PD-1是免疫检查点*制剂抑**,目前在我国获批的有 纳武利尤单抗(O药)和 帕博利珠单抗(K药)。
原则上PD-1可以适用于多种实体肿瘤,这两种药物在国外也确实获批了多个适应症。
这两个药的单药 有效率在20%左右 ,并不是很高,所以现在正在寻找一些生物标志物将可能获益的病人筛选出来。而一旦病人使用PD-1有效,则有望可以长期生存。
一个问题是 PD-1依旧会耐药 ,也就是人体的癌细胞可能随机地进化出某些特定的机制,PD-1也压制不住了。
那么这个时候该怎么办?
今天癌度给大家的案例将会分享一个文献报道,当纳武利尤单抗耐药之后,病人通过挽救性化疗获得了好的治疗效果。
案例一
这名病人是 头颈部鳞状细胞癌,最初接受新辅助化疗,化疗方案为多西紫杉醇、顺铂和5-FU,后面又使用了放疗和蛋白大分子药物西妥昔单抗。2014年11月结束以上方案的治疗。
六个月之后,病人提出用铂类、5-FU和西妥昔单抗治疗局部复发,这一治疗方案产生了效果,病灶缩小,临床评估部分缓解。
2016年11月,病情再次进展,最后一种含铂的化疗方案只是稳定了病情。
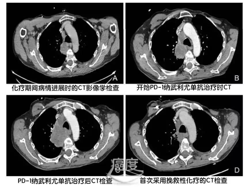
2017年7月病情再次进展,这个时候开始使用PD-1的O药,也就是纳武利尤单抗,每15天一个疗程,使用的剂量为每公斤体重3毫克。4个治疗周期后,病情还是进展了,也就是PD-1的4个周期没有压制住病情。不得已病人开始使用紫杉醇化疗。3个月之后,病人的病情出现意想不到的应答,病情获得了显著缓解,如下图所示。

案例二
2015年6月,一名62岁的男性喉癌病人接受了 西妥昔单抗 治疗,这名病人的病理分期是临床四期。2016年1月进行了挽救手术,全喉切除术和淋巴结清扫术。
7个月之后这个病人的病情复发,发生了肺转移。
2016年8月病人接受一线化疗,最开始治疗的6个星期之内,肿瘤病灶有缩小,临床评估对治疗部分应答。
2016年12月,也就是一线化疗4个月之后,病情迅速进展,西妥昔单抗单药维持治疗,以减缓病情的进展。
2017年6月,由于显著的病情进展而停止了治疗。
2017年8月,也就是传统治疗停止之后的2个月,开始使用PD-1的纳武利尤单抗,每15天一个疗程,使用的剂量为每公斤体重3毫克。2个月后,也就是4个治疗周期之后病情进展,PD-1看起来没有起到效果。
2017年11月,每周一次单药的紫杉醇治疗,2个月之后出现显著的疗效,病灶缩小,临床评估部分缓解(PR)。

总结分析
这篇文章描述了 2个通过挽救性化疗临床部分缓解的情况,一般而言晚期肿瘤的替代性疗法只能保证病情稳定或者病灶有限的缩小。
在第二线、第三线的化疗中,仅仅有5.8%的病人化疗可以达到部分缓解(肿瘤病灶缩小30%以上)。
鉴于本文两个案例都是多线化疗病情进展,很难想象维持性的单药紫杉醇可以达到部分缓解,这里一定还是有PD-1的作用。
那么有一个可能就是,是不是PD-1肿瘤的假性进展,不过本文的两个案例都是头颈部肿瘤病人,在这些病人假性进展的情况不多见。Checkmate 141研究中,当病人使用PD-1的纳武利尤单抗治疗病情进展后,继续使用PD-1治疗,仅有6%的病人达到临床的部分缓解。
本文的2个病人已经使用了4个疗程的PD-1且并且进展,从经济花费和临床治疗方面看,一般医生都不会在这个时候继续坚持PD-1的治疗。
那么就是这么一个可能性,也许PD-1治疗显示不出治疗效果之后,进行顺序的化疗,则可能会给病人带来获益的机会。
当然是PD-1治疗期间没有出现病情进展就用上化疗,也就是PD-1和化疗联合治疗,还是PD-1和化疗顺序性地使用,这个问题还需要等待临床更多的治疗数据,这一点欢迎关注癌度公众号了解更多。
案例给大家分享完了,那么我们需要思考这里的逻辑,也就是化疗有效的原因。
这里可能非常复杂,我们从PD-1和化疗这种药物的作用机理看,PD-1是解除癌细胞对免疫T细胞的抑制,化疗的紫杉醇则是干扰癌细胞微管蛋白的聚合来杀死癌细胞。
有可能是这么一种场景,尽管PD-1解除了癌细胞对免疫T细胞的抑制,但是癌细胞群里有一些敢死队(或者也可能是一些助纣为虐的正常细胞),这些棘手的细胞顶在前面,通过一些其他机制 抵御免疫T细胞的攻击,而化疗的助攻则将这部分棘手的癌细胞干掉了,释放了免疫T细胞的攻击力量。
从这两个案例来看,只要不放弃,就还有希望。
参考文献:
Daste A, et al., Progression beyond nivolumab: Stop or repeat? Dramatic responses with salvage chemotherapy, Oral Oncol. 2018 Jun;81:116-118.

癌度为患者提供了参加临床试验的渠道,免费试用PD-1等靶向药物。想要入组的癌友可以对照上面的图片,点击下方了解更多或关注我私信临床入组填写表格