接上篇!


实验室检查 n白细胞 n血沉 n类风湿因子 n血尿酸 n一般无异常发现

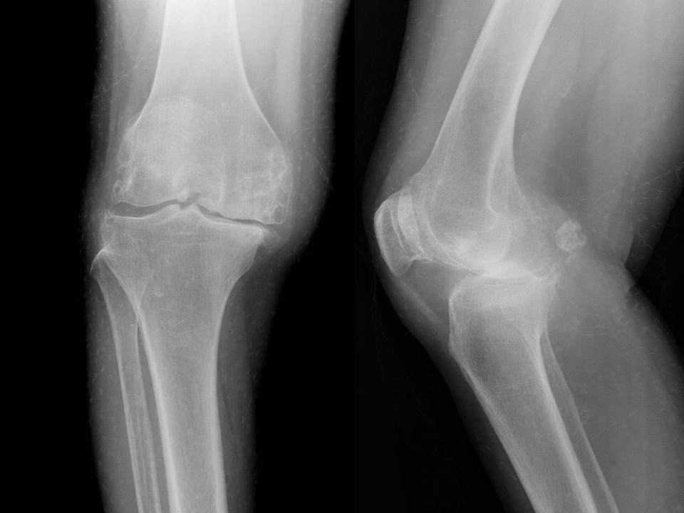
影像学检查 X线 四个方向X线影像 l 早期可无改变 l关节间隙变窄、不均匀、消失(成人<3mm; 老年人<2mm)。 l骨赘形成 l关节内游离体、骨质疏松 l软骨下骨板硬化、囊性变

膝关节退行性变(胫骨平台软骨下钙化)

膝关节退行性变 ( 骨赘形成 )

膝关节退行性变(半月板钙化、膝关节变形)





膝关节骨性关节炎分期(阶段)

接上篇!


实验室检查 n白细胞 n血沉 n类风湿因子 n血尿酸 n一般无异常发现

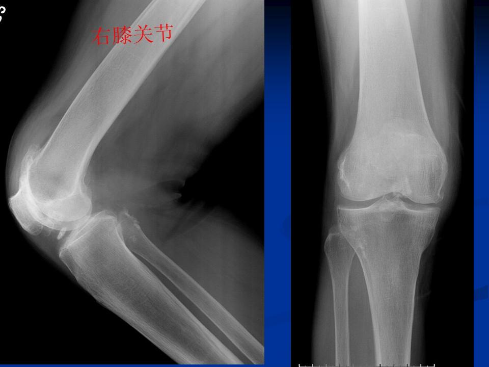
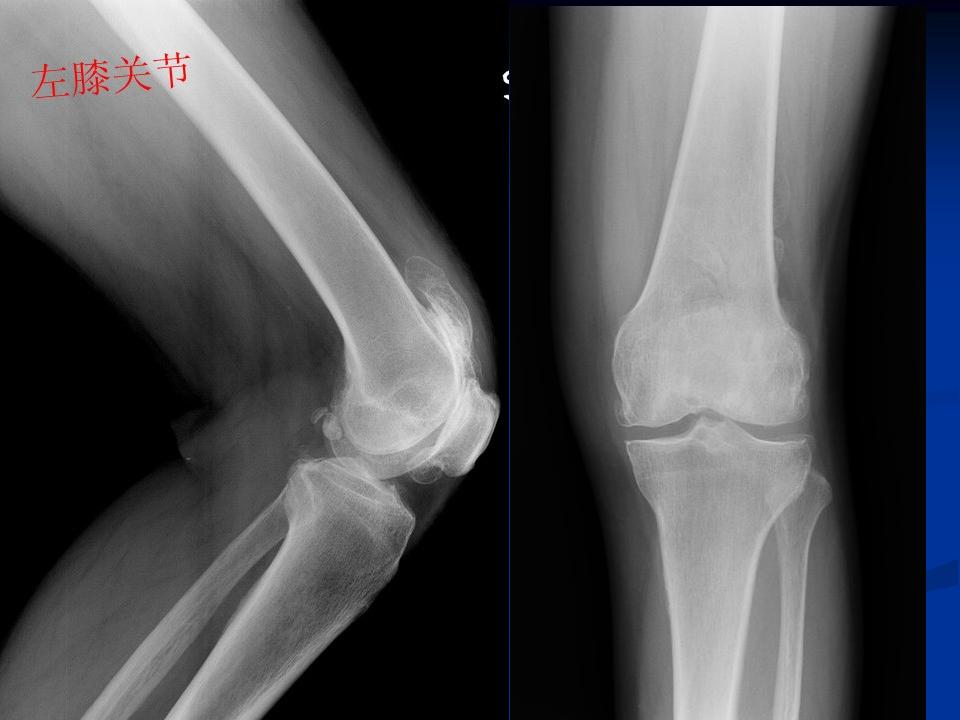
影像学检查 X线 四个方向X线影像 l 早期可无改变 l关节间隙变窄、不均匀、消失(成人<3mm; 老年人<2mm)。 l骨赘形成 l关节内游离体、骨质疏松 l软骨下骨板硬化、囊性变

膝关节退行性变(胫骨平台软骨下钙化)

膝关节退行性变 ( 骨赘形成 )

膝关节退行性变(半月板钙化、膝关节变形)





膝关节骨性关节炎分期(阶段)
