盖延廷大动脉瘤介入 (70多岁脑动脉瘤破裂有抢救机会)

患者71岁老爷爷,两周前突发头痛昏迷不醒,检查发现颅内大出血,头部CTA发现颅内动脉瘤。从纯医疗角度讲肯定是建议开颅手术治疗,因为只有手术了才可能增加生存机会,但是,风险也的确很大,这么大年龄,加上手术创伤,术后能不能恢复很难说。

家属考虑患者年龄较大,平时体质甚差,希望保守治疗。

经过两周药物保守治疗,患者病情逐步好转,意识恢复清醒,能够配合简单握手等遵嘱活动。鉴于此,家属希望能介入治疗堵住动脉瘤破口,防止再出血!按计划在全麻下顺利进行了栓塞手术,动脉瘤填塞致密,解除再出血风险,祝老爷爷再活30年!

图一:脑血管造影三维重建提示左侧后交通动脉瘤,瘤颈很宽,达6.5mm,动脉瘤大小约7×8.2mm。(绿箭头为动脉瘤,红箭头为合并存在的血管狭窄)

图二:2D血管造影可以见到动脉瘤位于颈内动脉末端,瘤体上有破口

图三:另一角度2D造影看到动脉瘤位于后交通部位,所以称为后交通动脉瘤

图四:介入栓塞手术中向动脉瘤内填塞弹簧圈堵住破口,防止再出血

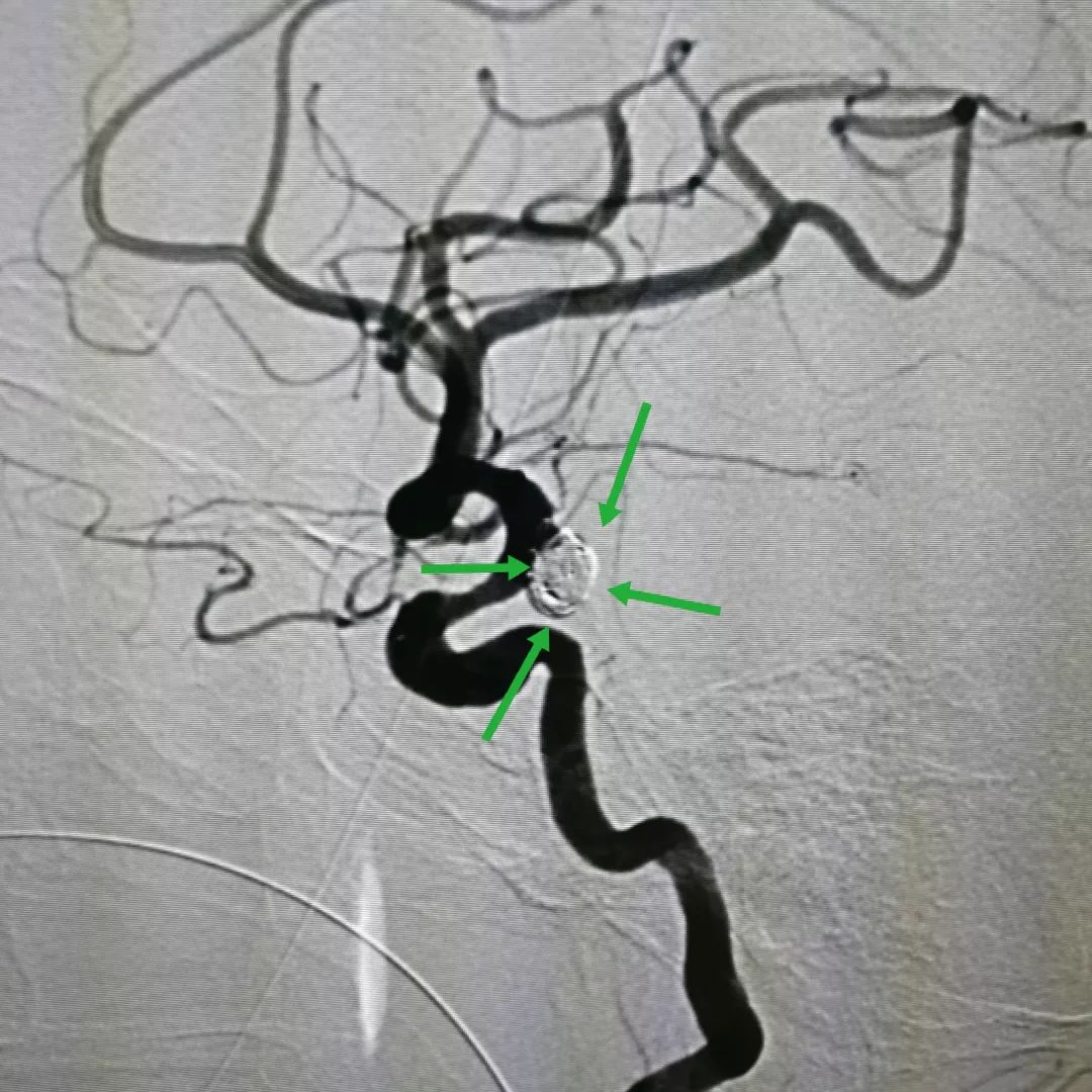
图五:手术结束复查脑血管造影可以发现动脉瘤已被完全栓塞,瘤内无血液流入

图六:另一角度的术后造影片也证实动脉瘤完全栓塞

微创栓塞治疗脑动脉瘤已成为目前国际公认的最佳方案之一。