在癫痫外科的术前评估中,头MRI是其中最为重要的检查之一,是手术能否成功的决定性因素。原因在于:明确了病灶,就找到了癫痫的病因,明确了病灶就找到了手术需要切除的部位和范围。因此,无论颞叶癫痫还是其它部位的癫痫,如果磁共振发现病灶,大多数术后癫痫发作控制的效果很好。但是,但仍有很多无病灶的癫痫,他们能进行癫痫外科手术吗?手术效果怎么样?

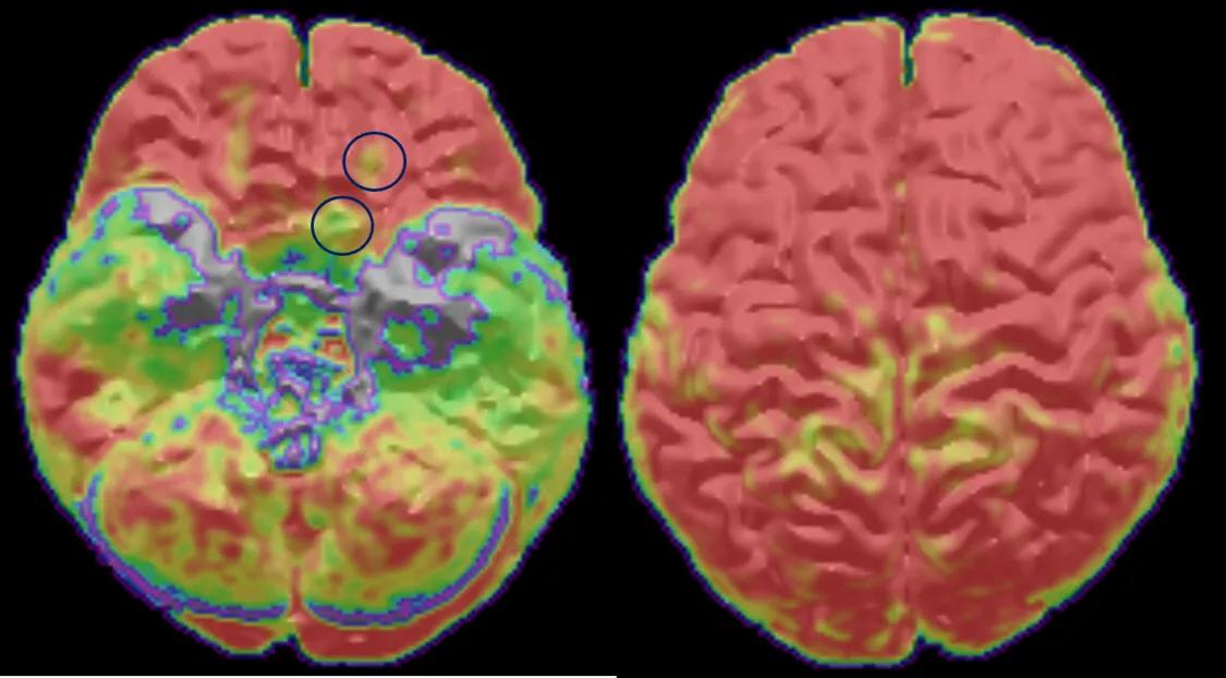
首先,影像科或磁共振室报告说没有病灶的,并非真正的“没有病灶”。有研究显示,85%的术后病理证实的皮层发育不良,影像科的报告是正常的。因此,目前普遍的共识是癫痫患者需要进行特殊的癫痫序列扫描,MRI的结果判读也需要综合癫痫中心的专科医生或有癫痫影像阅片经验的影像科医生完成。我们癫痫中心的医生都是自己看磁共振片子哟!

其次,最近癫痫病学一个重要的进展就是影像学的发展。多序列、高场强、高分辨率MRI(更高级的磁共振)广泛应用于癫痫术前评估中,也就是说硬件更强了。而且,各种影像后处理方法如PET-MRI融合技术、基于体素及皮层表面的形态学分析(VBM,SBM)开始应用于临床,提高了病灶的检出率,也就是软件更强了。这部分工作大多都是癫痫中心医生自己来做的。所以癫痫中心的医生往往会和患者要磁共振的光盘,那是要看原始文件,进行影像后处理。

最后,即使对于磁共振“真没有病灶”的药物难治性癫痫,如果发作的表现和脑电图提示为局灶性起源,也需要全面细致的术前评估包括颅内电极脑电图进一步确定致痫区。
除了以上这些,还有一些全面性癫痫,遗传性癫痫,癫痫性脑病,磁共振的确也没有病灶,那就不能考虑切除性手术了,可以考虑其他手术方法比如迷走神经刺激等等,虽然手术目的不是治愈癫痫,但仍然可以减轻发作,改善生活质量。

总之,磁共振报告没有病灶,通过高级的磁共振扫描、高级的磁共振后处理、专业的磁共振判读,综合的术前评估,一部分患者也能进行癫痫外科手术治疗,也能取得很好的手术效果