近期,龙华区中心医院收治了一名特殊患者——水电解质、酸碱平衡紊乱患者。
近期,杨先生因突发晕厥、抽搐被救护车送来我院就诊。医生询问其病史发现杨先生近一年来反复出现腹胀现象,以上腹部为主,进食后加重,呕吐愈发频繁,且呕吐物以宿食为主。
入院后查血钾低至2.1 mmol/L,合并严重代谢性碱中毒和肾功能不全。此时,患者血压偏低,考虑到患者生命体征不稳定,水电解质及酸碱平衡紊乱,合并肾功能不全。因杨先生的病情危重、复杂,随后立即转ICU治疗。
患者经ICU予床边透析,补钾等治疗后,生命体征逐渐稳定,未再发生抽搐,血钾有所上升,后收治入龙华区中心医院胃肠肝胆外科。鉴于患者病情特殊,科室组织专家对患者的病情进行研究讨论,制定科学的检查及治疗方案。

对患者的病情进行病历讨论
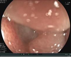
经胃镜检查,其结果发现十二指肠球部溃疡疤痕狭窄,胃镜不能通过十二指肠球部。患者病因找到为十二指肠溃疡疤痕狭窄导致的梗阻。大量胃液丢失可导致血液中氢离子(H+)水平降低,导致代谢性碱中毒,身体为了纠正碱中毒,会把血液中的钾离子泵入细胞,把细胞内的H+交换出来,造成碱中毒——低钾这一恶性循环;同时因大量消化液丢失导致血容量不足,进而导致肾功能不全等渗性脱水、低钾、代谢性碱中毒这一系列的临床表现。

胃镜检查提示十二指肠肠腔狭窄,胃镜不能通过

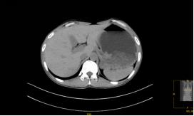
CT检查提示胃腔内大量胃内容物残留,提示胃潴留
确认病情后,由罗育其主任对其进行手术。术前给予患者全肠外营养支持,每天静脉补钾8克以上。一周后患者低钾终于得到纠正,随后行腹腔镜下胃大部分切除。因患者比较年轻,为减少胆汁反流导致生活质量降低,对患者进行Roux-en-Y吻合重建消化道,所有操作均在腔镜下完成,除脐下切口为2cm外(取出标本用),剩余3个操作切口均不超过1cm。

手术中

手术切除的胃标本,占全胃3/4的远端胃
经过近2.5小时,顺利地完成了手术。术后第一天进食流质食物,第二天进食半流食物,至第四天可以进行正常饮食。术后第三天以后未再进行静脉补钾,患者血钾一直维持在正常水平,代谢性碱中毒也得到彻底纠正,于术后一周康复出院。

患者腹部切口情况
据罗育其主任介绍,随着抗溃疡药物的进步,因胃十二指肠溃疡导致的上消化道梗阻已很少见,但临床上仍有发生,当患者频繁出现腹胀、呕吐合并水电解质、酸碱平衡紊乱时,需考虑溃疡病导致的上消化道梗阻。
近一个多月来,龙华区中心医院胃肠肝胆外科完成腹腔镜胃结直肠手术10余例,大部分为胃肠道肿瘤,均取得良好治疗效果,得到了患者的肯定。