【双语病例】Choroid plexus xanthogranuloma脉络丛黄色肉芽肿
来自:双语学影像 ;本期病例选自AuntMinnie.com
Our appreciation is extended to Dr. Ameya Nayate, University of Pennsylvania Department of Radiology, for contributing this case
History and Radiographs
History
A 42-year-old man with dizziness
42岁男性,头晕。
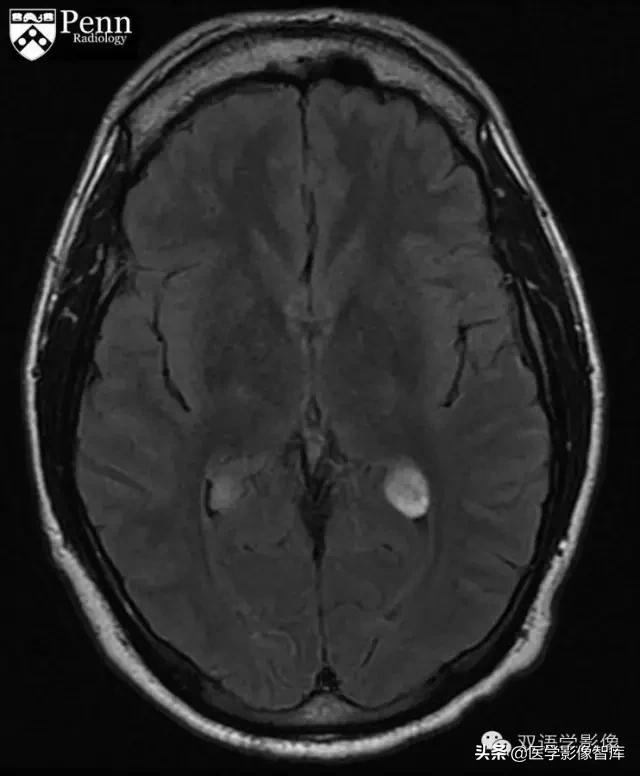
Brain fluid-attenuated inversion-recovery (FLAIR) MR images are shown below.


1.Where is the abnormality?
Third ventricle 第三脑室
Left frontal lobe 左侧额叶
Atria of the lateral ventricle 侧脑室腔
Calvarium 颅顶
2.There is hydrocephalus (脑积水) .
True
False

Additional Images
Brain MR images without and with IV contrast are shown below.
T1WI平扫、增强:

3.There is enhancement associated with the masses.
肿块有强化
True
False

DWI and ADC images
Diffusion-weighted image (DWI) and apparent diffusion coefficient (ADC) image are shown below.

4.These masses demonstrate mild restricted diffusion (弥散受限)
True
False
5.What is the likely diagnosis?
Choroid plexus xanthogranuloma (cysts) 脉络丛黄色肉芽肿
Neurocysticercosis 脑囊虫病
Choroid plexus papilloma 脉络丛乳头状瘤
Intraventricular meningioma 脑室内脑膜瘤


选择题答案:
- Atria of the lateral ventricle
- False
- True
- True
- Choroid plexus xanthogranuloma (cysts)

Findings
Brain MRI shows cysts in the choroid plexi in the bilateral atria of the lateral ventricles.脑部MRI示双侧侧脑室腔内脉络丛内囊性病变。The cysts demonstrate mild high signal on FLAIR, restricted diffusion, and mild peripheral and central enhancement.FLAIR序列呈略高信号,DWI示弥散受限、呈高信号。增强扫描病灶周边和内部轻度强化。 There is no hydrocephalus.患者无脑积水表现。
Diagnosis
Choroid plexus xanthogranuloma
脉络丛黄色肉芽肿

Key Points
Choroid plexus xanthogranulomas are cysts that usually range in size from 2 mm to 8 mm and rarely are larger than 2 cm. 脉络丛黄色肉芽肿是大小约2-8mm的囊性病变,很少超过2cm。They are usually bilateral and multiple.通常为多发、双侧对称性发病。On CT, the cysts are isodense or slightly hyperdense to cerebral spinal fluid. Irregular and peripheral calcium in these cysts is common in adults.CT上,囊肿与脑脊液相比呈等或略高密度,成年患者的病灶周边可见钙化。 On MRI, 60% to 80% show restricted diffusion; usually iso- or hypointense but can be hyperintense on FLAIR; and enhancement (ring, nodular, solid) varies from none to strong.MRI上,约60%-80%的病灶弥散受限、DWI呈高信号。通常病灶呈等或稍低信号,但FLAIR可呈高信号。增强扫描病灶可无强化,也可以呈环形强化、结节状强化、实性部分强化等多种强化方式。
Etiology
In adults: Lipid from desquamating, degenerating choroid epithelium accumulates in choroid plexus. Lipid provokes xanthomatous response.成人:脉络膜上皮退变、碎屑中的脂质成分积聚在脉络丛,进一步诱发脉络丛肉芽肿反应。In fetuses: Can be associated with trisomy 18 and 21 or Aicardi syndrome胎儿:可合并18,21三体综合征或Aicardi综合征。
Differential Diagnosis
Intraventricular meningioma: Not likely given location and lack of homogenous enhancement. 脑室内脑膜瘤: 本例不是脑室内脑膜瘤好发位置,且脑膜瘤强化为均匀强化。 Neurocysticercosis: Presents with cysts but not associated with choroid plexus. 脑囊虫病: 一般表现为囊肿,但与脉络丛无明显相关。 Choroid plexus papilloma: Presents in children younger than the age of 5 as strongly enhancing lobulated intraventricular mass. 脉络丛乳头状瘤: 一般发病于5岁以下儿童,表现为脑室内分叶状肿块,增强扫描明显强化。
Treatment
Usually none. Can shunt for obstructive hydrocephalus.
一般无需治疗。如合并梗阻性脑积水,可以脑脊液分流治疗。