


陈老伯(化名)今年80岁,平常身体健康,自从老伴去世,家中一个人生活,平平安安、健健康康是他的愿望,除了干些日常家务,一般的农活也不在话下。
他经常说:“我能吃能睡能干活,再活十年二十年应该没问题!”,乡亲邻居也一致认为老伯的身体“倍棒”。
可是到了今年初,老伯参加了村里组织的老年人健康体检,这一检查就查出了问题,医生告诉他“肺里长了个瘤子”。

“这么大年纪了还要去折腾?”
8旬老人癌症晚期该怎么治?
“没想到一把年纪了,还是得了这个病。当时我想,能再活十年二十年的愿望是实现不了了!”陈大伯感叹道,“孩子们虽然忙,也让我赶紧去好一些的医院看看,有没有好办法。”
但陈大伯当时却很矛盾,“这么大年纪了还要这么去折腾?听人家说,如果既要开刀、又要化疗、还要照光,病没有治好,一条老命都要去了。”周围很多老邻居都让他好好考虑,别急着上医院。
最后在侄女的介绍下,陈大伯了解到浙江医院的 优势学科 便是 老年病 ,尤其对 老年肿瘤 的治疗很有特色,于是来到灵隐路上的浙江医院,并联系了 浙江医院肿瘤科副主任张宇主任医师。
在做了详细的检查后,张宇告诉陈大伯,老年人患肿瘤并不可怕,关键要全面了解身体具体情况,及时做好全面的身体评估,既要符合治疗的标准,又要根据个体特点实施治疗。

充分发挥老年专科特色诊疗体系
高龄肿瘤患者也能有转机!
张宇回忆称,当时陈大伯被家人送过来时,做了一系列检查,经肺肿块穿刺后诊断为肺癌,CT检查显示肺内有转移,属于 肿瘤晚期 了。陈大伯虽然年龄偏大,但身体条件还可以。
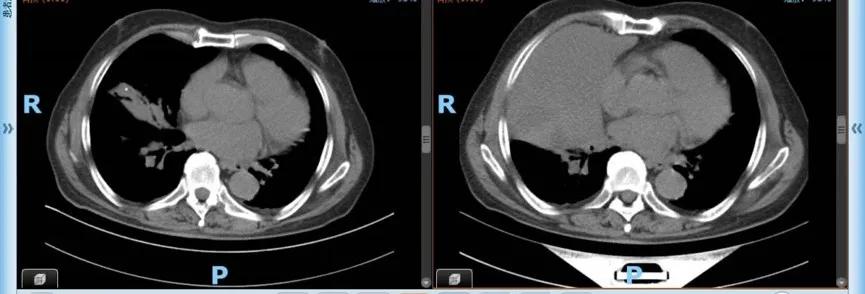
根据浙江医院老年肿瘤诊治的特色和优势,张宇按规范为陈大伯做了治疗前的全面评估— 老年肿瘤评估 ,随后根据结果,组织了 多学科诊治大讨论 ,综合考虑病情、年龄、身体状况及基础疾病等因素,同时也考虑到陈大伯对生活质量的要求,为他制定“个体化”的肺癌治疗方案,最终选择最新的 免疫治疗联合单药化疗 的方式,经过 3个周期 的阶段治疗,评估后显示目前的治疗取得了非常好的疗效。肺部的病灶明显缩小,除了有一些皮疹,日常生活没有受到明显影响。“我们会继续规范和有针对性地为他提供医疗服务,非常期待下一步的疗效。”张宇说。

治疗后(左图)及治疗前(右图)
当张宇告诉陈大伯肿瘤缩小了一大半时,大伯悬着的心也放下来。“现在我治疗间歇期,在家里照样能干家务,出去和邻居唠家常,还能干轻一些的农活,我对治疗结果非常满意,感谢浙江医院的张主任和他的团队,为我又带来了希望!”陈大伯感激道。
张宇介绍,老年肿瘤患者尤其是高龄患者,不同于普通人,他们是一个特殊人群,该人群治疗需要投入更多的重视与全面的评估,多学科的协作和全程的精细化管理,能获得更优化的治疗结果。我们的理念是,“ 多一些关注,更多一些坚持 ”,老年肿瘤也能有转机!
浙江医院是省内老年病诊疗中心,目前针对老年肿瘤人群建立了具有专科特色的诊疗体系。以多学科诊治为基础,采用了全面评估、规范与个体化治疗为目标,选择适合患者疾病、身体及需求等诸多方面的诊治方案,在患者的诊、治、随访等各个环节 精细化管理 ,以确保每一位老年肿瘤患者获得较好的医疗照护。
编辑:俊 审核:珑
来源:肿瘤科
撰稿:肿瘤科 张宇
本文指导专家
张宇

主任医师 ,浙江医院肿瘤科副主任,医学博士,硕士生导师。兼任美国匹兹堡大学 WISER 模拟教学中心与台北大学模拟教学中心联合培训 iSIM 双 *级A**导师,浙江省医学会肿瘤靶向治疗专业委员会等。擅长肺癌、胃、食管、肝、肠、胰腺、胆管肿瘤、黑色素瘤等各种实体肿瘤的综合诊治;处理肿瘤性胸腹水等肿瘤并发症经验丰富。长期从事肿瘤热疗 、癌症疼痛、营养及康复临床实践与研究,经验独到。
专家门诊:
周四下午(灵隐院区)
周二上午( 三墩院区)
周一下午(互联网医院门诊)