事件背景:35岁男子服农药自杀
2017年1月27日 坐标:河南泌阳
农历大年三十,一35岁男子晚上贴对联时,与家人口角不愉快,一气之下喝了1口百草枯、3口乙草胺,家人劝阻夺下,赶快送至泌阳县人民医院治疗,1天后计划转到齐鲁医院,但由于病情重、路途远、抽搐厉害,就近去了郑州大学一附院。
2017年1月28日 坐标:河南郑州
病人在院期间间断抽搐,发作频繁,并发上消化道出血、肺部感染,给予行气管切开术,先后辗转三个科室,从ICU转到呼吸重症,又转到神经内科,最后转回呼吸重症。先后治疗50多天,花费50余万。患者植物人状态,声音、疼痛外界刺激均无反应,可自主睁眼,四肢肌力级。
2017年3月21 坐标:河南泌阳
患者转回泌阳当地医院,可以睁眼闭眼,意识不清,身体消瘦,抽搐频繁,一直未得到控制,间断性低热。
疾速应对:和缓3小时内联系专家上线
2017年3月23日 14:35 坐标:河南泌阳&山东济南
泌阳和缓工作人员找到山东济南同事,问菅向东教授能否上线和缓平台,为患者远程会诊。
2017年3月23日 15:28 坐标:山东济南
一个小时后山东工作人员联系到菅向东教授,菅教授同意上线接诊,远程帮助患者。
2017年3月23日 16:45 坐标:北京
和缓后台操作,为专家搭建平台,接诊打开,上线完毕。
视频会诊:医生专家异地协作
2017年3月26日 11:22 坐标:山东济南
菅向东教授从广东到宜昌抢救,改签后从宜昌到济南坐了7个多小时火车,18:30到济南,本院急诊抢救了一个重症病人后,马不停蹄来到办公室接受视频会诊。
2017年3月26日 20:00
坐标:河南泌阳 & 山东济南
崔医生:
菅教授您好,患者2月前因口服百草枯、乙草胺后在我院治疗1天,后出现抽搐转入郑州大学第一附属医院治疗,间断抽搐,发作频繁,并发上消化道出血、肺部感染,给予行气管切开术,在郑大一附院治疗50多天,现转回我院治疗,目前患者植物人状态,声音、疼痛外界刺激均无反应,可自主睁眼,四肢肌力级。敬请专家明确下一步治疗方案,谢谢!
菅向东主任:
视频时间:2017-03-27 20:00 通话时长:20分
会诊总结:第一,病人目前主要症状是抽搐和意识障碍,这个原因还不是很清楚。需完善颅脑的核磁检查和脑电图检查,以及胸腹CT检查,确认抽搐原因。第二,病人资料显示有肺部的感染,考虑到病人在农药中毒后在多个重症监护病房住过,不能完全排除是不是有耐药菌的定植,虽然PCT不是很高,这方面也要引起警惕。第三,目前要等以上的检查结果,在这个过程中,需注意营养支持,可以给一些营养神经改善循环的保护脑细胞药物治疗,如维生素B1等,当然最终的治疗还要根据上述完善的检查结果,再进一步的讨论。检查结果出了之后再联系!
视频会诊20分钟后,专家详细总结给出指导,视频会诊后继续保持追问互动。
互动追问:视频会诊后继续指导治疗
2017年03月30日 08:09
坐标:河南泌阳 & 山东济南
崔医生:
菅老师您好,非常抱歉,我们医院的核磁共振坏了几天了,复查的头部CT 未见明显异常,胸部CT 可见左侧胸腔积液明显,具体见下图,脑电图没有做,之后等修好了磁共振再给您结果,我想问,我们医院没有维生素B1注射剂,家属出去外购,这个药物只能肌肉注射,我要问的是,如果给予稀释后静脉滴注怎么样呢,通过肌注几支后,我感觉,症状有所好转,精神状态明显好转,只是抽搐还继续存在。


(部分CT图片)
菅向东教授:
情况已经了解具体意见如下供参考:.1肌肉注射的药物不能静脉注射。肺部改变,和我们当初分析的完全一致。颅脑核磁共振,还应该想办法做。做完了,以后我们应该能有所发现。保持联系,供参考。
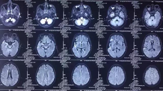
2017年03月31日22:31 坐标:河南泌阳 & 山东济南
崔医生:
菅老师您好,打扰您了,今天下午做的磁共振,您看一下。



(部分图片)
菅向东教授:
核磁共振看的还可以,这个病人一点儿意识也没有吗?抽搐的话,脑电图对诊断应该有所帮助。
崔医生:
菅老师好,病人有意识,这两天,我觉得从用上维生素B1后好多了,精神状态好多了,清醒,知道用手要水喝,对我们的说话可以配合。
菅向东教授:
目前治疗上应该围绕肺炎和营养支持为主。胸水可以抽一下,其他主要是营养支持。
崔医生:
好的,抽搐较前几天也有好转,胸水是让自己吸收呢,还是做一次胸穿?
菅向东教授:
胸穿一下比较好,恢复的比较快,然后可以做一下胸水培养加药敏,你们治的不错,其他我没有什么建议了。
崔医生:
谢谢菅老师的指导,先不打扰您了,有什么问题再与您联系,谢谢您!
后记
植物人状态的农药中毒患者抽搐减轻,意识逐渐清醒,对外界说话能够配合,而且已经会自主要水喝,可以说是个奇迹,看到患者逐渐好转,家属几度哽咽。要知道在农村,35岁的壮年就是一家人的顶梁柱,可以说这一次会诊挽救了整个家庭,避免了人财两空。患者家属对专家,对医生,对和缓,朴实地表达着感激。
专家与医生跨越空间异地协作,最大程度提高医疗效率,救治患者,是一条医患共赢的高速公路,和缓将与专家、医生、患者一起在这条路上共同奔跑!

小和对您说
如果您是医生
关注“和缓医生服务号”微信号(hehuanyisheng)
即可注册和缓名医
如果您是患者/家属
关注“和缓医疗”微信号(hhmedic)
即可了解向名医发起会诊的流程
