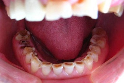
7岁的明明因为缺牙来我所就诊,检查后发现明明口内后牙有多颗蛀牙残根,加上长期缺牙导致邻近牙齿往缺牙区倾斜,牙齿因为没有对咬而往缺牙区生长造成日后假牙的空间不足。
明明经过3-4年的规范治疗后,利用矫正让倾斜的牙齿回复原本位置,终于可以放心的露齿微笑和大啖美食。
缺牙时间过久 就会产生4状况
牙科主治医师谢医师表示:病人常常因为缺牙位置在后牙区域,没有影响到美观或是蛀牙不痛就不处理,忽略及时制作假牙的重要性,常见的单颗牙齿缺牙对许多病人来说咀嚼并不会有太大的影响,但是缺牙时间过久或缺牙数量过多的时候会产生下列状况:
1.对咬牙向缺牙区生长

对咬牙向缺牙区生长后,为了有足够空间制作假牙,会视缺损的量将对咬牙修短,或是利用矫正将牙齿推原有的位置,会让治疗变得更复杂。
2.邻近牙齿往缺牙区倾倒

由于牙齿倾斜造成清洁不易进而产生牙周破坏。日后治疗恐需利用矫正将牙齿 扶正以后才可以进行假牙制作。
3.颞颚关节问题

缺牙过多的病人假若长期使用单边牙齿咀嚼食物,可能会造成颞颚关节疼痛进而发生并发症。
4.前牙过度磨耗

后牙担任重要的咀嚼功能,若病人两侧后牙缺损无法咀嚼食物时,长期利用前牙咀嚼食物会造成前牙过度磨耗、产生牙齿酸软敏感等症状,严重时会因过度磨耗需要做抽神经(根管治疗)。
5.清洁不易

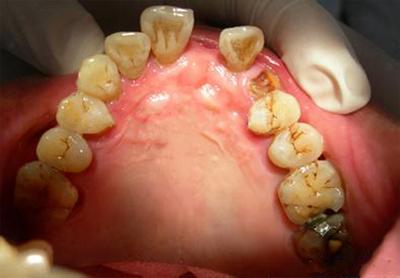
长期食物堆积会造成牙齿的牙周破坏及蛀牙。此外若牙齿有向缺牙区移动的状况则会和邻牙产生过大的缝隙,咀嚼食物时也会容易塞在牙缝。
一定做好口腔清洁、定期检查牙齿
牙科谢医师温馨提示:若病人为多颗缺牙,治疗计划应视病人情况和需求而定,可根据医师建议选择适合自己的治疗方式。其实最重要的做好口腔清洁和定期检查牙齿,定期检查可以及早发现问题及早治疗。