病例一
病史:男,52岁,咳嗽、咳痰,痰中带血丝1月余;有发热,间断性,最高37.5℃,一般于夜间发热,间断性下外侧胸部疼痛,当地医院给予左氧氟沙星等药物无缓解


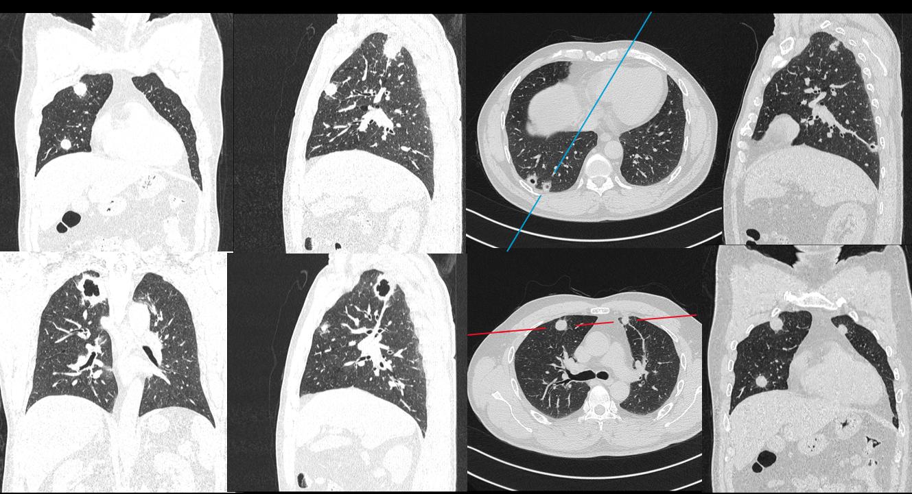
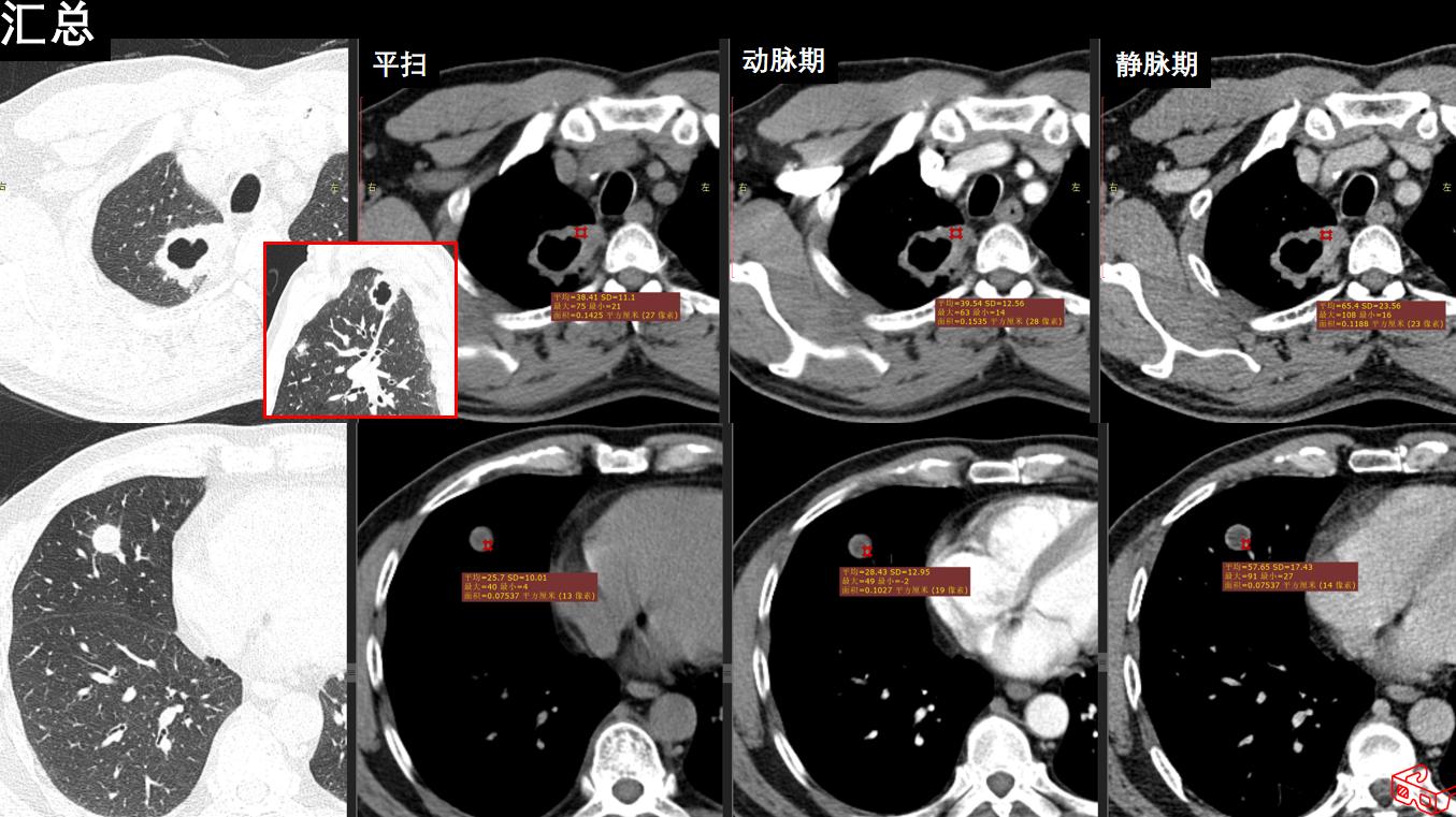
图像:


影像描述:双肺多发结节状密度增高灶,周围可见晕征、毛刺、胸膜牵拉征象,可见空洞样改变,内壁光整,增强轻中度强化,未见淋巴结肿大和胸腔积液。
影像诊断:双肺多发病变(1.真菌感染?2.肺癌?)
病理:肉芽肿性炎。经规范激素+免疫调节治疗后复查,双肺病变明显缩小。
学生发言:
A:临床资料,沙星治疗无效,头孢类和沙星类药物抗细菌药物。所以不考虑细菌了。GM实验阴性,所以不考虑真菌,血管炎性蛋白酶高,提示血管炎性病变。
B:影像特点1:双肺多发结节,2部分结节周围可见晕征,3可见空洞,内壁很光整,4未见胸腔积液和淋巴结肿大。空洞的话,中性粒细胞和白细胞不是很高,不考虑金葡菌那种空洞。空洞内壁光整,其余结节周围有晕征,不考虑肺癌并多发转移。结核的话壁薄,卫星灶啊,好发位置啊,病程相对较长,也不考虑。其实隐球菌是不除外的,当然了,一查血管炎自然肯定考虑韦格纳肉芽肿了。这个人做了鼻窦。

病例二
病史:男,50岁,反复低热伴咳嗽、胸闷2个月,给予莫西沙星抗感染、止咳化痰治疗,无缓解。

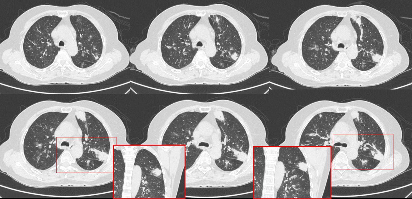
图像:


影像描述:多发结节状、条片状密度增高灶,边界欠清,多发腺样小结节改变。
影像诊断:考虑特殊感染CT表现。
病理:嗜酸性肉芽肿性多血管炎
学生发言:
A:先临床,白细胞中性粒细胞高,临床给了沙星治疗无效,细菌可以往后放了,真菌的话GM实验阳性,但是老大夫说这个不准,支原体、衣原体、结核都查了血,都没事,肿瘤标志物也查了,也没事。隐球菌也查了,没事,老大夫说隐球菌荚膜准,说没有就是没有。
B:影像还说啥了,结节样改变,唯一特异点的就是沿着血管支气管。可以查查血管炎的标志物。所以说我老师说得好,肺的病都一样,只要知道不是肿瘤就好了,都基本看临床,话也说回来,看病太不容易了,查血差那么多,还不知道是个啥,也没个头啊。查这些东西又费钱,还要排队,本来就生病着急,要我我也烦。
老师总结:
①:肉芽肿性多发血管炎 ,旧称韦格纳肉芽肿病 ,是一种抗中性粒细胞胞浆抗体(ANCA)相关的血管炎性疾病。45—60岁人群好发。
②:临床综合性表现:常见就是鼻窦,鼻塞或者出血之类的,伴有肾炎,中耳炎、皮下结节等;
③:影像特点三多:多发,多样(空洞样、实性结节样多见,也可呈片状、楔形),多变(部位、大小、形态可随着治疗发生变化)。
④:经激素或免疫抑制治疗后短期内即可明显缩小或呈游走性。
⑤:不查血很难想到的。万物的尽头是临床。
⑥:抗中性粒细胞胞浆抗体相关性血管炎:分为肉芽肿性多发血管炎,嗜酸性肉芽肿性多血管炎和显微镜下多血管炎。其实到时候报个,血管炎性改变、血管炎性肉芽肿就行了。