“没想到正康医院的技术这么好,我们跑了好几个医院都不敢做的手术,正康医院居然完成得这么好”,8月25日早上,广安正康医院骨科主任吴贵亮教授查房时,被患者家属陈先生一把握住他的手,不断地感谢道。
据悉,家住广安区恒升镇的唐女士,入院20天前,背东西后出现腰腿疼痛难忍,伴双下肢麻木及行走困难,睡不好觉。在其它医院行腰椎X片、CT和磁共振检查,提示“腰4、5椎间盘突出伴椎管狭窄”,仅行保守治疗,无明显效果。后来患者家属来我院咨询骨科主任吴贵亮教授,建议行手术治疗,于是患者转到我院住院。
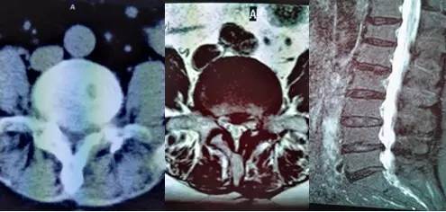
入院后经过详细询问病史,全面、仔细体格检查,认真阅读患者腰椎X片、CT和磁共振检查及其它辅助检查结果后发现:患者系老年(69岁)、女性,10年前因“腰椎间盘突出症”曾在重庆某大医院进行过手术,有糖尿病史2年,不规则服降血糖药物治疗。此次入院前20天因背重物后出现腰腿痛及双下肢麻木,以左下肢为重,影响日常生活。下腰部压痛及叩痛明显,并向双下肢放射。左外踝及足背、足底感觉明显减退,左下肢肌力明显下降,右下肢肌力轻度下降。腰椎X片提示:腰椎骨质增生伴骨质疏松,腰4及腰5左侧椎板部分缺失。腰椎CT和磁共振提示:腰4、5椎间盘向后侧中央突出,伴同平面椎管狭窄,致硬膜囊及神经根严重受压、变形。血糖及糖化血红蛋白均明显高于正常范围。

术前CT、MRI(磁共振)示:腰4、5椎间盘突出及椎管狭窄,硬膜囊严重受压变形。
吴贵亮教授组织全科人员对该患者的病情进行了全面分析和讨论,初步诊断为:1、腰4、5椎间盘突出伴椎管狭窄症(术后复发),2、腰椎退行性变,3、Ⅱ型糖尿病。同时认为:神经压迫症状、体征重,左下肢已出现部分瘫痪,严重影响生活,保守治疗无效,只有手术才能解除对神经的压迫,缓解疼痛,为神经功能恢复创造条件。该患者年龄大,有糖尿病,容易出现手术切口不愈合及手术部位感染等并发症。特别是病变部位做过手术,局部疤痕形成,粘连严重,失去了正常的解剖层次,术中容易引起血管、神经根、硬膜囊的损伤,导致大出血、下肢瘫痪、脑脊液漏等严重并发症。
尽管手术风险很大,但手术为唯一有效治疗措施,因此,吴贵亮教授及其医疗团队经过综合考虑,最终决定对该患者进行手术,并制定了详细的治疗方案及具体的手术方式,特别是术前、术后血糖的控制及术中松解粘连的神经根等关键性操作。由于对疾病的认识清晰,对困难的估计充足,术前准备充分,虽然在术中发现局部组织结构十分紊乱,左侧腰5神经根和硬膜囊粘连严重,但在吴贵亮教授的带领下,整个手术过程十分顺利,术中出血少,神经根及硬膜囊完全松解并且未造成任何损伤。术后患者腰腿痛及双下肢麻木逐渐减轻,血糖控制良好,手术切口一期愈合。出院时患者尚有轻微腰腿痛及双下肢麻木,较术前明显减轻,双下肢肌力较术前亦有所恢复。患者及家属对手术效果非常满意,患者自己说道:“终于睡了个好觉了!”
吴贵亮教授谈道:腰椎间盘突出症是骨科常见病,大多数患者经保守治疗可以缓解,但易复发。只有在神经压迫严重,出现神经损害的表现,如:下肢麻木、感觉减退、肌力下降,且保守治疗无效、严重影响工作及生活的情况下才进行手术治疗。首次手术较简单,效果较好,术后恢复亦快。可以选择小切口椎间盘髓核摘除术,也可以选择微创椎间盘髓核摘除术等。同部位再次手术较复杂,主要是局部疤痕形成及粘连,致局部组织结构紊乱,解剖层次不清,手术操作困难,容易误伤血管、神经根、硬膜囊而引起严重并发症,大多选择传统的开放手术。同时上次手术后相应神经根因局部疤痕的长期压迫而变细,出现神经根慢性损害,手术后感觉、肌力的恢复较慢。因此,针对腰椎间盘突出症特别是伴有椎管狭窄症的患者,如出现下肢麻木、乏力等神经损害的表现,且正规保守治疗无效,宜尽早手术。

吴教授认真检查患者恢复情况。
------以上为广告推广,不代表本平台观点------
领导说了!
您点一个 ,
小编的工资就涨5毛!