牙齿的脱落、损坏、缺失有很多原因,随着年龄的增长,有的老年人的牙齿会松动脱落。而许多年轻人,则是因为口腔健康没有得到重视,牙齿龋坏严重,不得不拔除。牙齿的缺少会对我们的生活带来很多不便。

牙齿缺失无论是对人体的身体影响还是心理影响都很巨大,一些人因为全口牙齿缺失,使得脸看起来比同龄人更为苍老,甚至还会因为吞咽不便而引发进一步的肠胃、乃至全身健康问题。
相比起年轻人的一颗或多颗缺牙,老年人所面临的半口、甚至全口缺牙,形势更为严峻。不论是活动义齿还是固定义齿,都存在诸多不便,甚至会加剧牙龈萎缩,使得假牙越来越戴不上去。

种植牙的出现,为无牙颌患者提供了更加舒适、稳定的修复方案,基本避免了传统全口或半*活口**动义齿的缺点,为患者更好的行使咬合功能及牙齿美观、恢复面型提供了新的选择。老人不再需要选择忍受缺牙或使用不方便的活动假牙,简简单单就能重享美食乐趣。
朱医生上周接到这样一条提问,来自苏州的45岁的刘先生咨询道,“听说种植牙对于年迈老人来说是解决全口缺牙的好方法,我也想给我的父亲种牙,但是这样一颗一颗种过去岂不是很费钱吗?”
相信这样的顾虑和疑惑让许多考虑全口缺牙患者对种植牙望而却步,事实上,全口缺牙的种植,并不是大家想象的“一颗一颗”种过去。

面对满口缺牙,现在更多口腔医院会给出all-on-4的种植方案,All―on―4种植技术是源自欧美的先进口腔种植技术,主要针对全口无牙或者半口无牙的情况下,只利用4-6颗种植体固定半口牙桥,然后在种植体的基台上安装“拱形连桥”牙冠,从而完成整口牙的口腔种植修复,这对于牙槽骨骨量不足的患者可以说是一大喜讯。

由于all-on-4全口种植牙技术的特点,导致全口种植牙费用大大减少,单排牙齿缺失只需要种植4个种植体即可支撑半口的牙桥,这样,让种植牙费用节省了70%左右。
同时,如果长期缺牙,多数种植牙技术都是需要植骨的,等待牙槽骨长好后,才能进行种植修复,而all-on-4全口种植牙技术大大改善了这点,多数情况下无需植骨,让更多的高龄患者也可以接受种植牙。
如果说以上理论让你听得云里雾里的,我们也可以通过真实案例来看一看:

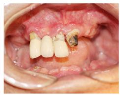
种牙前照片

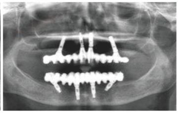
种牙后X光片,未戴冠。

种牙后X光片,戴冠。

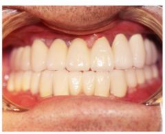
种植修复后照片
通过X光片可以看到,医生虽然尽量设计连冠种植,但还是用了十七个植体,尽管已经是多次调整后的最精简方案,但手术时长依然长达一天。位老先生之前在另一家医院咨询时,医生给的方案是种二十二个植体,光是种植费用就令人大呼“害怕”了。

种牙前X光片

种植修复后X光片

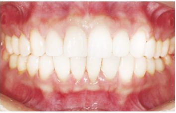
种植修复后照片
这一位老先生则选择了All-on-4种植技术,即拔即种,上下颌分别种植4个植体就完成了全口牙齿修复,费用降低了不少,而且创伤小,恢复快。
所以,满口缺牙不用怕烦、怕疼、怕累,all-on-4技术已经可以从很大程度上帮助满口缺牙患者解决种牙问题,当然了,具体情况仍然需要科学的检查和医生的专业判断,在种牙过后也要注意日常维护。

口腔问题不要慌 扫码关注咨询更多