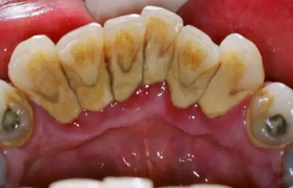
说起牙结石,我真的是一肚子火!我当时为了解决牙石问题,洗了至少两次牙,都是牙齿当时比较干净亮白! 但是前后过不了几个月的时间,牙石又遍布在我的牙齿上面,甚至是牙缝里面都是发黄发黑的牙石, 嘴巴里面也因此有了很大的口气,给我的生理和心理造成了不小的伤害!

后来我也是实在没办法,在朋友以及家里人的建议下, 开始尝试使用牙膏和牙粉解决问题,前后真的换了得有十来种刷牙的,这才把问题给解决了! 作为过来人,我觉得这些成本较低且祛牙石效果比较突出的牙膏和牙粉,大家可以及时选择使用。
一、牙粉系列
*欧丹锦牙粉: 这个牙粉我觉得它的主要作用就是消除牙结石,改善牙黄问题。 因为它的粉质比较细腻,而且牙粉本身是柠檬味的,用起来使用感还可以,我当时用了不到一个月。

刷牙的时候就有牙结石脱落,大部分都已经发黄发黑,虽然刷掉了,但是牙石本身还是比较坚硬。 因为有效果,后期我都是早晚使用一次,牙齿和开始相比亮白了很多,我一直到现在也会和牙膏交替使用。

*CoCo牙粉: 这个牙粉是我最开始不懂事的时候买的,还是国外进口的,所以价钱比较高。我个人觉得这个牙粉的使用感受挺好的,具备一定的清洁效果, 但是牙粉本身的祛牙石功能一般,我当时坚持用完了一整盒,牙石还是存在,就是口臭问题稍微有点减缓, 但是稍微吃点重口味的东西,嘴巴里面味道还是怪怪的,大家还是根据自身需求选择使用为好。

二、牙膏系列
*黑人牙膏: 这个牙膏我用的比较少, 因为我觉得它的薄荷含量太多了,每次只用一点点,刷完牙后嘴巴里面都感觉辣辣的,稍微吃点辣的或者是烫的食物,就难受的不行! 所以我个人建议可以接受较多薄荷含量的朋友尝试使用,其他的人自行谨慎选择即可。
作为洗过两次牙的过来人,我属实觉得刷好牙才能从根本上解决顽固的牙石问题,希望大家少走弯路,尽快选择适合自己的牙粉,摆脱牙石折!