
作者:李川医师
单位:成都军区昆明总医院
前言
本期小灶由成都军区昆明总医院附属骨科医院的李川医师讲解“常见腕关节疾症”,内容共分为3篇。
上篇:腕舟骨骨折
中篇:经舟骨月骨周围脱位
下篇:月骨坏死
本期为中篇,李川医师从概述、非手术治疗和手术治疗三个方面讲述了经舟骨月骨周围脱位(trans-scaphoid perilunar dislocation,TSPD)的相关知识,重点针对手术治疗的6种方式进行了详细讲解。
概述
经舟骨月骨周围脱位,是指合并有舟骨骨折的月骨周围脱位,舟骨近端骨折块和月骨与桡骨远端关节面关系正常,而远端骨折块和其他腕骨一起发生脱位,可分为背侧脱位和掌侧脱位。
经舟骨月骨周围骨折脱位是腕部少见的严重损伤,占腕部损伤的3%-5%,多以背侧脱位为主,早期漏诊及误诊率极高,后期常发生舟骨骨不连、舟骨坏死、腕不稳定、创伤性关节炎等并发症,严重影响腕关节及手的功能,治疗上较为困难。对于经舟骨月骨周围脱位的治疗不仅要恢复腕关节正常的解剖结构,而且要确保舟骨骨折的愈合,避免发生舟骨坏死。


注:此图来源于网络
非手术治疗
对于1-2周内的新鲜损伤,可采用闭合性手法复位,步骤同月骨周围脱位:在臂丛麻醉下使前臂肌肉松弛,沿纵轴牵引腕关节,并背伸腕关节,一手固定月骨掌侧,另一手由腕背侧向掌侧推压腕骨,并逐渐屈曲腕关节,即可达到复位。只是在2周时须将腕关节由屈曲位转为中立位固定,4周时将长臂石膏托更换为拇人字型石膏固定直至愈合。舟骨骨折必须固定可靠,且固定时间长,定期复查X线正侧位,以观察舟骨血运及愈合情况。
Arora R等认为对腕关节长期石膏,易导致腕关节退行性变,及发关节炎,关节僵直、影响活动等,且与Agergis有相同观点认为石膏固定早期难以提供牢固的固定,晚期易出现腕中关节不稳,腕塌陷,舟骨骨不连等并发症,故主张行手术治疗。

手术治疗
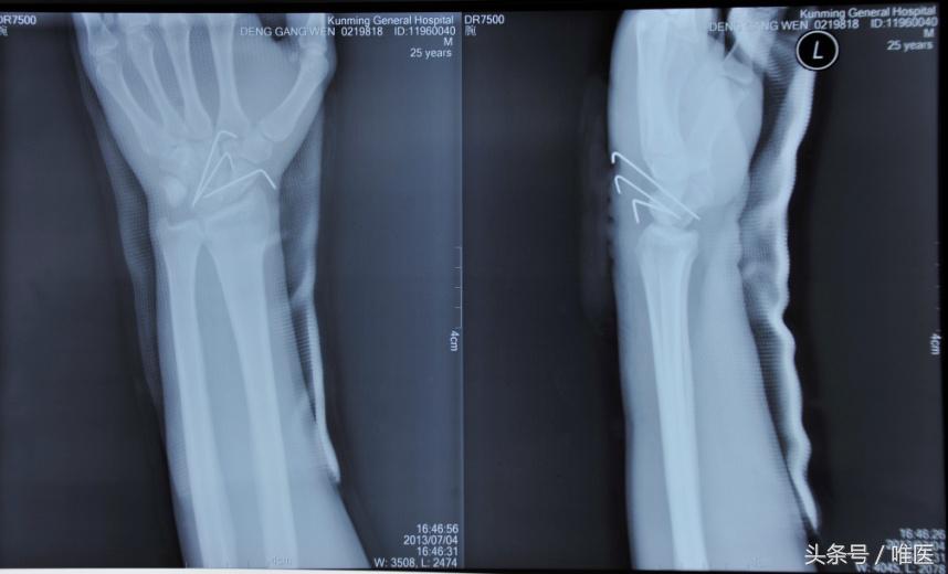
1.克氏针固定锻炼
此方法由于无加压作用骨舟骨易出现骨不连。这是一种较早出现的治疗方法,用2枚克氏针平行或交叉固定舟骨骨折,对于固定时间笔者综合国内外文献总结对于石膏及克氏针固定时间一般不少于6周,多为管型石膏固定3个月,但具体以复查X线视骨折愈合情况决定,拔出克氏针后逐步进行腕关节功能。

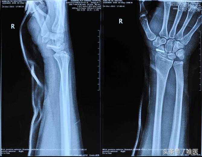
2.Herbert螺钉+辅助克氏针内固定
该术式是近年来许多临床医师尝试的一种新方法,并且取得了较好的成效,Hiren和Jeon等已较完善的阐明了可根据舟骨骨折的位置选择正确的术式,并且证实影像学监控下将螺钉置于中央区域、选择尽量长的螺钉、固定效果最佳,全螺纹螺钉生物效能最佳。临床上对于新鲜的经舟骨月骨周围脱位的患者应用此方法较为广泛,但Herbert螺钉固定方法学习曲线较长,对于临床经验和医疗设备上要求较高。

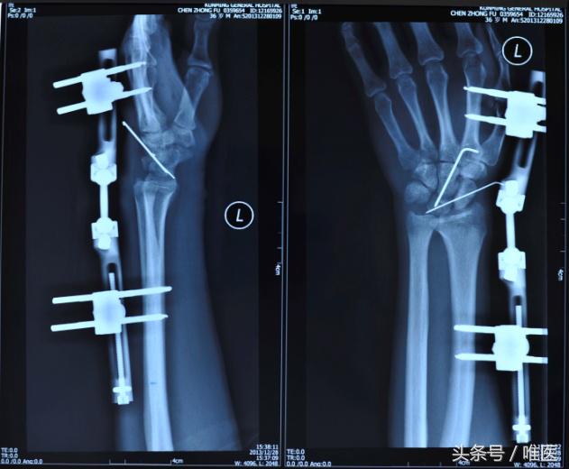
3.带关节外固定支架
Majeed曾报道对骨折脱位后的舟骨进行复位后选择合适加压螺钉固定后,用带关节的腕关节外固定架,分别于桡骨中远端及第2或3掌骨上各打入两枚合适粗度、长度的半针后连接外固定架后将其逐渐撑起,并锁紧固定半针及外固定架关节处,以防止其再次脱位。Driscol等认为利用外固定架独特的支撑作用,缓解腕关节内压力,维持正常间隙,对已切开复位固定的腕关节起到制动并减压作用,待3-5天之后,可松开外固定架的关节,但要保持其撑开状态,适当功能锻炼,减轻了关节面之间的摩擦,减少了肌肉软组织的挛缩及关节僵直等。

4.记忆合金钉脚固定器+辅助克氏针内固定
国内徐永清教授利用自行研发的镍钛记忆合金钉脚固定器固定腕舟骨骨折,将月骨周围脱位复位后辅助克氏针固定防止再次脱位,徐永清教授介绍对于新鲜的经舟骨月骨周围脱位,往往将脱位复位,并固定舟骨骨折后,大多时候是可以不用加以克氏针固定防止再次脱位的,因为复位固定舟骨后关节不容易再次脱位,必要时可以辅助石膏固定三周即可。治疗陈旧性的经舟骨月骨周围脱位,记忆合金钉脚固定器在处理陈旧的舟骨骨折方面有很好的疗效,因为它的加压作用是值得肯定的,且结合术中植骨,更加减少舟骨骨不连的几率。

5. 腕舟骨切除+四角融合术
Elias等较早提出对于陈旧性经舟骨月骨周围脱位、舟骨坏死者,予以切除坏死舟骨,克式针固定融合头状骨、钩骨、三角骨、月骨。国内徐永清等率先对于陈旧性经舟骨月骨周围脱位、舟骨坏死者,进行了有限元分析及生物力学测试,并对手术前后患手握力、腕关节活动范围;采用疼痛视觉模拟评分(visual analogue scales,VAS)评估腕关节疼痛程度,采用Krimmer评分表对关节功能进行评分。
结果显示,行舟骨切除,镍钛记忆合金腕骨四角融合器(NT-FCAC)固定融合头状骨、钩骨、三角骨、月骨,术后病人疼痛消失,握力恢复为健侧的81%,术后腕关节活动范围达健侧的53%,对于陈旧性的经舟骨月骨周围脱位患者,无论从患者对腕关节的活动度还是握力等方面看,此方法效果相对较好。但对于合并有严重的腕关节炎、长期疼痛等患者效果不佳,建议采取近排腕骨切除术。




点击链接,观看“四角融合手术过程模拟”//m.allinmd.cn/html/m/video//2016/02/26/1456450994433.html
6. 近排腕骨切除术(PRC)
该术式最初常用于经舟骨月骨周围脱位等原因引起的月骨IV期缺血坏死、舟状骨骨折近极坏死、陈旧性月骨周围脱位等导致的创伤性腕关节炎,长期疼痛难忍的患者。但随着手术效果的稳定和技术的改良,PRC的适应证也有所进展。现在可以用于任何原因导致的腕关节退变,其中比较常见的就是晚期舟骨骨不连和腕塌陷,最终选择要结合患者对手术效果的预期要求决定。
PRC手术方法相对简单,以桡腕关节为中心,在腕关节背侧做弧形切口横行切开背侧关节囊,游离其在近排腕骨上的附着,显露近排腕骨,同时注意保护背侧血管、神经、肌腱,将三角骨、舟状骨和月骨,连同桡骨茎突一并切除,之后修复背侧关节囊。Fitzgerald等认为,PRC术后利用牵引或石膏固定一段时间,使腕关节在一段时间内保持一定间隙,亦可取得良好效果。Neviaser RJ报道24例近排腕骨切除术患者其中23例腕部疼痛缓解、手握力得到恢复,疗效满意。
Imbriglia JE也对此术式给予了肯定,他对生物力学方面的研究后认为,近排腕骨切除术后头状骨与桡骨间的滑动与转动降低了桡骨的复合,不易出现骨关节炎,但其从握力、腕关节活动度上效果不佳。

声明:文章未注明来源图片均来源于昆明总医院附属骨科医院,如有意见苟同之处,盼与之分享。
*载下**唯医app
手术视频免费*载下** 会议直播从不间断
细分骨科所有专业 让您光速获取资源
随时随地,唯医为医!