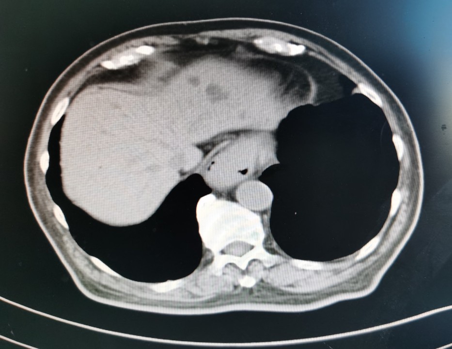
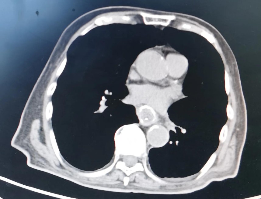
贲门部肿瘤CT表现

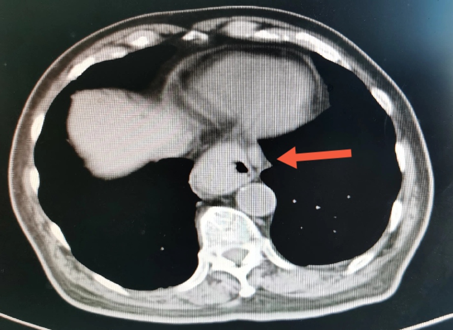
肿瘤旁肿大淋巴结,术后病理证实为肿瘤转移
尽管病情危重,但王老非常坦然,好像把生死看的很淡,笑看人生总是尽力积极配合治疗。王老尽管年龄很大并且做过好几次手术,但是由于平时保养的不错,看上去偏年轻,并且住院后各种检查发现除心脏功能差一点,其它器官功能还可以。化验检查肿瘤标记物甲胎蛋白(AFP)特别高,超过9000ng/ml,考虑是种特殊类型的贲门癌,血色素63g/l,并且胃管里仍时有鲜血引出,腹部CT检查食管下段及贲门区占位,邻近淋巴结肿大,较上次检查明显增大,考虑为转移。因为病情重,连个增强CT都没敢做。

王老和他的学生,网上找的,很帅吧
艰难的抉择:完全了解王老的病情及各个器官功能以后,我就反复和他老伴,还有他女儿(从国外赶来)沟通这个治疗方案。当时胃里出血仍然非常厉害,在我们科也报了一次病危了。王老女儿告诉我,她父母感情非常好,求您救救他吧!面对这样的请求,我当时觉得也很无助。反复斟酌及研究病情后,我最后把我们讨论后的诊疗方案及想法告诉了她们。
对王老来说,不管做什么样的手术,风险都是特别大的。做胃造瘘手术简单,时间短,风险相对要小一些,但缺点是对肿瘤出血和肿瘤治疗没有任何帮助,或许做完胃造瘘后因为出血根本就无法往胃里打营养液。同样是冒风险手术,所以建议给王老做一个简化的腹腔镜下的贲门癌根治手术。反复和王老老伴及女儿,以及王老本人商量后,大概经过一周左右时间的考虑,她们最终决定进行腹腔镜探查,如果情况允许就做根治性手术。做这样的决定对任何人来说都是非常艰难的,因为面对的是生离死别的抉择,生与死的考验。


在各个科室的协同配合下,王老的手术进行的非常顺利,不到一个半小时根治性切除就做完了,但因食管位置高,切除的也比较多,心脏后面空间非常狭小(这个地方王老又和别人不太一样),最后食管和远端残胃吻合的时候非常吃力,大概花了两个小时才吻合并加固好。

手术中

术后一周复查的CT
王老术后在ICU病房观察治疗了三天,然后就转入了我们的普通病房。术后对各种可能出现的并发症我们也是带着预见性的去预防,在精心的治疗和护理下,尽管术后有这样那样的问题,但恢复还算顺利。术后甲胎蛋白也逐渐下降,并最终恢复正常,放置的空肠营养管,在排气以后就逐渐开始滴注营养液了,两周后开始口服流食,王老的体力也慢慢开始恢复。

查房时和王老合影

王老在用膳

甲胎蛋白的变化

术后半年胃镜检查


术后半年的腹部CT
从术后病理看王老得的是一种非常罕见的肿瘤,贲门肝样腺癌。肝样腺癌是一种与原发性肝细胞肝癌具有极为相似的形态学特征的肝外恶性肿瘤,临床上在胃、直肠、胆囊、肺、卵巢、膀胱等均有病例报道,但病例数量较少。其中胃肝样腺癌是最常见的一种肝样腺癌,是胃癌的一种亚型,常伴有血清甲胎蛋白(AFP)升高,容易导致误诊和漏诊,临床上需要病理和免疫组化资料来确诊。此病相比普通胃癌更具侵袭性、对化疗药物不敏感,靶向药物治疗目前处于探索阶段,中医中药应该有一定的作用。因为年龄太大,王老术后没有做放化疗,我建议他老伴到我一个朋友(著名消化道疾病中医专家于振宣)那里看看,让他给开点中药调理一下,一来是改善一下饮食和食管反流的情况,另外一个也是针对这个肿瘤做一些治疗。

王老术后病理,只有一个淋巴结转移

术后病理图片,癌细胞像肝癌细胞
想起王老艰难的诊疗抉择,惊心动魄的诊治经过,我真的是感慨万千,思绪飞扬。看到王老顺利康复,作为医生我心里的那种喜悦和快乐真的是无法用言语表达。
从王老诊治情况来看,王老无疑是幸运的,但由此我陷入了深深的思考。
为什么王老这样的病人有的医院不给做手术,甚至连放置个食管支架都不给做,说直白点都是怕担风险,给自己带来不必要的麻烦。所以我在思考,作为医生,应该眼睛里看到的是疾病,心里装着的是病人,其实真正做起来,真正能做到很难很难。王老能够手术,并且术后能够顺利康复,我要感谢他的家人及王老本人的信任和支持,没有他们坚定的支持,说实在的我也不敢做这样的手术,不是说手术有多复杂,而是面对王老这样高龄,又做过好几次手术的病人,术后围手术期的管理非常困难,甚至一个小小的并发症,就会导致治疗的失败。所以,在战胜疾病方面,医患双方应该共同携手,形成合力,相互支持,唯有这样我们才能战胜更多的疾病。
祝王老健康长寿!

和王老女儿微信

和王老老伴微信