近日,广东省人民医院罗建方教授团队成功使用Edwards Sapien 3球扩瓣为1名86岁高龄的主动脉瓣介入瓣衰败患者完成了瓣中瓣(Vavle-in-Valve)TAVI手术!继成功为重度横位心、低冠脉开口、二叶式畸形主动脉瓣狭窄等特殊TAVI病例顺利开展手术以来,罗建方教授团队凭借Sapien 3球扩瓣的优秀性能成功挑战了这一难度极高的瓣中瓣手术病例!在这场“惊心动魄”的手术之中,罗建方教授团队究竟遇到了哪些困难,最终又是如何巧妙化解的?一起来回顾一下这场精彩的瓣中瓣手术!
|惊险一刻|
危急状态下快速精准完成Sapien 3球扩瓣植入
患者女,86岁;约8年前曾行TAVI手术,因肾功能衰竭长期接受肾透析治疗,此次因既往介入瓣衰败由澳门转至我院就诊。院内心超检查提示,LVEF 55.6%,主动脉瓣瓣口流速4.74 cm/s,主动脉瓣介入瓣衰败(狭窄),轻-中度PVL,中-重度二尖瓣返流;轻度肺动脉高压,轻度三尖瓣返流。
术前CT提示,患者主动脉瓣瓣环平均直径21.3 mm,瓣口面积351.3 mm 2 ;主动脉窦与窦管交界偏小,且冠脉开口偏低,冠脉阻塞风险偏高。该患者既往植入的是一枚美敦力23号Corevalve瓣膜,综合术前评估结果,决定为该患者植入20 mm Sapien 3球扩瓣一枚,并先行球囊扩张处理(BAV),判断瓣膜植入后是否会影响患者的冠脉血流状况。


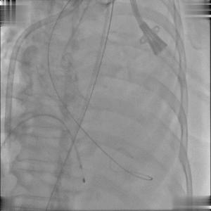
以右侧股动脉为主入路建立双侧入路,Edwards Sapien 3球囊扩张式瓣膜输送系统顺利过弓、跨瓣;随后,行BAV观察患者血流动力学变化情况;

球囊跨瓣

主动脉球囊扩张术(BAV)
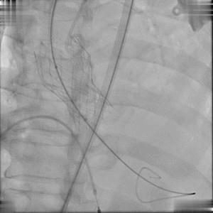
患者突发心脏停跳,紧急进行人工按压等急救措施;尝试予以冠脉保护,并在停跳状态下,快速植入Edwards Sapien 3球扩瓣;

尝试冠脉保护

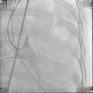
瓣膜定位释放
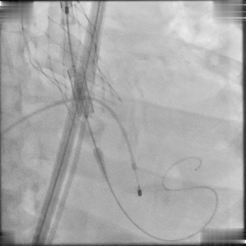
再行数十秒心脏按压,患者心脏恢复跳动、血流动力学状态恢复正常,即刻跨瓣压差为零,顺利结束手术。

即刻植入效果
|术后点评|
罗建方:Sapien 3球扩瓣完美适应各种“复杂心”

罗建方教授:这是一名从澳门转送过来的86岁高龄患者,入院时心功能非常不稳定,且伴有肾脏衰竭等合并症;给予一定的药物治疗后,该患者仍处于相对不稳定的状态,对于我院团队来说,要在这种状态下完成瓣中瓣手术其实是一个非常严峻的挑战。由于担心后续植入的瓣膜可能会对患者的冠脉血流造成影响,故我院团队在植入前特意进行球囊预扩张处理,但此时患者出现了循环崩溃;考虑到患者既往植入的介入瓣已完全失效,有必要再次植入瓣膜,故我团队当机立断,对患者施以人工按压等紧急抢救措施后,于心脏停跳状态下为其快速完成了Edwards Sapien 3球扩瓣的植入,随后又予以数十秒的心外按压,患者终于恢复心跳,实现了手术的圆满成功。
当然,我们在如此紧急的情况下能够快速完成后续的一系列操作,与Sapien 3球扩瓣的优良设计密不可分。与传统的自膨瓣不同,该款瓣膜采用了独特的双调弯设计和低瓣架设计,即便是在复杂的冠脉解剖结构中,Sapien 3球扩瓣输送系统亦能非常轻松地过弓、跨瓣,并显著降低了输送过程中的血管损伤风险,这也是我们术中能够如此快速地将瓣膜精准送至植入部位的一大重要原因;在术后即刻影像学评估时,我们清晰地观察到,瓣膜植入位置非常精准,即刻跨瓣压差近乎为零;瓣架未对冠脉造成任何遮挡,患者血流动力学状态恢复良好;经过数天的术后监测,患者达到理想恢复状态,顺利出院返回澳门。
尽管我们也是首次应用Sapien 3球扩瓣进行瓣中瓣手术,但最终的植入效果的确让人非常满意,相信一定能给该患者带来更长久的临床获益。当然,考虑到此次手术中预扩张操作后出现的危险状况,未来进行瓣中瓣手术时,还是建议术者避免行球囊预扩,以免引发患者循环崩溃等危险情况;另外,术者还应在术前做好多种手术预案,备好ECMO等体外循环装置,以防各类突发紧急事件。
总体而言,自Sapien 3球扩瓣上市以来,我院已用其挑战了包括标准三叶瓣、标准菱形二叶瓣、横位心、瓣中瓣等在内的各种常见或复杂TAVI病例类型,均取得了预期的完美结果,这一结果很好地证明了该款瓣膜的适应证范围非常广泛,在未来拥有非常广阔的应用前景。不过,由于Sapien 3球扩瓣与自膨瓣在手术操作步骤上存在一定的差异,尽管该瓣膜的操作流程非常明确、可控性非常好,但对于初学者而言,还是最好在有经验的带教医师指导下进行尝试,以确保患者的安全和手术的最终效果。 #主动脉瓣# #心血管那些事# #心脏瓣膜病# #手术方案#