年轻、貌美、紧致、光滑...永远是女人的终极目标,但是伴随着光老化和自然老化的影响,皱纹、松弛、下垂、粗糙...脸慢慢的变老变垮。线雕作为近几年新晋“流量小生”,不只能提升、除皱、紧致,还能改变轮廓,让脸变小、让皮肤变好,抗衰效果非常好。但是,如果线雕埋进去的可吸收蛋白线被吸收代谢了,脸会不会垮掉呢?

▌线雕埋的可吸收蛋白线是什么线?
PPDO可吸收蛋白线(聚对二氧环己酮),其实也是PPDO可吸收缝合线,是由高分子聚合材料PPDO纺制而成,具有更好的生物相容性,吸收期180天,有更高的抗张强度,持结性能更好,临床使用更加安全可靠。

PPDO可吸收蛋白线有大线即大V线(悬吊线),可埋入皮下组织,具有强大提拉力,能进行有效提拉和固定,使用范围非常广泛,保持时间也比较长;还有小线即小V线(平滑线),埋入皮肤组织后可作为细胞生长支架,持续刺激胶原蛋白合成,生物相容性好,无过敏反应。


不管是大V线还是小V线,植入皮肤组织后能刺激细胞再生,增加局部血运,来促进胶原蛋白再生。

▌可吸收蛋白线代谢后脸会怎么样?
植入皮肤组织的PPDO可吸收蛋白线,可在180天之内刺激胶原蛋白再生,在180之后就会被人体完全吸收,代谢为二氧化碳和水,不刺激、不过敏、不易感染、不残留。

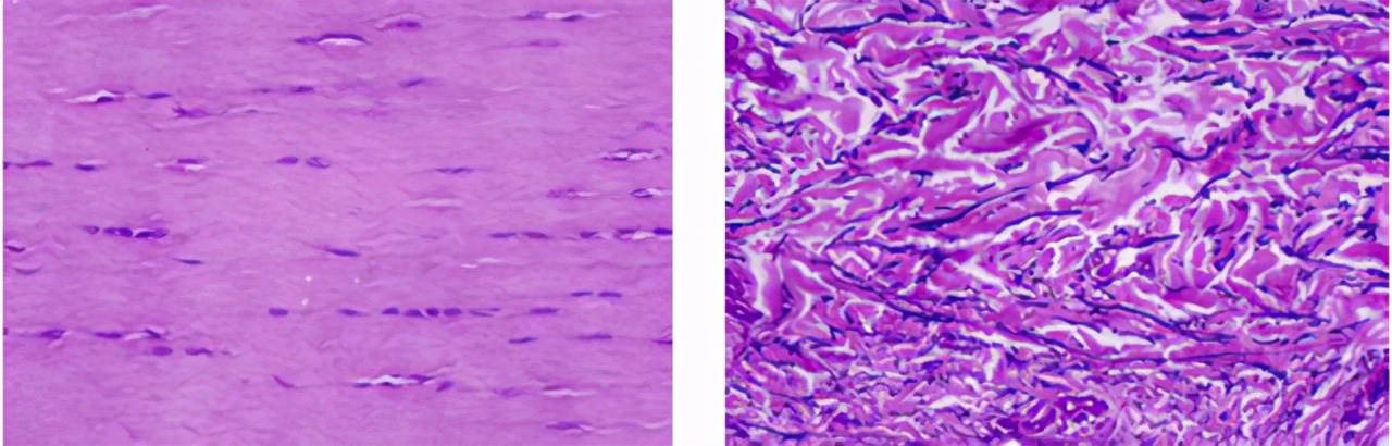
【治疗前和治疗之后蛋白线完全代谢之后,胶原蛋白仍然很密致】
那么就是说,当植入皮肤组织中的PPDO可吸收蛋白线被完全水解之后,皮肤不再会有饱满、提拉、紧致的年轻状态了?
专家表示:完全不会!
因为线雕植入后形成人造韧带,起到提拉作用,解决原有松垂问题,随着时间增长而逐渐增加局部组织弹性,并且已经变成了坚固的网状结构,同时刺激胶原蛋白新生增加皮肤的支撑能力,从前期的人造韧带变成支撑韧带,所以,即使蛋白线被完全代谢完,肌肤状况只会更好,而不是更差!
▌如何更长时间保持肌肤年轻状态?
可吸收蛋白线在皮肤组织中180天之后会被完全水解,可是面部紧致年轻的状态并不会随之改变,不过线雕的保持时间也不是永久的。那么如何更长时间保持肌肤年轻的状态呢?
建议一年左右补一次线,以后两年补一次即可,具体还要根据求美者的实际情况而定,总之补线后效果会比第一次更好。
所以,与其说线雕是抗衰老的一种不错的方法,还不如说线雕是保养的一种渠道,它能让衰老来的慢一些再慢一些,当你和同龄人站在一起时,对方看起来是40岁,你看起来却是30岁,甚至25岁。