#重庆头条# #生命摆渡人# #我的2022#
一方面我希望患者能给予医生毫无芥蒂的信任,另一方面又害怕部分患者因为求医心切而病急乱投医,损失了钱财是小事,延误了病情就不好了。今天分享的案例,相信很多朋友都不陌生,去年我分享过他们一家的情况——《一天就要花三千块钱的中药,治晚期肺癌会有效吗?请Stop》。如今患者双肺都已经顺利在我院手术,预后还不错,虽然两姐弟为给母亲治病,一路走来走了太多弯路,但也让我为他们的孝心感动。未来就可以继续与母亲过着幸福的日子了。
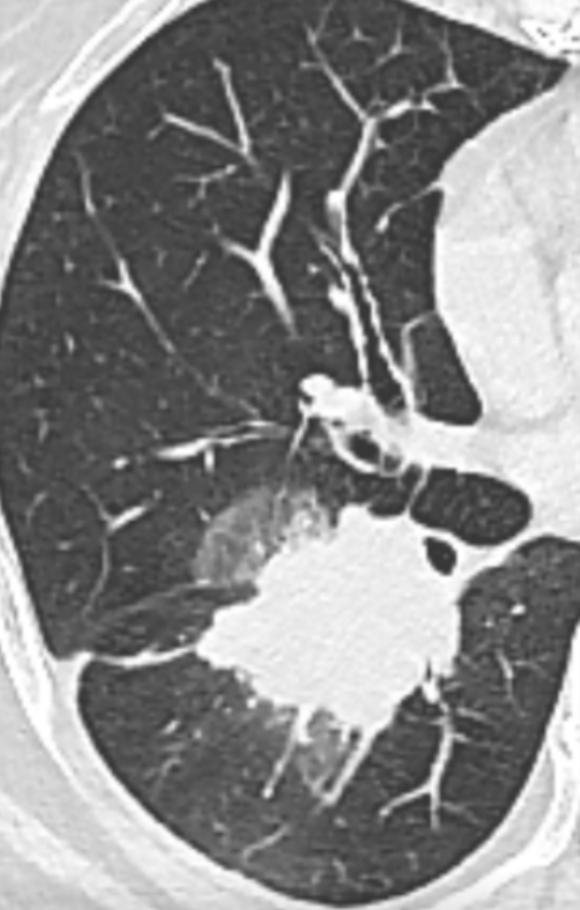
第一次看到家属咨询说当地医院确认是晚期,已经不能手术,在崩溃之余找到了一位号称学习黄帝内经的医生,吃起了一天3000的中药。我当时看到之后又震惊又心疼,仔细看了片子之后判断应该不是肺癌晚期,很可能是多原发早期肺癌,双肺的大包块很可能是混合性磨玻璃结节演变发展而成的。在我的极力劝说之下,依然没能说动这对仿佛抓住最后一根救命稻草的姐弟,放弃高价中药。遗憾之余我还是不想放弃,继续联系发帖的家属,但是没收到任何回答。
半年后,直到他们发现那种高价药没有作用,才又再次找到了我,本就一直挂心着这位患者,赶紧让他们来到重庆,我相信一切还来得及。果然,入院检查后,虽然包块又明显长大了,但我确定还可以治,定下手术方案,先化疗联合免疫治疗缩小病灶,再分两次分侧手术,终于在今年将所有有危险的结节都一网打尽,一切顺利。幸好一切都不晚,恭喜你们一家人。


以下转自患者家属留言:
首先感谢戴主任的高超技术,我妈妈的两次手术都很成功。
先说一下妈妈的病情。我们不是很懂医,大概讲一下我们自己理解的意思。我们是花了20W吃那个中药治Ai的一家子。2020年12月妈妈查出来肺癌。我在贴吧发贴,只是抒发一下我当时绝望又抱有希望的心情。戴主任当时苦口婆心地劝我们不要吃,说我妈妈有可能是早期原位癌,但是远在千里之外,又是贴吧网络,一个未曾谋面的大夫,我们不敢轻易相信!觉得贴吧里的那些都是故事,也许大家都是托!
于是我们一意孤行。没有听戴主任的忠告,也没有理会众多吧友给我的私信!他们说:戴主任回复你了,让你不要吃那个中药,戴主任说可以手术肯定没有问题。你妈妈有救了!你快把CT片子发给戴主任。你很幸运,戴主任在你的帖子了回复了很多很多,特别着急。以前都没有这种情况。得到戴主任的回复都不容易...等等很多这样的话。由于我当时在坐月子,手里也没有报告也没有片子,都是弟弟陪着妈妈在检查,他什么资料也没有给我,只是告诉我,这边医院的专家告诉他,咱妈是晚期了!!!我们市有名的医院,呼吸科五六十岁的一个老专家,告诉我们我妈是晚期!我们绝望了,姐弟俩在电话里哭得稀里哗啦。后又看了看吧友的话,觉得还是不要发了,我妈妈已经晚期了,要了CT发了又有什么意义呢??三甲医院的专家说妈妈是晚期,医院怎么会骗我们呢?我们觉得妈没得救了!晚期啊?谁能救得了??家里的天已经塌了一半,这次要彻底坍塌了...爸妈都将离我们而去。
突然听到有人说中药可以治好我妈,因为他治好了好几位晚期已经转移的病人。但是一天需要3000,何况我妈妈这种没手术没化疗过的身体完好的,他说肯定可以治好。我们就像抓住了救命稻草,花再多的钱也忍着坚持着,就希望妈妈在!因为老爸一年前已经不在了。我们开始喝中药,期盼着奇迹发生,吃了近两个月的中药,那个人说可以了,我妈治好了!当时我们复查了CT,肿瘤没长!肿瘤标志物检测也合格!但是停药后一个月,我们再次复查CT,长了1毫米!不知道是测量误差还是什么,但是我们明白了那个一天3000的中药,无效!最起码肿瘤小不了,也不可能治好!我们没有那么幸运,没有奇迹!
于是又带妈妈去另一个城市的医院仔细查了一遍,结果肿瘤确实长了,令我们惊讶的是拖了半年,妈妈的检查结果竟然是二期,并非晚期。也就是说2020年12月底的时候医院诊断晚期是错误的!专家说我妈双肺都有,不能手术,已经是晚期了。出院记录里还清清楚楚写着晚期!!!老天真的是跟我们开了一个大玩笑!!也就是说戴主任当时在我帖子上回复的妈妈有可能是原位癌早期,有手术的希望是真的!!是真的呀!!我真的是懊悔莫及!!痛恨自己怎么那么愚钝!为什么不相信戴主任,把妈妈拖成了二期!
在第二城市的大医院我妈做了所有检查,又再次穿刺,确诊,基因检测。戴主任焦急万分,说我们为什么还要让病人遭受穿刺之苦?很明显地能看出来结果。可是我们不懂啊主任,对于大夫要求检查的所有项目,我们只能听之任之。检查完了,我妈妈是二期,双肺都有肿瘤,左肺2.0厘米大小,右肺最大的时候长到接近5厘米了。并且右边没有可以吃的靶向药!因为两边都有,右边长得位置又不好,长在气管边上了。他们也没有办法手术,劝我们出院了!也就是让我们认命了!这怎么可以呀?不能就这么认命,我妈妈才59岁!受了一辈子苦,遭了一辈子罪。我不甘心,又回到贴吧,想求戴主任,无论如何都要求得戴主任帮妈妈治疗!现在唯一可以救妈妈的只有戴主任了!
找到我当初发起的帖子,在回复里恳请主任原谅我们的无知和不以为然,求戴主任救救我妈妈。没想到,戴主任很快回复我们,什么怪罪的话语也没有,看完片子马上给我们加号,叫我们去重庆面诊。从2021年6月开始在戴主任和李满元主治大夫的诊治下,经过四次化疗加免疫治疗后,右肺肿瘤从最初的5.2厘米小到0.4厘米了,左肺还是2.0厘米还有一点点长。本来2021年11月份去准备右肺手术。后来戴主任说左边比较危险,先做左边的。于是妈妈在2021年11月23日把左肺的肿瘤扣掉了。左边后续不需要任何治疗。
妈妈回来后状态特别好,之前憋气,咳嗽,唱不了歌跳不了舞,经过1个月的恢复什么都可以做了!我们真的很开心!距离第一次手术已经过了三个半月,年后李满元大夫又关切的发来消息询问我妈妈近况,得知妈妈恢复得很好,李大夫说建议我们及早把右肺的肿瘤也做掉。我们二话没说,立刻飞往重庆。各种检查后,就在今天下午我妈妈成功手术。巨大肿瘤长在气管边上,又受炎症长期侵袭,手术难度可想而知,但是戴主任都克服了。术前各种研究,既保住了妈妈右肺中叶,又成功切除了下叶。 感恩戴主任,我们一家人的救命恩人。
第一张是妈妈第一次手术的照片,第二张是二次手术刚出重症监护室的照片,神采依然!她现在逢人就说她遇到贵人了,她能活着就这个奇迹!!是戴主任救了她一命!
因为我们走了很多弯路,被很多医院拒之门外,都告诉我们手术不了。
别的医院不接的病人,是戴主任接纳了我们,
别的医院不敢做的手术,是戴主任顶着巨大的风险和压力帮助了我们!历经一年,终于在今天二次手术成功了!戴主任辛苦了!
我妈左右都有肿瘤,特别右肺肿瘤的位置长的不好,又长到5厘米那么大,中叶下叶都有,若不是戴主任顶着巨大的压力帮我妈妈一而再的手术。怎么会有我们的今天。是戴主任的无私大爱给了我妈妈新的生命!
现在彻底解决了!右肺下叶切除,中叶保留了!为了不影响妈妈日后生活,戴主任费尽心思!我妈妈终于和肿瘤说再见了!
感恩戴主任,还有李满元大夫,还有戴主任团队的医护人员,你们是最棒的,是无私无畏的医护人员,是一支超有爱的团队!感恩你们的付出,才有我们家的今天。
我们家的天不会再崩塌了,虽然爸爸不在了,但是弟弟长大了。从妈妈生病,我就在坐月子,现在又照顾小孩,能帮上妈妈的很少。是弟弟全程陪同,生活上照顾,医院里陪护,手术室外一个人等待!也感恩我有一个好弟弟!妈妈好了,弟弟长大了,弟妹也在今年成功怀孕了!不幸中的万幸,妈妈捡回了一条新的生命,我们以后都会快快乐乐的陪在妈妈身边,珍惜拥有的每一天!生命真的很可贵!
感恩遇到这个贴吧,感恩戴主任!祝福戴主任身体安康,喜乐平安!又附上早上妈妈二次手术后的照片,看起来状态还是不错,妈妈加油。


我的回复:
前后历经一年,双侧大包块,虽然艰难,但成功手术就是硬道理。结节虽大,但周围有磨玻璃影,病理有贴壁成分,估计预后还不错。加油!

