
2岁儿童,顶骨处有一无痛性肿块,神经系统无明显异常,究竟为何?又该如何诊断治疗?一起学习一下最新一期(2月13日)美国神经放射学杂志(AJNR)的临床推理吧!
医脉通编译整理,未经授权请勿转载。
简要病史
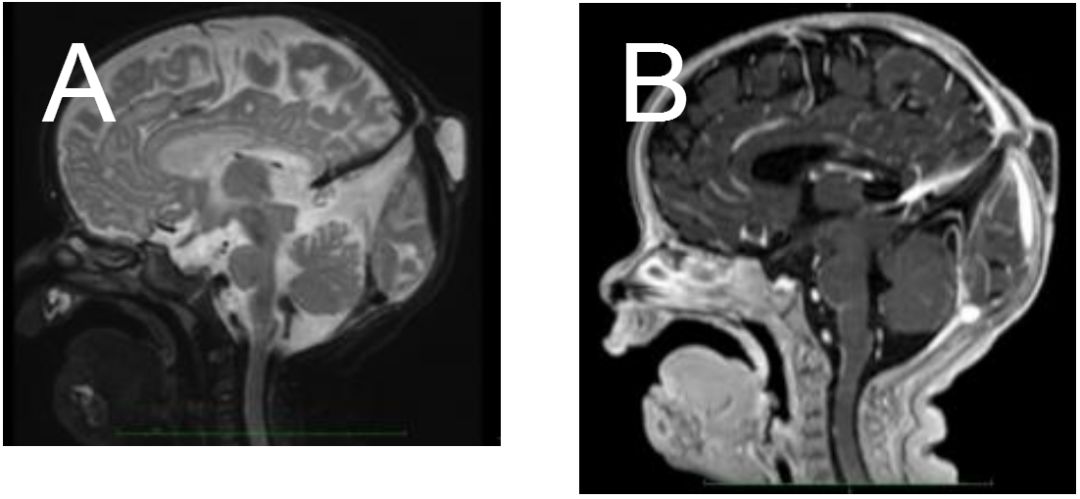
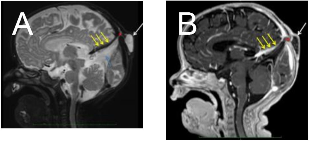
两岁女孩,有一可触及的中线顶骨软组织无痛性肿块。发育正常,神经学检查未见明显异常。影像学如下:

影像学分析

正中矢状面T2 (A)和3D增强T1 (B)提示一颗颅底软组织肿块(白色箭头),并通过边界清楚的骨缺损(星号)伴随脑脊液信号与颅内沟通。下矢状窦持续存在(等同于直穿静脉窦,黄色箭头)、上矢状窦局灶不连续性(星号)。小脑上池突出也可观察到小脑幕高异常嵌入(蓝色箭头)。
诊断
闭锁性顶叶脑膨出(atretic parietal cephaloceles,APCs)。
背景
头颅骨畸形是通过颅骨缺损形成的先天性脑组织疝。闭锁性顶叶脑膨出(APCs)是一种由硬脑膜、纤维组织和发育不良脑组织组成的退化性脑膨出。通常为散发,比不可恢复的颅脑畸形预后更好。
临床表现
➤ 头皮病变,可因哭泣或 Valsalva动作使畸形扩大;
➤ 闭锁性脑膨出是一种综合征,并伴有其他颅内异常,神经发育可能正常或延迟。
主要诊断依据
➤ MRI是诊断本病及其他颅内畸形的最佳影像学检查方法。
➤ 闭锁性脑膨出表现为头皮病变,在头颅顶点伴有骨缺损。大多可观察到下矢状窦持续的垂直胚胎定位。
➤ 其他典型征象:APC上矢状窦局灶不连续,小脑上池和松果体上隐窝突起,幕后上峰和幕切迹呈“陀螺样”。
鉴别诊断
➤ 颅骨膜血窦:颅内外静脉系统的异常互通;增强到与脑静脉结构相同的程度;可能与APC有关;
➤ 皮样囊肿:典型皮样囊肿比闭锁性脑膨出的质地坚硬,皮肤表面发红;皮样囊肿出现的颅骨缺损呈“扇形”;MR提示内部脂肪信号,在加入对比剂后信号没有增强。
治疗
➤ 在没有其他颅内异常的情况下,闭锁性头颅膨出的预后通常是良好的。
➤ 治疗方法是手术切除,并缝合硬脑膜形成的管道。
医脉通编译自:Sapna Rawal, Juan Pablo Cruz. Case of the Week.AJNR.February 13, 2020.