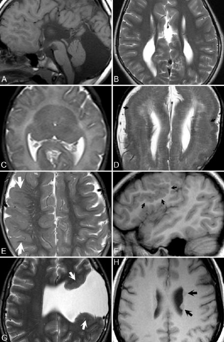
胼胝体畸形以完全或部分形式出现。胼胝体的形成是从前到后进行的,因此在部分发育不全中,前部通常得到保留,如图25.1 A所示(尽管在这种情况下,仅存在一小部分胼胝体)。注意延伸至脑室边缘的特征性放射状脑沟模式。在胼胝体难以观察的新生儿中,放射状脑回可能是发育不全的诊断重要信息。图中可以看的巨大枕大池(图25.1 A)、Chiari 2型畸形和Dandy-Walker畸形伴胼胝体发育不全。平行的侧脑室(图25.1 B)是特征性的,在冠状位图像上,由于(Probst的)白质束沿其中侧壁分布,侧脑室可能呈新月形。
前脑无裂畸形是一种前脑(前脑)不能发育为两个半球的先天性畸形。本文展示了脑叶型、半脑叶型和无脑叶型,其程度从轻度到重度不等。无脑叶型(最严重)缺乏第三脑室、大脑镰和半球间裂。融合或缺失的丘脑以及马蹄形单脑室是特征性表现。图25.1 C显示了一例半脑叶型病例,其中半球间裂在前方明显缺失(尽管在后方存在),丘脑大部分融合。单脑室分为后角而不是前角。脑叶型最不严重,其特征为无透明隔,少量额叶融合(下方),丘脑、脑室和胼胝体几乎正常。
无脑回畸形是指厚脑回和无脑回中所见的“光滑大脑”的大体MRI表现。图25.1 D显示了后者中可见的初级脑回形成。细胞稀疏区(黑色箭头)-主要由轴突组成-在T2WI上可视为一个高信号区,位于薄的低信号皮质(代表成功迁移的神经元)和灰质深层(神经元迁移已被中断)之间。在图25.1 E中,在局灶性厚脑回病例中,平滑、增厚的灰质(白色箭头)衬于脑回表面。本病例中的脑沟较浅,但比无脑回更突出。多脑回畸形可能看起来与巨脑回大体相似,但病理上皮质脑回太小太多。灰质分叶状,称为鹅卵石样变(图25.1 F,黑色箭头),是MRI的一个特征性发现。其位置(累及大脑)和外观多种多样。
脑裂畸形是一种迁移性疾病,会导致大脑半球从皮质到脑室出现裂缝。图25.1 G显示了一个开放脑裂畸形病例,脑室和蛛网膜下腔之间有广泛的交通。裂隙旁的灰质(白色箭头)将异常定义为脑裂畸形,而不是脑穿通畸形或其他破坏性病变。

▲ 图25.1
灰质异位由脑室和脑表面之间的双层皮质组成。在另一名患者中,图25.1 H(黑色箭头)显示了两个异位灰质区域最常见的位置—排列在侧脑室周围。此类病灶在所有序列上均表现出与灰质等强度,但不强化,最好在重T1WI上鉴别,其中灰质和白质的鉴别更好。视隔发育不良(暂无图)是值得注意的最后一种先天性畸形,可导致失明、癫痫、下丘脑-垂体功能障碍和生长迟缓。透明隔发育不良或缺失,存在视神经发育不全。