红斑狼疮是一类慢性、反复发作的自身免疫性疾病的总称,女性常见。最具特征性的症状为面颊部出现蝶形红斑,而“狼疮”的名字正是因为过去人们认为该病的面部红斑表现,像是被狼咬伤所致。而除皮肤损害以外,红斑狼疮的病变还可累及多脏器和系统。目前仍缺乏特效治疗手段,但通过早期诊断及规范性的综合治疗,预后可明显改善,绝大多数患者病情可控制,能正常工作、生活、生育等。

狼疮性肾炎是指系统性红斑狼疮(SLE)合并双肾不同病理类型的免疫性损害,同时伴有明显肾脏损害临床表现的一种疾病。其发病与免疫复合物形成、免疫细胞和细胞因子等免疫异常有关。除全身表现外,临床主要表现为血尿、蛋白尿、肾功能不全等。
SLE及狼疮肾炎(LN)的病因尚未完全明确。主要认为是由多因素所致,如遗传、病毒感染、免疫异常、阳光或紫外线照射、某些药物诱发及雌激素等引起的自身免疫炎性疾病。其引发的肾脏病变(即LN)为典型的自身免疫复合物肾炎。SLE的发生与遗传因素有关,家族发病率高达3%~12%,有明显家族聚集倾向。诱发或加重SLE的外界因素众多,其中慢性感染药物、物理因素情绪刺激生活环境等都较为重要。多种药物与SLE发病有关,但致病机制各不相同。
SLE女性多见男女之比为1∶13但男女患者有同样高的肾脏受累率,平均发病年龄为27~29岁,85%的患者年龄在55岁以下SLE是一种全身性疾病,可累及多个系统和脏器临床表现呈多样性。约70%的患者有肾脏损害的临床表现,常因感染、受凉、日光照射、酗酒、应激过度劳累或精神紧张等因素导致疾病发作或加重,也可因激素应用不当、减量过快或骤然停药而引起复发。每一次复发,都会使受累的脏器损害更为加重,甚至出现功能衰竭。
目前为止狼疮性肾炎临床不能被完全治愈。狼疮性肾炎是系统性红斑狼疮继发肾脏损害,目前狼疮肾炎治疗目标是通过规范治疗缓解患儿临床症状,避免再次复发,尽可能挽救肾功能。狼疮肾治疗方案需要个体化,狼疮肾炎药物治疗一般包括羟氯喹、激素、免疫*制剂抑**以及生物制剂。需要注意休息,避免日光暴晒,积极预防感染。
北京联科中医肾病医院中医专家张振忠表示,狼疮肾炎患者多数需要采取中西医结合的方式进行治疗。对于急性期的狼疮性肾炎患者,需要在西医治疗的同时,使用一些清热解毒、凉血止血以及减毒增效的中药进行治疗。处于稳定期的狼疮性肾炎患者,容易出现气虚、肝虚或是肾虚等现象,可以服用一些补气益气、滋补肝肾的药物进行治疗。中医治疗能够减轻患者的临床症状,减轻满月脸、水牛背、*疮痤**等症状。
女子狼疮肾炎西药治疗无果,中医辨证治疗配合饮食调理康复
患者xxx,女,25岁,甘肃人。2019年7月,不明原因出现恶心、呕吐的症状,面部出现蝶形红斑,心理非常害怕,赶紧到当地医院就医,检查发现,血压:190/60mmHg,尿常规示:尿蛋白(++)、潜血(+),被诊断为高血压,慢性肾小球肾炎(高血压型)。开始用西药治疗,其后两年一直坚持治疗,但是效果不佳。

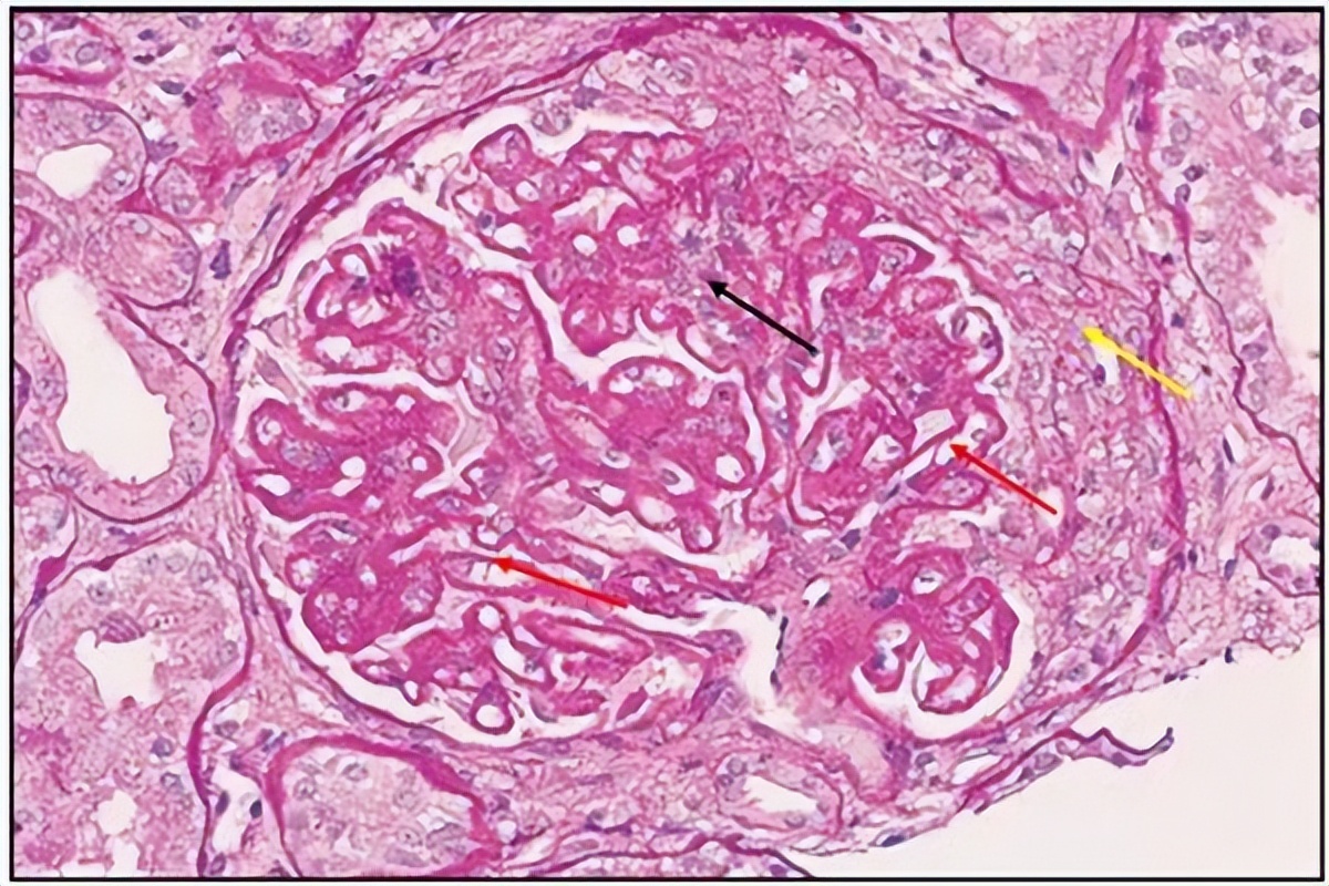
2011年8月,患者到某军区医院就医,做肾穿活检显示:狼疮性肾炎,被诊断为:隐匿性肾炎、狼疮性肾炎、高血压。使用多种西药治疗,时好时坏,病情难以控制稳定。此后,家人带着患者去多家医院求医治疗,但始终无果。后来听说中医能治疗狼疮肾炎。决定尝试中医疗法。
2020年2月24日,患者来到某医院中医专家门诊,入院时,检查尿蛋白(+++),尿潜血(++),24小时尿蛋白定量1.68g/L。经过专家会诊,结合患者病情、症状,西医确诊:系统性红斑狼疮,狼疮性肾炎,高血压2级。采取了中西医结合的疗法。西医给予对症治疗,抑制免疫炎症反应、控制尿蛋白、抗凝、降压、抑制狼疮活动等。
中医通过中药调理,使体内毒素及邪气从呼吸道、皮肤及肠道排出体外;以活血化瘀、疏通经络的中药方剂修复受到伤害的肾细胞;最后针对狼疮性肾炎的发病原因对症用药;同时对肝、脾、肾进行功能调节,降低复发的几率。经过一个多月的综合治疗,患者各项指标好转,病情改善,尿蛋白(-)、潜血(-)均已转阴,24小时尿蛋白定量降至0.36g,达到正常指标。
医生表示,中医从狼疮性肾炎的发病根源出发,辨证施治,通过口服中药方剂,配合特色药透疗法,缓解西药的副作用,避免肾脏损伤。结合饮食营养调理,环境改善,睡眠充足,合理锻炼等等。逐渐改变患者的生活习惯。
中医如何辨证治疗狼疮肾炎?
据中医专家张振忠介绍,传统中医文献中无狼疮性肾炎的相关病名。根据其临床症状,可将其归于“痹”“温病发斑”“虚劳”“水肿”“心悸”等范畴。正虚邪是本病的病机特征。一般认为是因先天禀赋不足、肝肾阴虚,或病后体虚,导致热毒邪侵入体内,或饮食疲劳、七情过度、用药不当、扰动阴阳、内生虚火、内脏经络火热毒邪、气血失调、津液煎熬,导致抑郁热。肾虚是发病的基础,热毒是发病的标志。瘀血阻络贯穿病程。在病程的演变中,可以产生水湿、湿热、浊毒等病理因素,可以证明阴阳、气阴虚、脾肾阳虚。

中医治疗采用辨证论治的原则。临床辨证类型:
1、热毒炽盛。症状高烧不退,出血倾向明显,口渴饮冷,甚至昏厥抽搐,或关节红肿疼痛,舌红江,脉洪大或数。治法;清热解毒解毒、凉血消斑。方用清瘟败毒饮加减,组方药;生地、生石膏、水牛、丹皮、赤芍、玄参、连翘、黄连、栀子、知母、竹叶、桔梗、青蒿、甘草。如果昏昏欲睡,可以用安宫牛黄丸、紫雪丹;抽搐加羚羊粉、钩藤、全蝎;关节红肿疼痛可以用瘫痪汤加味。
2、肝肾阴虚。皮疹红斑,眼睛干燥,手脚发热,胸部疼痛,口干咽干,牙齿摇晃,腰膝疼痛,大便干燥,或低热盗汗,脸红,尿热,头晕耳鸣,舌红苔藓或光剥皮,脉搏细数。治法:滋养肝肾,冷血解毒。方用牡丹地黄汤或枸杞地黄汤加减,组方药:当归、牡丹、土地、山药、丹皮、山茱萸、茯苓、腹泻、枸杞、干莲花、女贞子。如果尿热、尿血,可使用知柏地黄汤加马鞭草、侧柏叶、蓟;如果头晕耳鸣,加入僵蚕、菊花、磁石。
3、脾肾阳虚。颧骨红斑暗,全身虚弱,懒惰,怕冷肢,腰膝酸软,脚跟疼痛,腹胀少,尿清大便松弛,或水肿明显,舌头肥,牙痕白,苔藓白,脉搏迟钝。治法;温暖的脾肾。方用金匮肾气丸加减,组方药:干地黄、山药、山茱萸、茯苓、泽泻、丹皮、桂枝、干姜、白术、益母草、泽兰。脾肾气虚明显者,可使用五子衍宗丸加*党**参、黄芪。
4、气阴两虚。症状见疲劳、乏力、少气懒言、自汗怕风、易感冒、低热盗汗、五心烦热、口干咽干、舌淡红或偏红、边缘有牙痕、苔薄白、脉细或细数。治法:益气养阴。方用参芪地黄汤或大补元煎加减,组方药:人参、黄芪、生地、山药、山茱萸、泽泻、茯苓、丹皮、丹参。如果阴阳虚弱,可以用地黄饮料或参芪桂附地黄汤加减。
(文/李烈,医师/张振忠;约2650字)
