
Just Love your Spine
听说你们看病爱“某度一下”
一直有留意我们微信公众号“广州脊柱之家”的粉丝应该知道,导致腰腿痛有几个常见的情况:肌肉劳损、腰椎间盘源性疼痛、腰椎间盘突出症、腰椎失稳、腰椎管狭窄症、脊柱结核、脊柱脓肿、骨质疏松症、骨质疏松性椎体骨折、肿瘤。
随着医学科普在互联网上的普及,越来越多的小伙伴都偏爱在就诊之前先去“某度一下”。但是某度上的内容质量良莠不齐,怎么才能分辨出对自己有用的正确的内容呢?
针对这样的情况,小编很贴心的总结了几期内容,给大家抽离了几个可以在家先自查的步骤。打头阵的是腰腿痛篇。
第一招:理清腰痛的情况及伴随症状
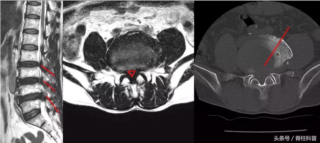
腰腿痛部分相关疾病图示

腰椎管狭窄症

峡部裂

椎管内肿瘤
发现腰痛之后,先“帮”医生问自己9个问题:
1.腰痛是否仅仅是腰痛?
是。(从第2题开始做)
否。(从第8题开始做)
2.是否只是劳累后才腰痛?
是(从第4题开始做)
否(从第3题开始做)
3.是否只是夜间时腰痛?
是(将疼痛的性质告诉医生)
否(考虑为峡部裂)
4.卧床休息、热敷、敷消炎镇痛药膏之后是否好转?
是(考虑为肌肉劳损)
否(做第5题)
5.是否是老年人(大于60岁)?
是(做第6题)
否(做第7题)
6.是否平躺、不动时不痛,翻身、起身剧烈疼痛?
是(考虑骨质疏松性椎体骨折)
否(做第7题)
7.是否平躺不痛,久坐、久站、负重后出现腰痛?
是(考虑腰椎间盘源性疼痛)
否(直接就医)
8.腰痛是否伴随着下肢成片的麻木疼痛(注意不是局部的膝盖痛)?
是。(刺激或压迫神经,考尽早就医)
否。(选择以下情况)
9.选择以下情况:
腰痛、下肢麻木疼痛、夜间痛:考虑肿瘤可能性大
腰痛轻(或者无腰痛)、下肢麻木疼痛重:常见于腰椎间盘突出症
腰痛、下肢麻木疼痛,行走后需停下休息再行走:常见于腰椎管狭窄症
腰痛、发热寒战、慢性咳嗽:考虑感染(脊柱结核、脊柱脓肿)
腰痛、会阴部麻木、大小便乏力(甚至*禁失**):马尾综合症(急诊手术)
★ 上诉自查自测内容均为初步推敲路径,具体诊断及治疗请及时就医。
腰腿痛部分相关疾病图示

马尾综合症患者资料

脊柱结核

骨质疏松压缩性骨折
第二招:尝试做以下2动作(量力而行)
- 弯腰捡东西(拾物实验)
操作:弯腰拾取地下物件。
阳性:仅屈膝屈髋,腰部无法弯曲;多见于脊柱结核。

- 直腿抬高试验(Lasegue征)
操作:受试者平卧,双下肢伸直。请家属扶压膝盖,握住踝关节缓缓抬起一侧下肢(另一侧下肢保持伸直)。
阳性:抬起角度小于70度:考虑为椎管内神经根及坐骨神经受刺激及压迫。即:行走在脊柱椎管内的神经收到压迫了。

★ 肌力试验则需要医生专业知识做支撑,请到相关门诊再接受检查。
第三招:找到好医生
值得注意的是,以上的“自检自测”的内容仅作为参考。仅作参考。仅作参考。
想要具体疾病诊断、处理办法,请带上您的影像学胶片到医院找专业的医生,比如说
