
矫正医生几乎每天都会被问到——“医生,我要不要拔牙?”
今天,就由郭医生来为大家解答,关于拔牙矫正的各大疑问~
案例分享
如果你的牙齿特别拥挤,而拔牙又能对你的面型有很大的改善,那拔牙就是必要的;假如你牙齿空间足够,那可能就不需要拔牙。所以说不是人人都需要拔牙,这事情得对症下药。

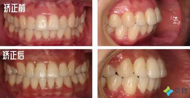
像这个 28 岁的姑娘,她最想要改变的就是自己嘴突的问题,让自己的面型看上去能恢复正常。
她是属于严重的上下颌前突,侧面看会更明显的看到前突的脸型,自然状态下闭唇紧张。口内牙齿拥挤度不大,一般前突面型的往往拥挤都很轻。
所以方案采取了拔牙治疗,以获得最佳的效果。

大家可以看到她的上下前牙都向唇侧倾斜。我给她的方案是拔除了四颗第一前磨牙。
治疗开始时间是2012.08.20,结束于2014.11.18。经过了两年的矫正,原先前突的牙齿内收,中线对齐,收获了良好的咬合关系。

面下三分之一也改善明显。姑娘口周肌肉自然放松,颏部形状自然,紧张感消失了。

尤其是侧面的面相,获得了天翻地覆的变化,矫正后侧貌符合直面型,告别了“嘴突”少女的称号。
拔牙矫正五连 Q
Q1:拔牙矫正会不会造成牙齿松动?老了之后牙齿更容易掉落?
A1:从生理结构上来说,牙齿是长在牙槽骨上的,矫正过程中牙齿受力,周围牙槽骨发生骨改建,从而产生牙齿移动。
在矫正过程中,可能部分患者会出现牙齿轻度松动、酸胀不适、咀嚼无力等情况,这都是治疗过程中的正常反应。在矫正结束后,这些现象都会消失,牙齿动度也会恢复正常。
从治疗方法上来说,现代固定矫治技术进行牙齿矫正已经有上百年的历史了,在我们之前的几代人都已经接受了固定牙齿矫正,并没有发现老了以后牙齿更早脱落的现象。
相反,牙齿矫正有利于口腔清洁,减少牙周组织的炎症,避免牙槽骨的吸收。从这个意义上说,牙齿矫正后不仅不会造成牙齿松动,还会对牙齿松动起到预防和保护作用。

这是最近讲课的幻灯,这是最早的固定矫治技术,一个法国医生发明的。所以大家不用担心牙齿矫正会造成牙齿松动,因为历史真的是很久很久了。
Q2:是不是每个人矫正都需要拔牙?不拔牙是不是会影响到矫正效果?
A2:其实,并不是做矫正就需要拔牙,矫正拔牙通常是因为两个原因。一个原因是牙齿太拥挤了,不拔牙无法获得足够的空间来排齐牙齿。就像我们上下班高峰去挤地铁,人多空间小,大家只能挤在一起。另一个原因是有些人嘴比较突,想要改善面型,就像我刚刚分享的这个案例,这也需要拔牙后才能将突出的牙齿内收进来。
当然随着矫治器与矫治技术的进步,第一种情况由于牙齿过度拥挤需要拔牙的概率已经明显降低了。
现在是否拔牙主要还是依据患者的主要要求还有面型。 如果要求是想改善嘴突,那多数时候还是需要拔牙的。

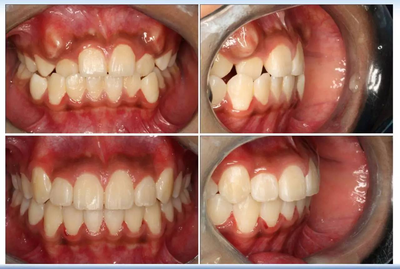
比如这个case,虽然牙齿重度拥挤,上面有两个尖牙都是埋藏阻生的。但还是采用的非拔牙矫正。

治疗后的侧貌仍然维持了治疗前的直面型。
Q3:拔牙矫正会不会更容易出现牙套脸?
A3:所谓牙套脸是治疗中间出现面颊部凹陷,有些还会出现太阳穴附近的颞肌凹陷,从而显得颧骨突出,面容不好看。

一般来说非拔牙矫正的患者不会出现牙套脸,拔牙的患者治疗中有可能会出现牙套脸。我的临床经验概率出现的概率低于10%。
治疗前面部比较瘦,面颊部肌肉比较薄,脂肪比较少的成年女性容易出现。牙套脸出现的原因是治疗中颊部脂肪垫重新分布导致的,多数人在治疗中后期或者治疗结束后都会自行恢复。

Q4:拔牙矫正能改变脸型吗?能让脸变小吗?
A4:很多人在治疗开始前就会关心的“瘦脸”问题。
如果采用拔牙矫正,多数时候是解决嘴突,也就是面部前后方向的改变。至于面部横向,也就是脸部宽度,可能影响不是很大。
Q5:当出现两个方案时,拔牙效果好一点,不拔牙效果一般,我该怎么选?
A5:主要还是看你来医院前想解决的问题,如果希望改善面型,多数时候要考虑拔牙矫正。如果只是想将牙齿排整齐,多数时候是不需要拔牙矫正的。
这里可以引用乔帮主曾说过的一句话:遵循自己内心的声音。

用户互动

如果你还有关于矫正的疑问和烦恼,可以直接扫下方的二维码,预约郭医生进行线下面诊噢~