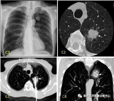
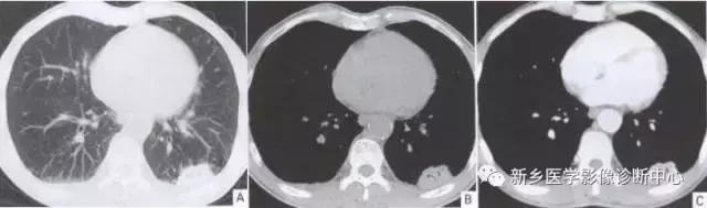
肺癌
多发生于年纪较大50Y以上,多有咳嗽,咯血,胸痛,发热等症状。以上肺多见,中下肺次之。密度均匀或不均匀的结节病灶,分叶,界清,短毛刺,可有空泡征,偏心空洞、兔儿征等,一般无钙化。

结核球
好发于年轻人,早期临床不明显。好发于锁骨下区,一般右侧多于左侧。类圆形结节致密影,边缘清楚,密度均匀或不均,可有钙化,周围常有细斑点及条索影等卫星病灶。


支气管囊肿(单发)
年轻人30Y多发,无明显症状或有咳嗽,发热,胸痛,脓性痰等。以下肺野内带常见。类圆形水样密度影,无钙化,一般在10HU以下,含粘液时CT值增高,可与支气管相通成为含气囊肿。


肺A-V瘘
无症状或有咯血,局部胸壁可闻及血管杂音,好发于肺下叶。圆形或椭圆形肿块或轻度分叶,边缘清楚,密度常混杂,可有点状钙化,增强时可见迂曲血管影,并可显示供血动脉。

包虫囊肿
好发于肺中下野,继发感染时有发热,咳嗽胸痛,常见于牧区。圆形密度增高影,边缘清楚,内为水样密度,“水上浮莲征”为特征表现。

左图:右肺上叶小的破裂包虫囊肿,塌陷的棘球蚴包膜“水上浮莲征”
右图:充满整个右半胸腔巨大包虫囊肿。
错构瘤
好发于40Y,下肺单发,无明显临床症状。圆形或分叶状,界清,一般密度均匀,少数有爆米花样,点状,环状钙化,内可有脂肪密度。

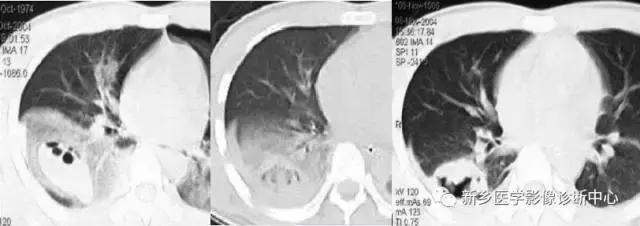
肺内血肿
有外伤史,胸痛,痰中带血或咯血。早期多为大片实变影,边缘模糊,2周后可出现类圆形密度均匀,边界清楚的球形肿块影。
下图为:车祸2小时血肿,治疗1周血肿,及治疗2周后血肿

肺腺瘤
好发于女性,30-50Y左右,右上叶,中叶,左肺舌叶多见,可有阻塞性肺炎或肺不张,反复咯血。类圆形肿块,密度均匀,界清,光滑锐利,无毛刺及钙化,增强常不强化。

肺硬化性血管瘤
边界光滑,显著强化,周围肺野晕征 。

右上肺海绵状血管瘤,平扫点状钙化灶。

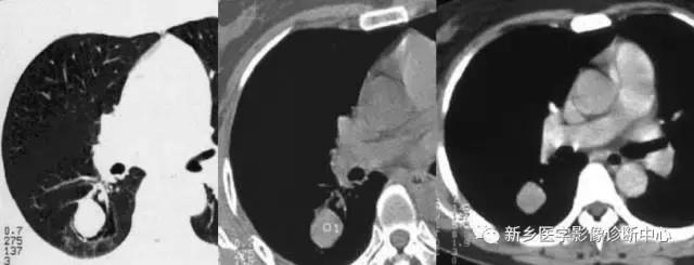
单发肺转移瘤
有原发肿瘤病史,多发于肺下叶。圆形密度增高影,密度常较均匀,边缘清楚,常呈分叶,无毛刺,可见强化。
下为前列腺癌转移:

下为骨肉瘤转移:

炎性假瘤
常有胸痛,咳嗽,发热,咳血。孤立类圆形肿块,密度均匀,边界清楚,少数可有斑点样钙化,抗炎治疗可缩小消失。
桃尖征,平直征:

单发胸膜间皮瘤
常发于胸壁腋缘,单发、多发良性,无症状或局部钝疼。圆形或半球形密度影,基底位于胸膜,与胸壁成钝角,密度均匀。
4个不同的胸膜间皮瘤:

来源:新乡医学影像服务中心
【版权声明】本平台属公益学习平台,转载系出于传递更多学习信息之目的,且已标明作者和出处,如不希望被传播的老师可与我们联系删除