原本平常的一周,被两个人名和两个专业名词刷屏了。
杜兰特,跟腱;汤普森,前叉。


这两人我见过,但不熟,毕竟灌篮高手之后就没怎么看过篮球了;但是那俩专业名词是天天打交道。所以,私信中各种问我“杜兰特啥时候能复出啊”,”“汤普森还能赶上下赛季季后赛吗”等等之类的问题接踵而至。我专门去看了下球评,也确认了下确实是跟腱断裂和前叉损伤,于是在这,把一些可能有部分球迷朋友会比较关注的专业问题,给大家介绍一下。
本篇题纲:
01 简单了解下跟腱断裂。
02 杜兰特为什么会跟腱断裂?
03 杜兰特将接受怎样的治疗?
04 跟腱断裂后何时能恢复运动?
05 简单了解下前交叉韧带损伤。
06 汤普森为什么会前叉损伤?
07 汤普森将接受怎样的治疗?
08 前叉断裂何时能恢复运动?
09 他俩还能否恢复巅峰状态?
01 简单了解下跟腱断裂。
相信不少朋友第一次听到跟腱断裂,是因为刘翔。2012年伦敦奥运会110栏预选赛中,前世界冠军刘翔遭遇跟腱断裂,后来刘翔在英国当地的惠灵顿医院,由在整个欧洲享有盛誉的足踝运动医学专家尼古拉斯·卡伦(也曾为前英格兰国家队队长杰拉德手术过)主刀,完成了跟腱修复手术。那么,除了刘翔,还有哪些大牌运动员也伤过跟腱?比卢普斯、贝克汉姆、巴拉克、罗本、威尔金斯...当然,还有科比。

那么为什么这么多运动员会伤到跟腱呢?


跟腱就在我们脚后跟的后上方,我们能摸到非常粗壮的一根筋。我猜测,武侠里说的挑断脚筋武功尽失,就是这里了。跟腱是我们人体最大、最长的肌腱,它是小腿后方腓肠肌和比目鱼肌的延续,最终止于跟骨。它的最主要功能就是在小腿后方肌肉的收缩缩短时,通过跟腱,抬起脚后跟,赋能于我们人体以向上向前的动能,因此,无论是体育运动,还是日常走路、跑跳、上下楼梯,都离不开完整的跟腱。
那么,当我们在剧烈的跑动、起跳、蹬地运动过程中,跟腱可能发生断裂。
据统计:

跟腱最容易断裂的部位就是跟骨止点上方2-6cm的区域。这里就如同我们烧烤时吃的板筋一样,由致密的纤维组织组成,血供很差,一旦断裂,极难愈合。何况,跟腱断裂的往往都是发生在小腿后方肌群在猛烈收缩的过程中,这么一段,上方的断端直接就缩了上去,大家想想拔河的时候,如果有人在绳子中间咔嚓一剪刀,那拔河的人得被摔多远。既然断端都缩回去了,就更难自行愈合了。所以,急性跟腱断裂,手术治疗是首选方案。
02 杜兰特为什么会跟腱断裂?
那么,我们先来看看我们自己在平时打球运动过程中,万一受伤了,怎么判断自己是否跟腱断裂呢?
跟腱断裂的瞬间往往有一下特点:
①常常发生在剧烈的运动过程中;
②受伤瞬间感觉脚跟后方或小腿下方好像突然被人踢了一脚或打了一棍。有人会说,听到了“啪”的一声。
③脚跟后方肿胀,跟腱轮廓消失。

右侧跟腱断裂,肿胀,跟腱轮廓消失
④受伤的脚难以完成单脚提踵(抬脚后跟)的动作。
⑤Thompson试验阳性(跟腱的这个经典测试,恰好是汤普森试验...不过汤普森跟腱倒是没事,膝盖悲剧了)

正常放松情况下,捏小腿肌肉,脚尖会有下压动作,跟腱断裂后,对比健侧,这种情况减弱或消失。
通过这几种情况的综合,大体就能判断出我们自己的跟腱伤情了。
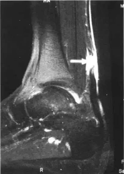
那么想要再确定的判断跟腱断裂与否要做什么检查呢?超声或者核磁共振。

正后方看,可以看到粗黑长的跟腱再中间变得不连续了

白色箭头是跟腱 三角是断裂处

白色箭头是跟腱的断裂部位
那么,跟腱断裂最常见危险因素有哪些?
①局部封闭,激素注射。
②喹诺酮类药物应用(XX沙星,如左氧氟沙星、诺氟沙星等)
③剧烈运动
④错误的训练方式
⑤平足患者
⑥吸毒史
⑦疲劳
⑧以前就有跟腱病病史
我最近接诊了5例因打篮球和羽毛球导致跟腱断裂的患者,无一例外的都告诉我一个问题:“连续作战”。就是在几天内连续运动,有两人甚至说,在受伤这次的运动前已经有跟腱处疲劳不适的感觉。这也提醒我们体育爱好者,不要把自己搞的太疲劳,尤其当你开始感觉跟腱或者小腿后方下方不舒服的时候,休息,避免运动。
那么,最常发生跟腱断裂的动作是什么呢?

当我们的脚踝处于和地面垂线呈30°夹角时(也就是我们弯曲膝盖或前倾身体的时候,这也是一个蓄势待发的姿势,准备让绷紧的跟腱突然释放,给人体以向上或向前的推动力),此时小腿后方肌肉最为紧张,跟腱也是绷的最紧,张力最大的时候,有的跟腱就在这时候就断了,也有的是这时候我们再突然蹬地发力起跳或者前冲,在跟腱最紧绷的情况下再突然施加超过其承载负荷的力量,它就歇菜了。
想想我们在什么动作下是这种受力状态?
羽毛球接完后场球,紧跟着上步准备去网前,是不是有这么个蹬地动作?
踢足球打篮球这种突然启动蹬地起跳或跑动的动作就更是数不胜数了。
好,我们来看看杜兰特受伤时候的动作,屈膝——胯下运球——突然启动————蓄势——蹬步:从特写动图中能明显看到小腿肌肉震颤了一下,这就是拔河时候有人一剪刀把绳子剪断了,肌肉猛的回缩上来,相信当时杜兰特可能也听到了自己“啪”的一声,心凉凉了。


03 杜兰特将接受怎样的治疗?
目前杜兰特已经手术结束,给杜兰特手术的医生是他:

篮网队的队医,美国著名足踝外科专家:马丁-欧玛利医生。2015年杜兰特的脚发生Jones骨折,也是这位医生给他治疗的。所以,手术技术自不必担忧,肯定是超顶级的。那么,回到我们自己,假如我们身边的人或者说我们自己在运动过程中发生了跟腱断裂,一般都是怎么治疗的呢,必须要手术吗?
2015年版也是当前最新版的中国医师协会骨科医师分会《急性跟腱断裂循证临床诊疗指南》中,对于急性跟腱断裂的治疗意见是这么说的,我给大家拎拎重点:
①保守治疗和手术治疗都是可以选择的。
②对于糖尿病、神经性病变和免疫缺陷状态、65 岁以上、久坐的生活方式、肥胖(BMI:体重/身高的平方>30 kg/m2),外周血管疾病、伤处局部或系统皮肤病的人群,慎重选择手术。换句话说,这些人能保守尽量保守。
循证医学数据库UptoDate关于跟腱断裂是否手术治疗的建议是这样的:
我们建议跟腱断裂采用手术修复治疗。这个建议适用于高度重视恢复到伤前水平活动能力并愿意接受较高治疗并发症发生率的运动活跃患者。
我给翻译一下就是如果你对未来的运动能力还有一定的要求甚至要求比较高,那就手术,虽然手术有一定的并发症发生率(主要是感染等),但是如果你不是一个喜欢运动的人,仅需要日常生活强度的活动量,尤其当你有前面提到的那些基础病的时候,保守治疗可能更适合你。
很显然,杜兰特是接受不了保守治疗了,所以他很快,几乎是立刻就联系进行了手术。
04 跟腱断裂后何时能恢复运动?
还是拿 《急性跟腱断裂循证临床诊疗指南》中给出的建议来说事儿:
①急性跟腱断裂患者无论接受哪种类型治疗,我们都无法对其后期恢复日常活动的时间做出推荐。
②对于接受保守治疗的急性跟腱断裂患者,我们无法对患者恢复体育运动的具体时间做出推荐。
③对于从事体育运动的患者,在急性跟腱断裂术后 3~6 个月恢复运动是一个选择。
这几句话的意思就是说,医生没有办法具体的给出你啥时候能正常走路,啥时候能恢复运动的时间,因为这个影响因素太多了:断裂程度、愈合能力、是否吸烟、期望运动强度、手术技术、体重等等。一般我会建议我的患者3个月开始逐渐恢复日常生活的活动量,但是他若问我运动,除非是运动员,否则我一般告诉他最少10-12个月。毕竟,在国内,没有哪个医生敢给你太乐观的估计恢复运动的时间。因为在国内的医患环境下,跟腱手术后再断裂,是医生和患者不可承受之重。那么,既然没有那么宽容的环境,那就多养养吧。
这个恢复时间真的不好说,和申雪一起花样滑冰的赵宏博知道吧,跟腱断了那是真的1年后才正常训练啊,早期训练的时候一直不正常啊。运动员往往很着急,教练更着急,但是再急也没用,尊重身体,尊重医学,才最有可能得到最好的结果。
下赛季,至少常规赛,是难以看到杜兰特了。
05 简单了解下前交叉韧带损伤。
说完了杜兰特,再来说说另外一位兄弟,汤普森。
汤普森断的这个韧带可能经常运动的人都听过,那就是前十字韧带,也叫前交叉韧带。之所以大家都听过,主要是因为它太脆弱,太多著名运动员断过了。
外星人之称的罗纳尔多,曾经在两年内接连两次发生前交叉韧带断裂。NBA小丹尼尔史密斯、威少也都伤过前叉,林书豪断过,帕克也断过。那么,这根韧带到底是干嘛的呢?

在我们的膝关节里,有前后两根韧带呈交叉排列,分别叫做前交叉韧带和后交叉韧带,其中前交叉韧带相对细一些,更容易断裂。
由于跟腱方面我们已经讲了很大篇幅,前叉方面感兴趣的可以自行阅读我写过的前叉科普:
详解前交叉韧带损伤(上)——认识前交叉韧带
06 汤普森为什么会前叉损伤?
在前叉的受伤机制里,除了负重状态下屈膝旋转或者屈膝外翻,还有一个很关键的机制,叫做减速运动。啥意思呢,就是比如你正在飞奔,突然急停。这时候你的脚和地面相对固定,大脑控制着膝关节以上的身体做减速姿势,但由于惯性,小腿还在向前运动。这就出现了前叉断裂最常见的情况:胫骨相对股骨前移。如果看过上面我的三篇文章的朋友可能会比较了解,前叉的作用是什么?就是限制胫骨相对股骨向前移动的。所以这个时候,前叉非常容易断裂。
我们来看看汤普森受伤的动作:

既有屈膝旋转、屈膝外翻还有减速运动。
07 汤普森将接受怎样的治疗?
前交叉韧带断裂后,没法修复,只能做韧带重建。想要详细了解的朋友可以参阅我的专门的科普文章:
详解前交叉韧带损伤(中)——前叉断裂的手术治疗(一看就懂)
也就是说,汤普森也必须手术,关节镜手术。当然,也肯定是全美知名的运动医学专家来给他做。
08 前叉断裂何时能恢复运动?
关于前叉的康复,感兴趣的朋友可以参阅我的科普:
详解前交叉韧带损伤(下)——前叉重建术后康复方案
简单来说,一般我们是要求至少半年才能恢复对抗性和竞技性体育运动的,当年罗纳尔多术后4个月就恢复训练,当然,最后悲剧的再次断裂。对于大多数不是这么急着靠打球赚钱的朋友来说,最好10-12个月后再恢复剧烈运动。
09 他俩还能否恢复巅峰状态?
最后,可能是球迷们最关心的问题。出现无论是跟腱断裂还是前叉断裂,对于高水平运动员来说都是毁灭性的打击。复出当然没问题,但是再想重回巅峰或者再创新高,恐怕很难。
杜兰特想要发挥强大的冲击力、爆发力,恐怕有难度了。甚至只是心理阴影,就足以击败很多著名运动员了。科比伤前场均得分27分,伤后的那几个赛季,经常看球的大家比我更清楚。刘翔伤后的状态也是一个非常好的例子,别说刘翔本人了,我看他跑步都揪心于会不会突然再断掉。
能否重回巅峰状态,我看来,主要取决于三点因素:
第一:所进行的运动强度。像篮球足球这种高对抗性的运动,能有六七成的运动员恢复状态已经是非常幸运了。而对于我们日常跑步断裂或者骑车锻炼的朋友来说,不必太担心,一般都能够良好恢复。
第二:该球员的技术特点。越是依赖冲击力、爆发力、反复急转急停变向的运动员,重回巅峰状态的难度越大,比如樱木花道、流川枫和宫城良田。而技术特点如三井寿或者姚明这种,更多的依靠身高臂长或者远投等的,可能会好很多。
第三:运动员的心理素质。这个是非常重要的因素,伤病也是很多运动员绕不过去的心坎。我相信没伤过的可能没有切身体会,受过伤尤其手术过的体育爱好者都有体会。我自己也是在田径训练和踢球时多次踝韧带损伤,出现双足习惯性扭伤。后来到了大学基本放弃踢球了,怕伤,恐惧。
好了,最后,请原谅我居然用了灌篮高手里的人物来举例,显得太不专业,不过没办法,自从干了这毁灭生活吞噬爱好的外科大夫,我已经许久不再关注足坛和篮坛了。有兴趣的,可以一起聊聊克林斯曼、舍甫琴科和战神巴蒂。毕竟,实况8之后,生活中再无足球。