泌尿系肿瘤常常会引起肉眼血尿,
当出现无痛的肉眼血尿,
间断发作且出现在老年朋友身上时,
就要务必提防泌尿系统肿瘤,
需要立刻进行泌尿系B超明确诊断
......
晴天霹雳,
以为是血尿原来是肿瘤
正值壮年的患者老王(化名),一个月前小便时出现了肉眼可见的血尿,虽然没有尿频尿急、腰腹疼痛等其他症状,但他隐约有种不祥的预感。
老王首先到当地诊所就诊,诊断为“泌尿系结石”,经过治疗症状有所好转。


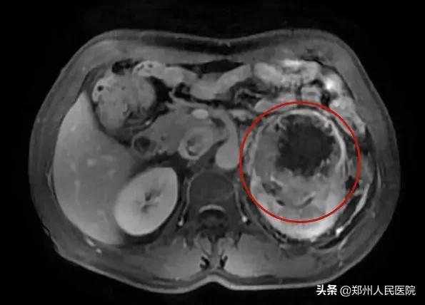
之后老王又因左腰部胀痛不适,在当地医院经过CT检查,发现左肾恶性肿瘤,建议手术治疗。
得知病情后的老王心情落入了谷底,家人通过打听找到我院郑东院区泌尿外科。
入院后,老王迅速完善相关检查,经检查最终被确诊为左肾恶性肿瘤伴下腔静脉癌栓形成。
这个诊断
意味着什么呢

下腔静脉是人体中最大的静脉,上下贯穿人体腹腔,是收集下肢、盆部和腹部血液回流到心脏的主要通道。
癌栓通俗的说,就是肿瘤转移到了下腔静脉内,相当于肿瘤顺着血管长到了下腔静脉!如果癌细胞顺着静脉往心脏跑,就会在静脉里形成肿瘤的团块,那就是癌栓。
一旦患者发现癌栓,往往病情已经进展到了肾癌晚期。
考虑患者正值壮年,身体状况良好,又是家中的顶梁柱,需要尽快进行手术治疗。但这个手术的难度之大可想而知。
多学科协作
手术圆满完成
“癌症可怕,癌栓更可怕!”医疗行业内有这么一种说法。
所以,除了左肾肿瘤的根治性切除外,下腔静脉癌栓的处理是手术的重点难点。
郑州人民医院郑东院区泌尿外科主任刘磊说:"该患者手术难度及风险较大,所以我们请医务部、普外科、输血科、重症医学科等多学科会诊,讨论手术方案,评估手术风险。"


经过多学科会诊,讨论手术可能存在的风险及并发症,制定了周密的手术方案,输血科充分备血,麻醉科术前宣教,万事俱备后,手术在郑东院区泌尿外科主任刘磊、普通外科主任季节,泌尿外科主任医师张楠合作下顺利完成。
