
几天前,一位60多岁的老年患者捂着肚子来到了普外科急诊诊室,接诊医生施崭详细询问了病史,并进行了腹部查体,发现老人腹部已经出现了急性腹膜炎的表现,立即向孔娜主治医师汇报病情。

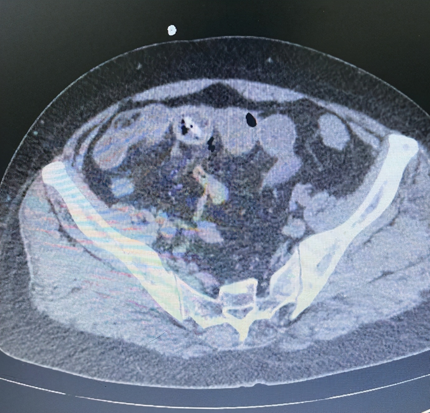
原来,老人当天凌晨突然出现了下腹部疼痛,并持续加重,继而出现发热症状。按照就诊流程,首先就诊于回龙观院区发热门诊,排除新冠肺炎的可能。老人腹部CT检查提示,小肠可见高密度影,并已穿破肠壁,周围有异常气体影,肝周和盆腔可见积液。医生再次追问病史,老人讲述近几日进食了大枣,但已记不清而是否将枣核也一并吞下。了解病情后,柏楠主任医师、吴全副主任医师和崔爱民主治医师果断决定完善相关术前检查,收入院给予急诊手术治疗。

术前的腹部CT
病房内,谭屾主治医师积极协调床位,完善术前各项准备,向老人家属交代风险、签署手术同意书,同时联系ICU病房预留床位。老人腹痛情况持续加重,同时伴有发热,麻醉医师许莉和王婧娴马上对患者展开术前麻醉评估,老人高龄,基础病较多,两位麻醉医师根据患者具体情况给予及时的对症处理。一切准备就绪,吴全副主任医师、谭屾主治医师和孔娜主治医师在腹腔镜下顺利完成了找到异物、取出异物、肠穿孔修补手术。老人腹部只有4个长约0.5-1cm的“小洞”,术后第2天就可以下床活动。在普外科、麻醉科、ICU、手术室等各个科室的通力配合下,老人得到了及时准确的诊治,化险为夷。

术中腹腔镜下将肠腔内异物取出

取出的“枣核”
温馨提示
在此提醒大家,如果您进食可能含有尖锐内容物的食物,例如大枣 、鱼时,一定要注意细嚼慢咽,避免误食。
北京积水潭医院普外科早在1993年即开展了微创腹腔镜技术,是北京地区乃至全国较早开展微创外科的医院之一。经过多年经验的积累和医师队伍的不断壮大,普外科现已开展腹腔镜下腹腔探查、消化道穿孔修补,胃、小肠、结直肠肿瘤切除、疝修补、阑尾切除、胆囊切除、胆道镜探查、取石,减重手术等等,受到广大患者的信任和肯定。
专家出诊时间
赵景明主任医师
周二上午知名专家、周四下午知名专家
专业特长:普外科常见疾病的诊断治疗,尤其在肝脏良恶性肿瘤、胆管、胆囊疾病、胰腺及脾脏疾病的诊治、腹腔镜微创手术等方面具有丰富的经验。
李文东副主任医师
周五上午副主任医师
专业特长:胃肠及肛门部疾病,特别是胃肠肿瘤的诊治、腹腔镜微创手术、肛门直肠疾病的微创手术治疗,消化内镜下胃肠疾病治疗。
毕敬涛副主任医师
周一上午副主任医师、周一下午疝与腹壁外科专病门诊、周一下午胆石症专病门诊、周三下午副主任医师、周三下午肥胖与糖尿病外科专病门诊
专业特长:腹腔镜微创手术、包括胆道结石、肝胆胰和胃肠肿瘤的手术治疗,成人各种疝和腹壁疾病的手术治疗、减重代谢手术。
吴全副主任医师主任
周三上午副主任医师、周四上午副主任医师、周五下午普外科痔病与肛瘘专病门诊
专业特长:普外科疾病腔镜微创手术治疗、肝胆胰胃肠良、恶性疾病的综合治疗。
王欣副主任医师
周二下午副主任医师、周五下午副主任医师
专业特长:腹部常见肝胆胰及胃肠等外科疾病。
文图丨普外科 孔娜
编辑丨靳晓方 于淼
校对丨于淼