
本文来源:
张雪燕,姚耿圳,郑朝阳,等 .经皮冠状动脉介入术后脑出血三例报道及救治经验、教训[J].实用心脑肺血管病杂志,2019,27(3):111-114.[www.syxnf.net]

编者按
“世有愚者,读方三年,便谓天下无病不可治;及治病三年,乃至天下无方可用”。患者不会“教科书式”生病,且即使是同一种疾病,由于患者具体情况不同,临床处置、治疗、转归及预后也可能不尽相同,因此说“定法不是法,花落在谁家”。
脑出血是经皮冠状动脉介入术(PCI)最为严重而罕见的出血类型,主要与高龄、短暂性脑缺血发作(TIA)/卒中病史、收缩压较高及大量使用抗栓药物等有关。PCI后脑出血的治疗存在一定矛盾,因此目前停用及恢复抗栓药物治疗时机、药物的选择等尚无定论。本文报道了3例PCI后脑出血患者并总结了其救治经验、教训,旨在提高临床医生对PCI后脑出血的认识,并根据患者临床情况灵活决策,以更好地进行个体化诊疗。

● 病例分析
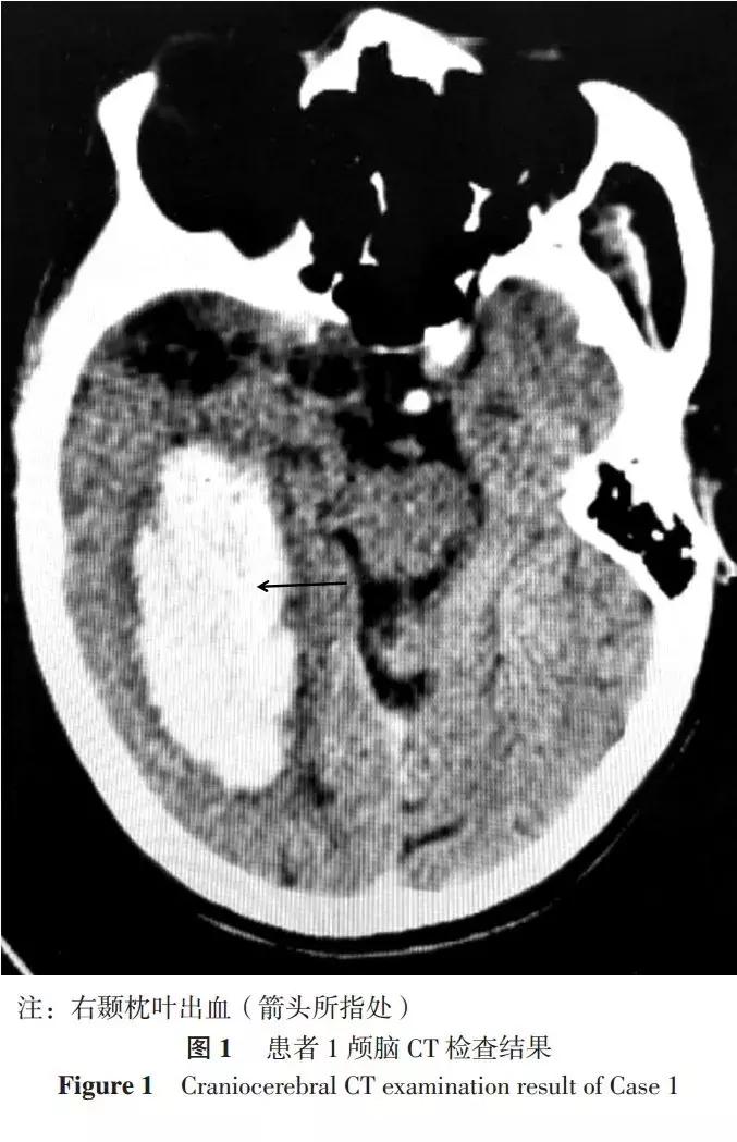
患者1,男,76岁,因“胸闷伴咽痛1周、加重1 d”于2015-02-04入住广东省中医院。患者既往有2型糖尿病、高脂血症病史。入院后测量血压为190/105 mm Hg(1 mm Hg=0.133 kPa),行心电图检查发现窦性心动过缓、下壁ST-T异常、r波递增不良,检测心肌肌钙蛋白T(cTnT)为3.198 μg/L。入院诊断:急性心肌梗死、高血压3级(很高危)、2型糖尿病、高脂血症,遂给予阿司匹林、氯吡格雷、替罗非班抗血小板聚集,依诺肝素抗凝,阿托伐他汀调脂、稳定斑块,泵注硝酸甘油扩张冠状动脉、降压药物治疗等。入院第3天患者行冠状动脉造影发现左主干末端狭窄率约为50%,左前降支近段闭塞,左回旋支开口至远段病变、狭窄率为90%~95%,第一对角支粗大、中段狭窄率约为90%,右冠状动脉中远段病变、远段狭窄率为95%~99%,遂于右冠状动脉从远至近植入2.50 mm×28.00 mm、3.00 mm×18.00 mm支架2枚,PCI*共中**使用普通肝素7 000 U。患者按计划于PCI后第4天行左回旋支PCI:第一对角支植入2.50 mm×18.00 mm支架1枚,左回旋支从远至近植入2.50×28.00 mm、2.50×33.00 mm支架2枚,术*共中**使用普通肝素7 000 U。第2次PCI后第2天患者突发左侧头痛,呈持续性剧烈刺痛,伴恶心呕吐,急查颅脑CT发现右颞枕叶出血(见图1),出血量约为63 ml,立即停用抗血小板聚集、抗凝药物,予以脱水、止血、控制血压、止呕治疗等并急请神经科会诊,但由于患者逐渐昏迷并很快出现脑疝,最终抢救无效死亡。

患者2,女,61岁,因“头晕半年,加重伴胸闷1个月”于2017-02-06入住广东省中医院。患者既往有高血压病史。入院诊断:头晕和眩晕(原因待查)、冠心病(待排除)、高血压3级(很高危),遂给予阿托伐他汀调脂、稳定斑块,阿司匹林抗血小板聚集,琥珀酸美托洛尔、培哚普利叔丁胺片逆转心肌重构,甲磺酸倍他司汀片改善眩晕症状等。患者2017-02-14行冠状动脉造影发现右冠状动脉近中段长狭窄,最大狭窄率约为85%,遂于右冠状动脉中段连续植入3.00 mm×24.00 mm、3.50 mm×28.00 mm支架2枚,PCI*共中**使用普通肝素8 000 U。患者于PCI后第1天凌晨出现呕吐,第2天出现对答欠合理、二便*禁失**,急查颅脑CT发现左侧额叶出血(见图2A),出血量约为63 ml;遂暂停抗栓治疗并给予减轻脑水肿、促进神经功能恢复、保护胃黏膜治疗等。患者PCI后第3天复查颅脑CT发现左侧额叶出血无明显改善,第8天复查颅脑CT发现出血较前吸收,第16天行血栓弹力图(TEG)发现血栓形成的最大幅度(MA)增大,遂加用氯吡格雷抗血小板聚集,后患者病情稳定出院,PCI后3个月复查颅脑CT示左侧额叶出血吸收(见图2B),随访1年恢复良好,未发生缺血或出血事件。

患者3,男,78岁,因“反复胸闷痛10余年,再发、加重11 h”于2018-01-02入住广东省中医院。患者既往有冠心病、高血压病史,入院后行心电图检查发现窦性心律、V2~V5导联ST段压低、不完全性右束支传导阻滞,检测cTnT为0.492 μg/L。入院诊断:急性心肌梗死、冠心病、高血压2级(很高危),遂给予阿司匹林、替格瑞洛抗血小板聚集,依诺肝素抗凝,瑞舒伐他汀调脂、稳定斑块等。后行急诊冠状动脉造影发现左主干中段斑块形成、狭窄率约为70%,前三叉开口狭窄率约为80%,左前降支完全闭塞、近段病变局部可见钙化影,左回旋支开口及近段狭窄率约为60%、中段次全闭塞(狭窄率约为99%)、远段近端狭窄率约为70%,第一对角支弥漫性斑块形成,右冠状动脉多发狭窄、近段狭窄率约为80%、中段狭窄率约为90%,后三叉开口狭窄率约为75%、远端可见至左前降支中段侧支循环形成,遂于左回旋支中段植入2.50 mm×38.00 mm支架1枚,于右冠状动脉中远段狭窄处至开口依次植入2.75 mm×38.00 mm、3.00 mm×38.00 mm支架2枚,PCI*共中**使用普通肝素6 500 U、负荷剂量替罗非班8 ml外周静脉注射后4 ml/h持续泵注至PCI完成。患者于PCI后第1天反复出现胸闷、气促等症状,遂再次行PCI以开通左前降支,植入2.75 mm×38.00 mm、2.75 mm×28.00 mm、3.50 mm×28.00 mm支架3枚,PCI*共中**使用普通肝素10 000 U。第2次PCI后当天19:00患者突发头痛、神昏谵语且呼之不应、恶心呕吐,急查颅脑CT发现右侧小脑半球出血(见图3A),出血量约为15 ml,遂予以白蛋白、呋塞米脱水、利尿、降低颅内压治疗,考虑患者病变部位为左主干等重要血管病变,因此继续予以阿司匹林、氯吡格雷双联抗血小板治疗(DAPT)并动态复查颅脑CT以评估脑出血状况。第2次PCI后第1、2、3、4、7天复查颅脑CT均未见脑出血加重,第15天复查颅脑CT提示出血部分吸收,第3周复查颅脑CT提示右侧小脑半球出血较前吸收(见图3B),后患者病情稳定、出院,随访半年未发生心绞痛、急性心肌梗死、靶病变血运重建及脑出血等不良事件。


病例讨论
PCI后出血的危险因素包括高龄、女性、体质指数过低、既往出血史、慢性肾脏病、糖尿病、贫血及使用抗凝药物、非甾体类抗炎药或类固醇等,而高龄、TIA/卒中病史、收缩压较高或大量使用抗栓药物患者PCI后颅内出血风险较高。本文3例患者均存在不同程度上述危险因素且各具特点,救治效果及临床结局不同,提示PCI围术期管理极具个性化,临床医生应对患者出血和缺血风险进行充分评估以使患者获益最大化。
患者1
为老年(>75岁)男性,既往有糖尿病病史,入院时血压升高,经冠状动脉造影检查发现多支病变,PCI前CRUSADE出血评分为41分、出血风险为11.9%、属出血高危患者;后患者在短时间内行两次PCI,由于二次手术及围术期使用抗栓药物而导致出血风险进一步增高,最终患者因脑出血所致脑疝而死亡。总结该病例的经验教训主要包括以下3个方面:
(1)PCI前应采用CRUSADE出血风险评分评估患者出血风险,以早期识别出血高危患者并控制出血相关因素,保证血压、血糖达标。
(2)对于出血高危患者,应权衡PCI围术期所用药物种类、剂量及疗程,在最大限度降低出血风险的同时避免血栓栓塞事件的发生。
(3)对于非ST段抬高型心肌梗死患者,多种指南推荐采用GRACE评分进行缺血危险分层并分为紧急(<2 h)、早期(<24 h)和延迟(<72 h)3种血运重建策略,但很少提及二次PCI时机;患者1的GRACE评分为136分、属缺血中危患者、院内死亡风险为1%~3%,综合PCI前CRUSADE出血风险评分,属高出血低缺血风险患者,因此两次PCI间隔时间仍有待商榷。
一项针对46 888例患者的大型回顾性研究表明,急性冠脉综合征患者PCI后脑卒中发生率约为0.6%,而行择期PCI者脑卒中发生率约为0.3%,因此尽管择期PCI后脑卒中发生风险较低,但仍不容忽视。
患者2
为老年女性患者,既往有高血压病史,经冠状动脉造影发现右冠状动脉近中段长狭窄,PCI前CRUSADE出血风险评分为34分、出血风险为8.6%、属出血中危患者;患者PCI后第1天即出现呕吐,第2天出现对答欠合理、二便*禁失**等,总结该病例的经验教训主要包括以下两个方面:
(1)PCI后出血风险较高患者出现不易控制的高血压、头晕头痛、恶心呕吐等时需高度重视,应尽快完善颅脑CT检查等以明确是否存在脑出血,避免误诊、误治;
(2)治疗方面,PCI后脑出血是临床上很棘手的问题,不仅要预防支架内血栓形成等缺血事件的发生,还要降低脑缺血-出血转化风险,但目前对于抗血小板治疗恢复时机尚未定论。有研究表明,出血量对患者一般情况及预后影响较小时可于停用抗栓药物7~10 d后恢复使用,亦可根据患者病情调整药物种类、剂量等 ;患者2于脑出血后16 d恢复抗血小板治疗(单用氯吡格雷)并根据TEG检查结果调整用药,体现了临床实践的灵活性、多样性。
患者3
为老年(>75岁)男性,既往有冠心病、高血压病史,PCI前CRUSADE评分为25分、出血风险为5.5%、属出血低危患者,GRACE评分为164分、属缺血高危患者、院内死亡风险>3%,因此患者3属高缺血低出血风险患者。
与患者1相似,患者3亦在短时间内行两次PCI,但不同之处在于患者3急诊PCI后仍有明显胸闷不适,二次手术是不可避免的,且患者3冠状动脉造影检查结果提示复杂冠状动脉病变且病变部位累及左主干等重要血管,因此患者3出现脑出血后在严密监测颅脑CT及病情变化情况下继续予DAPT,这与之后发布的《急性冠状动脉综合征特殊人群抗血小板治疗中国专家建议》中“急性冠脉综合征患者DAPT期间发生颅内出血应停用DAPT”的建议相悖,但这是临床医生反复权衡出血及再发缺血事件风险后的决策,患者最终康复出院,再次证实进行个体化PCI围术期管理的重要性。
需要注意的是,患者3 PCI前CRUSADE评分较低但仍发生出血事件,提示临床不可过分依赖评分系统进行临床决策,而应根据患者情况进行综合判断。
综上所述,PCI后脑出血是临床罕见的急危重症,本文结合3个病例诊治经过展现了临床医生针对不同临床特征患者所采取的不同治疗策略,总结了一些经验、教训,以期对临床有所启迪:在PCI后脑出血治疗方案尚无定论的情况下,临床医生应具体问题具体分析以最大限度地改善患者临床结局及预后。
专家点评
经皮冠状动脉介入术(PCI)后脑出血在临床上较为少见,但后果严重,一方面PCI后患者需强化抗栓治疗,另一方面脑出血患者又是抗栓治疗禁忌,因此其治疗上存在矛盾。目前,PCI后脑出血患者停用抗栓药物时间、恢复使用抗栓药物时机、药物选择等尚无定论,需结合患者个体情况而定。本文总结了3例PCI术后脑出血患者的救治经验、教训,并根据患者不同临床情况灵活决策,有很强的临床参考价值,对以后临床处理类似患者具有借鉴意义。
需要指出的是,《急性冠状动脉综合征特殊人群抗血小板治疗中国专家建议》中建议“急性冠脉综合征患者阿司匹林、氯吡格雷双联抗血小板治疗(DAPT)期间发生颅内出血应停用DAPT,权衡出血和再发缺血事件发生风险并于病情稳定2~8周后适时恢复适度抗栓治疗,可先启用氯吡格雷治疗,随后继续应用DAPT”。在教科书上无相关知识情况下,指南及专家共识具有一定法律效力,临床决策还是应遵循相关指南及专家共识,本文中患者3的处置方案虽先于《急性冠状动脉综合征特殊人群抗血小板治疗中国专家建议》且与专家推荐意见相悖,虽然患者临床结局较好,但脑出血后继续DAPT还是有值得商榷的地方。
点评专家:湖北省宜昌市中心人民医院心血管内科 吴辉
本文编辑:鹿飞飞