我的门诊病历:50岁女性,左腿发麻,不能坐,晨起严重,姿势变化时明显,腰3-5椎间盘突出症,腰椎管狭窄症
第一次就诊时间:2022年8月3日
第二次就诊时间:2022年9月7日
第一次就诊时:
患者因骑车摔倒4天后,左腿发麻17天,病史总共21天。
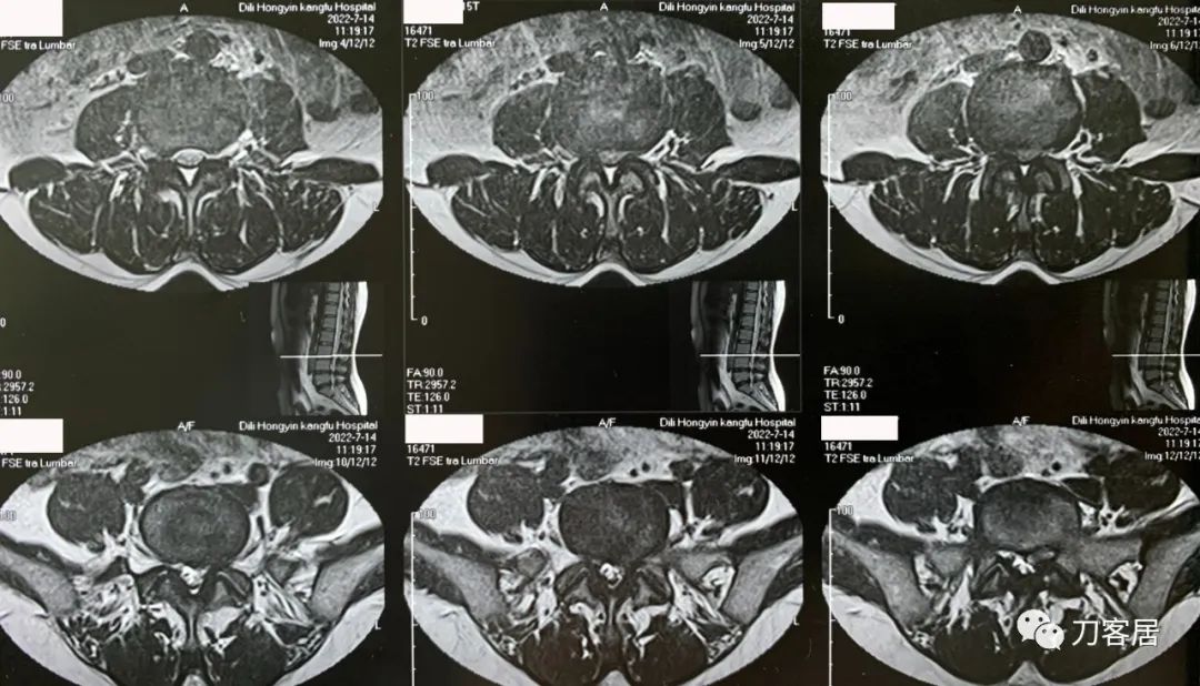
不能坐,晨起严重,姿势变化时明显,站卧无影响,坐姿后左臀部并左小腿抽痛麻,行走无影响。腰椎MRI提示腰3-5椎间盘突出,腰4-5,腰5骶1为重,腰5骶1左侧突出明显,并腰椎管狭窄。腰椎及骨盆X线片未见异常。骨密度提示骨量正常,且有所增高。昨日(8月4日)可连续行走1.6km。
查体:双侧四肢肌力感觉正常,双侧Hoffmann征阴性,跟行,跖行,起跳,弯腰及下蹲活动无受限。
患者临床表现较符合骨质疏松表现,先试行抗骨质疏松治疗,以观疗效。
诊断:腰3-5椎管狭窄症,腰3-骶1椎间盘突出症,骨质疏松症
治疗:骨质疏松症治疗与椎间盘突出治疗同步进行,使用阿伦磷酸钠片,阿法骨化醇软胶囊,碳酸钙,迈之灵和依托考昔。
2022年9月7日第二次就诊时,保守治疗一个月。症状已基本完全消失,小腿再未发生抽搐痛麻,偶有右膝疼痛。

图1. 20220714外院腰椎MRI1,提示腰3-5椎间盘突出,椎管狭窄。

图2. 20220714外院腰椎MRI2,提示腰3-骶1椎间盘突出,椎管狭窄。

图3. 20220714外院腰椎MRI3,提示腰4-5椎间盘突出,椎管狭窄。

图4. 20220714外院腰椎MRI4,提示腰3-4椎管狭窄,腰5骶1椎间盘突出,左旁侧型。

图5. 20220727西京医院骨密度,提示骨密度正常,且有所增高。

图6. 20220803我的门诊病历

图7. 20220907我的门诊病历