
目前, 心肺联合移植已成为公认治疗终末期心肺疾病的有效方法。心肺联合移植指将供者健康心脏和双侧或单侧肺脏同期植入受者胸腔,取代受者终末期病变的心脏和肺脏。对于小儿心肺联合移植,如何在移植术后进行规范化康复管理呢?今天我们将从康复的角度切入,回顾下面的病例。
患者,女,10岁。主诉因「咽痛半月,咳嗽四天,加重两天」,于2019年3月18日收住我院PICU。
现病史: 患儿半月前受凉后诉咽痛,无咳嗽、咳痰,无发热,尿量及运动量均较前下降(爬2层楼即感觉呼吸困难),就诊当地诊所予消炎药(具体不详)口服治疗后病情好转;4天前患儿无明显诱因出现咳嗽,为单声咳,喉中有痰不易咳出,2天前患儿咳嗽较前加重,夜间居多,无法平躺入睡,伴喘息,面部潮红,发绀情况较前加重,尿量及运动量(静息状态即感觉呼吸困难)较半月前进一步下降,食纳差,无发热,遂就诊我院,门诊拟以「先心病术后,肺炎」收入我院PICU。患儿自起病以来精神一般,食纳差,小便量少,大便大致正常,体重无明显变化。
既往史: 既往体质差,反复感冒,2月大发现先天性心脏病(单心房-单心室)。
第一次于2010年3月31日因「先天性心脏病」在我院心血管外科行双侧Glenn分流术;
第二次于2013年6月21日在我院心血管外科行全腔-肺动脉连接术,后规律口服呋塞米片、螺内酯,每年至我院小儿心血管外科门诊复诊,予地高辛强心治疗(每次服用1月余后家属自行停药)。
第三次因「咳嗽10天,发现少尿、水肿7天」于2013年12月23日入院,诊断为「1.急性支气管肺炎2.心力衰竭 3.先天性心脏病术后」。
予拉氧头孢、单磷酸阿糖腺苷抗感染,二联雾化及氨溴索止咳化痰,呋塞米、氢氯噻嗪及螺内酯利尿减轻心脏负荷,地高辛酏剂强心,多巴胺、多巴酚丁胺改善循环,前列地尔、贝前列素钠降肺动脉压力,复合辅酶护心,华法林由1/4片、Qd,改为1/5片、Qd、口服抗凝,于12月27日病情好转出院。
2018年下半年患儿无明显诱因开始出现嘴唇、甲床发绀,偶伴气促、喘息,运动量较前下降,家属未予重视。否认肝炎、结核病史及接触史,否认外伤史,否认食物、药物过敏史,余个人史、家族史无特殊。
体格检查: 体温:36.3℃,脉搏:98次/分,呼吸:28次/分,血压:104/65mmHg,体重:30kg,发育正常,营养良好,急性面容,神志清楚,精神一般,自动体位,查体合作,面部潮红,前胸可见一12cm×1cm陈旧性手术瘢痕,全身皮肤黏膜未见黄染,全身浅表淋巴结未触及肿大。头颅五官无畸形,双眼睑轻度水肿,眼球活动自如,无外突,结合膜无充血及水肿,巩膜无黄染,角膜透明,双侧瞳孔等大等圆,对光反应灵敏。耳廓无畸形,外耳道无溢脓,乳突无压痛。外鼻无畸形,鼻通气良好,无鼻翼扇动。口唇发绀,口腔粘膜无出血点,咽部有充血,扁桃体无肿大,无脓性分泌物。颈软无抵抗,有颈静脉怒张,甲状腺无肿大,气管居中。胸廓无畸形,双侧呼吸运动度对称,语颤无增强,双肺叩诊清音,双肺呼吸音粗,可闻及满肺干啰音,未闻及胸膜摩擦音。心前区无隆起,心尖搏动点位于第5肋间左锁骨中线内0.5cm,未触及震颤,心界无扩大,心率98次/分,律齐,各瓣膜听诊区未闻及病理性杂音。腹部稍膨隆,未见腹壁静脉曲张,无胃肠型及蠕动波,全腹无压痛及反跳痛,未触及腹部包块,肝肋下4cm,质硬,脾肋缘下未触及肝及双肾区无叩击痛,腹部移动性浊音阴性,肠鸣音正常。肛门、外生殖器未见异常。脊柱、四肢无畸形,活动自如,关节无红肿,有杵状指(趾),双下肢无水肿。四肢肌力、肌张力正常。膝反射、腹壁反射正常存在,克氏征阴性,布氏征阴性,巴氏征阴性。
辅助检查:(2018-3-28,我院):心脏彩超:CHD:1.符合全腔静脉-肺动脉连接术后心脏改变;2.单心室,其主腔心功能减低,EF:35%;3.单心房;4.房室瓣返流(中)。
入院诊断:
1、急性支气管肺炎
左主支气管狭窄
II型呼吸衰竭
2、心功能衰竭(终末期)
3、先天性心脏病
单心房,单心室(右室型),肺动脉狭窄
双侧Glenn分流术后
全腔-肺动脉连接术后
患者自入院以来,病情反复,辗转于儿科普通病房与ICU之间,与家属积极沟通后,为求进一步诊治于4月10日转入我院心血管外科,于4月11日系统评估后,予以患者行心肺联合移植手术治疗。
患者心肺移植术后因无尿,4-13至4-28期间先后予CRRT、腹膜透析。2019年4月14日凌晨查看患者,发现血压从1:00开始进行性下降,收缩压波动在40-50mmHg,静脉压35mmHg,心率维持在110-130次/分,氧合较差,SpO2:80-90%,遂紧急于床旁行右侧颈动静脉插管ECMO置入维持循环:收缩压维持在60-65mmHg,SpO2:90%,CVP:22mmHg。4月18日凌晨01:30预防性更换ECMO膜肺及管道。患者于4月19日复查床旁胸片提示肺部情况较前明显好转,ECMO转速2170,流量0.75,经多位老师综合评估患者目前情况后,逐步减流量,患儿循环平稳,氧合佳,达撤机标准。遂于4月20日凌晨00:15夹闭动、静脉管道,彻底停机,依次拔除动、静脉插管,动脉切口取6/0prolene线缝合,静脉切口直接予荷包线打结,彻底止血,prolene线间断缝合皮肤切口,撤机顺利。
4月20日经全院MDT大讨论后,予以一阶段(ICU)康复评估及治疗
主观资料: 目前患者主观评价虽然意识清醒,RASS评分0分,CAM-ICU阴性,S5Q评分5分,配合程度可,但身体功能状态极差,CPAx评分仅为6分,MRC-SS评分26分:左侧3-3-2-2-2-1,右侧3-3-2-2-2-1,发现患者四肢肌力严重下降,且存在四肢肌力不对等的情况。MBI评分0分,患者目前生活完全依赖。BBS评分0-0-0分。吞咽功能筛查虽然RSST30秒内能完成4次,但MWST为4级,仍考虑存在吞咽功能障碍。
客观资料: 肺部体查(视诊:开胸术后心纵、双侧胸腔闭式引流管,辅助呼吸肌用力明显;触诊:双侧呼吸动度减弱;叩诊:浊音;听诊:双肺呼吸音减弱,可闻及满肺干啰音),呼吸机参数(模式:SIMV+PRVC;VT:170ml;PEEP:5cmH2O;RR:20次/分),生命体征(T:37.1℃;P:110次/分;R:15次/分;BP:127/76mmHg),实验室检查(WBC:13.48×10^9/L;N%:87.1%;L%:7.5%;HGB:111g/L;PLT:17×10^9/L;CRP:8.44mg/l;PCT:9.8ng/ml;TnI:<0.05ng/ml;BNP:866pg/ml;Mb:>500μg/l;CKMB:3.8u/l;FDP:39.49μg/ml;D-二聚体:>5000μg/ml;ALT:89.7u/l;AST:153.4u/l;ALB:34.4g/l;BUN:10.91pg/ml),血气分析(PH:7.403;PCO2:61.9mmHg;PO2:97.1mmHg;HCO3-:35mmol/l;SaO2:97.2%;FiO2:50%;P/F:194.2mmHg)。辅助检查(2019年4月20日床旁胸片:心肺联合移植术后,双肺渗出灶、双侧胸腔积液大致同前;心脏彩超:IVS 6.5mm,LVMi 44.3g/m^2,EF值75%,左心功能大致正常,右室稍显圆隆,收缩、舒张功基本正常,左室壁内膜增厚,约1.5mm;下肢血管彩超:双下肢深静脉血流通畅)。

图:2019.4.20床旁胸片
问题分析: 根据ICU患者ABCDEF集束化管理原则和ICF理论框架分析,患者目前主要问题:1.肺部炎症;2.重大手术后严重虚弱乏力;3.胸廓顺应性降低;4.无咳嗽反射;5.肺脏、膈肌去神经化;6.各种管路众多(被动运动受限、自身活动减少);7.呼吸模式异常;8.情绪低落。
功能障碍:1.气道廓清障碍;2.气流受限;3.肺容量降低;4.呼吸肌功能障碍;5.心肺运动耐量下降;6.吞咽功能障碍;7.创伤后应激障碍。
临床分析:1.炎症导致痰多黏稠不易排出,同时肺脏去神经化,无咳嗽反射,气道分泌物引流不畅;2.膈肌去神经化,呼吸模式异常;3.氧转运及其储备能力严重下降;4.患儿目前心肺移植术后,且神经系统保护欠佳,早期呼吸康复介入如何制定处方及干预措施?
治疗重点:1.如何进行有效气道廓清?2.如何重建呼吸模式?3.避免误吸等加重诱因;4.尽快脱机拔管;5.如何进行心理治疗干预?
康复目标:短期目标(2W):1.控制感染,辅助排痰;2.强化辅助呼吸肌功能;3.提高氧转运及其储备能力;4.纠正异常呼吸模式;5.加强营养支持,改善吞咽功能,预防误吸;6.积极心理干预,减少谵妄发生率和持续时间;7.提高四肢肌力、肌耐力,维持正常ROM;8.提高BADL。目前重点:加强气道廓清治疗,早期活动,早日脱机拔管,加强人文关怀,避免患者消极治疗。
康复实施计划(SMART方案): 1.体位管理(临床护理):HOB15°~30°+HOH15°(避免误吸,降低颅内压),保持头部中立位,腘窝下垫高(预防VTE,减小腹内压),翻身 Q2h;2.辅助排痰:手法(被动AD+前胸按压辅助咳嗽+胸部叩拍)+纤支镜;3.呼吸模式:BC+辅助呼吸肌训练+NPF;4.运动训练:各关节被动活动(10次/关节 2组),头部控制(各范围5次 2组),肩颈放松训练,踝泵运动(10次/组 2组),淋巴回流推拿手法;5.营养管理(营养科 MDT):加强营养支持,加用吗叮啉5mg Tid、舒丽启能100mg Tid、培菲康20mg Tid调理胃肠道功能,留置十二指肠管;6.心理治疗(精神科):鼓励并指导患者进行康复,提高自我效能,家庭参与、每日唤醒改善昼夜睡眠。
ICU部分康复剪影:

图:(左)家庭参与;(右)床上靠背坐位

图:(左)呼吸控制;(右)图:腹肌训练

图:依次为床上坐位,椅上坐位,上肢力量训练,下肢踏车
临床治疗: 因患者心肺联合移植术后,需要积极抗排异治疗,导致患者自身免疫状态极差,治疗期间反复多次感染(G+球菌,白色念珠菌,洋葱伯克霍尔德菌,皮氏罗尔斯顿菌,CMV等),且细菌、真菌感染均为泛耐药,使得抗感染、抗病毒、抗排异等治疗难以把握权衡;4月14日凌晨出现血压下降,立即床旁颈动静脉穿刺ECMO置入,血压维持在70mmHg以上,4月20日病情好转,予以撤除V-A ECMO,患者4-13至4-28因无尿持续CRRT、间断腹膜透析;患者系第3次手术,术中未探及双侧膈神经,其损伤可能性极大,加之移植肺完全去神经化,患儿无咳嗽反射,无法自主排痰,完全依靠床旁纤支镜抽痰、灌洗(≥Bid);积极予以护心、化痰、利尿、护肝、护胃、护肾、调节肠道菌群、维持电解质平衡及营养等对症治疗。

图:临床抗生素治疗方案
康复护理: 针对患者目前心理状态,在患者情况稍好转时,采用监护室日记及心理专科护士全程陪伴。

图:监护室日记

图:外出参加「童行动 同行动」六一儿童节活动
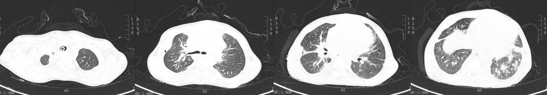
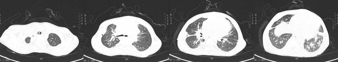
经过临床-康复-护理积极地综合治疗与管理,影像学对比发现:双肺弥漫性渗出灶较前明显吸收,双侧斜裂积液及心包腔内积液稍减少。

图:2019年5月5日CT

图:2019年6月10日CT
康复结果: 从4月20日介入康复治疗伊始,至6月10日转入普通病房,经综合评估及团队协同治疗下,患者整体状态明显好转:肌力恢复正常,MRC-SS评分60分,身体整体功能得到提高,CPAx评分43分,DEMMI评分62分,可下床步行及活动,6MWD已可达54m(受限于患者体力所以未能走完全程),日常生活能力提高,MBI评分47分,SCSS评分3级,可配合呵气负压吸痰,心肺耐力及全身耐力得以改善。
4月24日脱离有创呼吸机,改HFNC,6月10日停病危,转入普通病房继续治疗,这标志着呼吸重症康复取得阶段性胜利!
患者6月10日安稳转入普通病房,予以二阶段(普通病房)康复评估及治疗
主观资料: 患者目前严重的焦虑/抑郁状态(SDS评分72分,SAS评分62分,自身压力大,睡眠障碍),可经口进食(WST评分I级),可配合呵气负压吸痰为白黏痰,痰量约46ml/24h(SCSS评分3级),活动能力较差(6MWD 54m)。
客观资料: 肺部体查(视诊:开胸术后、气管切开术后改变;触诊:双侧呼吸动度对称;叩诊:清音;听诊:双肺呼吸音清,未闻及干湿性啰音),氧疗参数(模式:HFNC;氧流量:30L/min;FiO2:25%;温度:34℃),生命体征(T:36.3℃;P:120次/分;R:18次/分;BP:92/57mmHg),实验室检查(WBC:5.39×10^9/L;N%:83.2%;L%:9.8%;HGB:97g/L;PLT:213×10^9/L;CRP:6.95mg/l;PCT:0.25ng/ml;TnI:<0.05ng/ml;BNP:490pg/ml;Mb:119μg/l;CKMB:16.1u/l;D-二聚体:>5000μg/ml;ALT:20.3u/l;AST:26.6u/l;ALB:41.4g/l;BUN:3.82mmol/l;Cr:23.9μmol/l),血气分析(PH:7.405;PCO2:39.6mmHg;PO2:96.8mmHg;HCO3-:25mmol/l;SaO2:97.2%;FiO2:25%;P/F:387.2mmHg)。辅助检查(2019年6月10日CT:双肺弥漫性渗出灶较前明显减少,双侧斜裂积液及心包腔内积液稍减少;下肢血管彩超:双下肢深静脉血流通畅)。
问题分析: 主要问题:1.焦虑/抑郁状态;2.自主咳嗽能力欠佳;3.活动能力受限。功能障碍:1.气道廓清障碍;2.运动耐量降低;3.心理障碍。治疗重点:提高四肢及呼吸肌肉功能、IADL能力及有氧运动能力。
康复目标:短期目标(2W):1.加强自我管理;2.改善精神症状;3.加强营养支持;4.减少药物使用。长期目标(8W):1.恢复或改善心肺功能;2.提高生活质量;3.回归家庭,重返社会、学校。

图:「不一样」的七夕节
康复实施计划(SMART方案): 1.临床护理:监督并指导每日闲暇时间康复任务;2.气道廓清:ACBT+AD+HFCWO+负压、纤支镜吸痰;3.呼吸训练:呼吸操(改良八段锦)+BC+辅助呼吸肌训练;4.运动训练:平地步行(6min),上下楼梯(15阶/分,一层),各关节主动活动(15次/关节,2组),弹力带训练(15次/关节,2组);5.作业训练(康复科MDT):日常生活能力训练如穿衣、床椅转移、如厕等指导;6.心理康复(家属-医护-社会):鼓励并指导患者进行康复治疗,提高自我效能,减轻家庭负担,寻求社会救助。
普通病房部分康复剪影:

图(从左至右):AD、改良八段锦、上下楼梯

图:心理干预
临床治疗: 患者自6月10日转入普通病房,基本情况稳定,患者系心肺联合移植术后,继续抗排异治疗;7月12日起,患儿述头痛伴呕吐,腰穿CSF检查两次颅压均高,为400mmH2O(亚急性-慢性颅高压),8月19日CSF测序:曲霉菌,中枢神经系统曲霉菌感染诊断明确;7月16日行头部+鼻窦平扫加三维重建示:双侧上颌窦炎症,大脑镰,后纵裂及左小脑幕钙化灶;8月8日行头部平扫+增强+MRA+MRV示:头颅MRA、MRV未见明显异常,左侧上颌窦黏膜囊肿;8月23日鼻窦部增强CT示:右侧上颌窦及双侧筛窦炎症较前进展,新发右侧蝶窦炎症,左侧上颌窦粘膜下囊肿较前稍减小,左侧小脑幕钙化;患者经系统呼吸康复治疗后仍咳痰欠佳,仍需间断床旁纤支镜抽痰。

图:临床抗生素治疗方案
康复护理: 针对患儿目前心理状态,为患儿成立「病房小教室」,并满足患儿愿望——同明星「村长」李锐合影。

图:成立「病房小教室」

图:同明星「村长」李锐合影

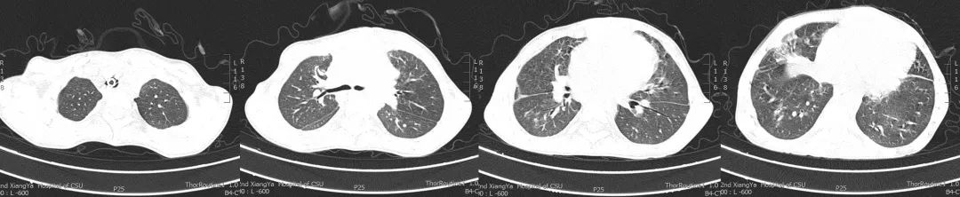
经过临床-康复-护理积极地综合治疗与管理,影像学对比发现:各叶段支气管通畅,双侧胸腔积液及心包腔积液较前减少。

图:2019年6月10日CT

图:2019年7月24日CT
康复结果: 从6月10日转入普通病房介入康复治疗伊始,至12月24日好转出院,经综合评估及团队协同治疗下,患者整体功能状态得以改善:无需吸氧便能维持日常生活所需,精神(SDS评分36分,SAS评分32分)、食欲俱佳,6MWD可达450m,无辅助情况下可上下4层楼梯,生活完全自理(MBI评分100分)。
8月4日拔除气管导管,12月24日系统评估后出院回归家庭,标志着呼吸康复取得良好成效!
患者12月24日病情好转出院,回归家庭,重返社会、学校,康复应成为患者优化健康行为的习惯,遂予以三阶段(居家)康复治疗
居家康复方案: 1.步行:30~90min/天,3~5天/周,≥3000~4000步/天;2.上下楼梯:30阶/次,3~5天/周,≥2~4层/天;3.呼吸操(改良八段锦):2~3次/天,3~5天/周,≥10min/次;4.训练强度:Borg 3~4分,RPE10~13分;5.注意防寒保暖,出汗及时洗漱并更换衣物;6.积极接种流感疫苗,防患于未然。

图:居家状态
病例总结
康复难点、结局与心得体会
难点:1、患者心肺移植术后,且膈神经损伤,加之移植肺完全去神经化,患儿无咳嗽反射,无法自主排痰;2、患者基础营养状态极差,又因经历重大手术,营养支持尤为困难;3、患者氧转运及其储备能力严重下降,造成患者易疲劳,运动处方制定难以权衡;4、患者年龄小,心理承受能力极差,易哭闹,如何介入有效心理干预极为困难。
结局:1、氧合改善,可自主咳嗽咳痰;2、心肺储备能力增强,运动能力提高;3、生活质量显著提高,不仅回归家庭、重返学校,还促进了患者长期坚持优化健康的行为;4、精神情绪稳定,坦然接受现实,积极面对社会。
心得体会:特鲁多医生曾经说过:有时去治愈,常常去帮助,总是去安慰。面对年龄如此之小,病情极其危重的小儿患者,我们应保持充足的耐心,饱满的爱心,寓教于乐,寓情于景,一切以病人为中心,不忘「健康所系,性命相托」之初衷,多专业、多学科合作与沟通,如此方能行则将至,未来可期。
参考文献:
[1]Ko, YoungJun, Hyun Y , et al. Feasibility and Safety of Early Physical Therapy and Active Mobilization for Patients on Extracorporeal Membrane Oxygenation[J]. Asaio Journal, 2015, 61(5):564.
[2]Abrams D , Javidfar J , Farrand E , et al. Early mobilization of patients receiving extracorporeal membrane oxygenation: a retrospective cohort study[J]. Critical Care, 2014, 18(1):R38.
[3]Jolley S E , Bunnell A E , Hough C L . ICU-Acquired Weakness.[J]. Chest, 2016, 150(5):1129-1140.
[4]Gosselink R , Bott J , Johnson M , et al. Physiotherapy for adult patients with critical illness: recommendations of the European Respiratory Society and European Society of Intensive Care Medicine Task Force on Physiotherapy for Critically Ill Patients[J]. Intensive Care Medicine, 2008, 34(7):1188-1199.
[5]中国康复医学会重症康复专业委员会呼吸重症康复学组, et al. "中国呼吸重症康复治疗技术专家共识." 中国老年保健医学 5(2018):3-11.
[6]Donna Frownfelter,Elizabeth著.喻鹏铭,郭琪等译.心血管系统与呼吸系统物理治疗[M].北京科学技术出版社,2017.
[7]普赖尔, J. A, 普拉萨德, et al.喻鹏铭,车国卫等译.成人和儿童呼吸与心脏问题的物理治疗: 第4版[M]. 北京大学医学出版社, 2011.
[8]中国医师协会体外生命支持专业委员会. 成人体外膜氧合循环辅助专家共识[J]. 中华医学杂志, 2018(1):886-894.
[9]Eden A , Purkiss C , Cork G , et al. In-patient physiotherapy for adults on veno-venous extracorporeal membrane oxygenation – United Kingdom ECMO Physiotherapy Network: A consensus agreement for best practice[J]. Journal of the Intensive Care Society, 2017, 18(3):212.
[10]傅惟定, 张蔚, 王伟,等. 小儿体外膜肺氧合支持治疗8例[J]. 中华胸心血管外科杂志, 2011, 27(1):14-16.
[11]段雷雷,王旭,李守军,闫军,杨菊先,鲁中原,郑林,LI Xia.小儿复杂先天性心脏病术后体外膜肺氧合辅助疗效及其影响因素分析[J].中国分子心脏病学杂志,2016,16(03):1689-1691.


病例来源:中国康复医学会呼吸康复专业委员会第四届学术年会——病例PK赛决赛6强

本文完
未经许可,请勿转载
*今条头日**排版:大奔