
三年前的时候,我就发现我的后槽牙(下牙)出了问题,每当舌头去剔牙齿的时候,稍微使点劲就会出血,但当时没注意,以为是长蛀牙,蛀空了牙齿,今年2月末早上突然就后槽牙牙龈就出血了,量还很大,于是决定去牙科医院拔牙。
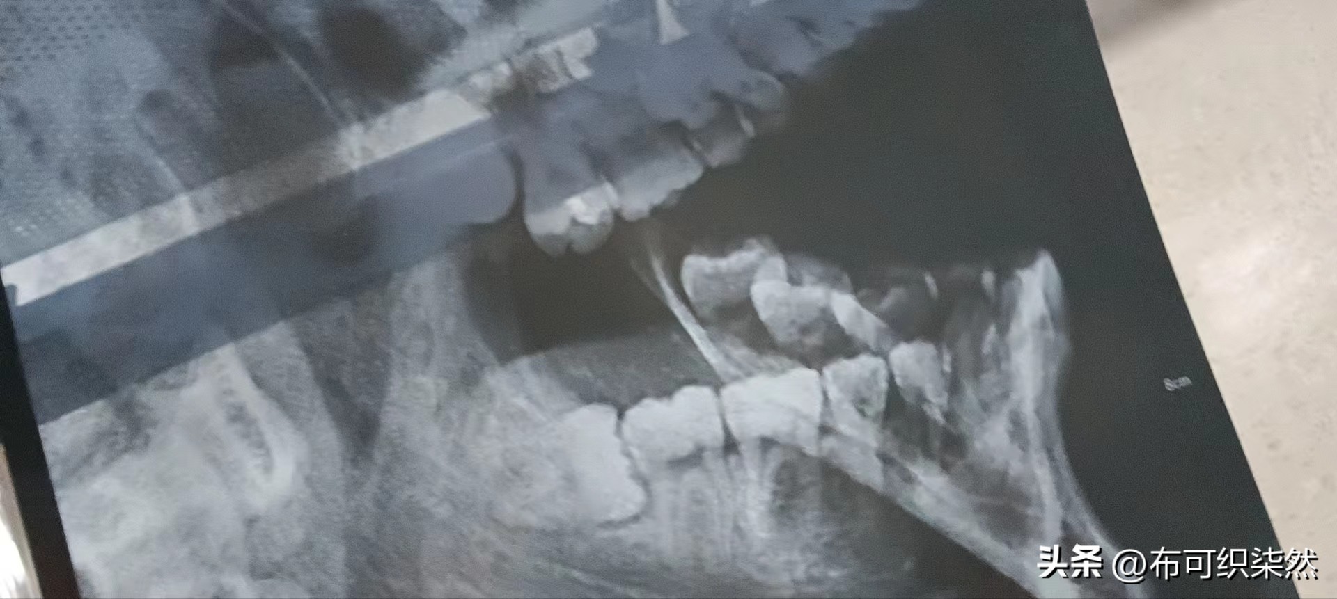
好久没去过大医院了,才发现挂号费已经到7块钱了,挂好号看完医生,拍完片子,医生告诉我长了个“三角齿”(阻生智齿),两个小时后,就准备拔牙了。

拔牙的是位老大夫(男),看岁数就觉得很专业,但是拔智齿前,医生问我,上牙也长了智齿,刚长出来,一起拔不,一个价钱。但是我想了想,算了,医保钱不够,人穷,活得很具体。
麻药发作20分钟后,医生开始拔了,漂亮的护士小姐姐给大夫打下手,过程就不详说了,粗暴中带着漫不经心的成熟,随随便便就完事了,稳得一批!

给大家讲讲,怎么判断智齿要不要拔?
我尽量用简单粗暴的话讲清楚,让你们自己就可以判断
1.不需要拔的情况:
正位智齿
只要是正位智齿,即使平时牙龈很痛,即使牙龈经常发炎,即使发炎次数很多,你都可以不拔除,并且我建议不拔除。(正位智齿:是指位置正的智齿,没有歪着,也没有横着)
那疼痛怎么办?经常发炎怎么办?可以选择切除牙龈解决
智齿牙尖太尖咬到肉怎么办?可以选择把牙尖磨圆钝
2.需要拔的情况
1)阻生智齿:横着长的智齿,歪着长的智齿,这类智齿往往会顶到前面的牙。
简单的说:只要是歪的智齿,不管疼不疼,看见了一律拔除,没有任何商量余地
2)智齿过深的蛀牙:已经波及牙髓,应选择拔除
3.我对智齿的态度:
我对智齿的态度其实是很宽容的,会有以下一些原则:
1)如果口腔里四颗智齿其中一颗是歪的,那就只拔除那一颗歪的,剩下的三颗正位智齿很不建议拔除
2)如果下颌两颗智齿都是歪的,仅拔除下颌两颗智齿,上面的智齿不应拔除
3)只要智齿阻生,歪了,尤其是水平阻生,一律拔除
4.我想说的
1)很多很多医生,几乎是大部分医生,都会为了各种各样的原因要求病人拔除正位智齿,这是错误的,如果医生要求你拔智齿,请问他一句:“医生,我的智齿位置正不正?”只要位置正,都可以不拔除(严重蛀牙除外)
2)很多医生,几乎是绝大部分医生,都会要求拔了下颌智齿,上颌智齿就也要拔除,这是错误的,很不负责任。上颌智齿很容易拔除,而且往往是正的,难度极低。但是大家不知道,就以为上颌智齿和下颌智齿难度差不多,所以医生就可以收一样的价钱,这是信息不对等。
另外说一句,护士小姐姐是真的好看,我是真心动!哈哈哈!