
老李每天都是骑电动车上下班。一方面是因为确实在北京摇不上号,更重要的是电动车不堵车也自在。可是几天前,老李在下班时突遇北京雷阵雨,电闪雷鸣狂风暴雨中,没带伞的老李想着还是赶紧赶回家,结果就在快到小区的路口,因为拐弯急了,车子侧翻了。尽管没有撞到别人,但是老李自己却重重摔在地上。凭他的回忆,当时是整个左侧身子着地的,尤其是左肩,摔倒地上后整个胳膊都动不了,一动肩膀周围就剧烈疼痛。而且老李自己都能看到左边锁骨中间鼓起来个大包。
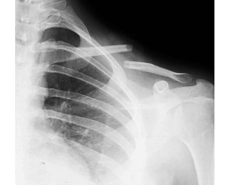
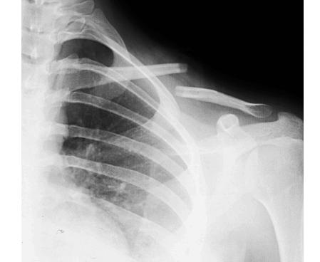
老李管不了电动车,赶紧打的就进来了医院急诊检查,结果片子一排,发现左边的锁骨从中间摔断了,而且骨头还错位了。老李左边锁骨中间鼓起来的那个“包”,其实并不是长了什么东西,而是断裂的骨折错位了,断开的骨头茬子从里面向外把皮给顶起来了。

急诊科医生请来骨科医生会诊,骨科医生建议:住院手术。老李懵了,这疫情期间在医院呆着总感觉太危险,连忙问医生:“大夫,我这锁骨骨折,能不能不手术,保守治疗行么?”实际上,老李的这个问题,几乎是每一个锁骨骨折患者都会问出的问题,毕竟大家都害怕做手术。
那么,锁骨从中间断了,究竟该手术,还是保守治疗呢?今天咱们就来聊一聊这个话题。

字多懒得看 ,想要精简版:
(1)没完全断开,或 移位 不明显的锁骨中段骨折,可以先考虑保守治疗,暂不手术,但需要频繁密切复查;
(2)对于移位非常明显的锁骨中段骨折,尤其是皮肤被顶起来,局部皮肤破裂(开放性骨折),可能有神经血管损伤(锁骨下面就是重要的神经血管),建议优先选择手术。因为保守治疗的效果往往非常不好,而且骨折不愈合率的几率显著高于手术,局部也不美观。
1、锁骨中段骨折,是一种什么样的体验

锁骨骨折在生活中其实还是比较常见的,一般都是摔倒肩膀着地引起的,而且多见于儿童和年轻人。而且,锁骨骨折有个特点,那就是骨折最容易发生在中段,就像文章开头老李那样。
当外伤导致锁骨骨折时,会有锁骨区明显的疼痛感,而且这种疼痛感会随着活动患侧的胳膊而加重。如果骨折比较严重,或者移位明显,锁骨区还会有明显的肿胀、瘀斑和皮肤隆起。还有可可怕的,是骨折断端直接把皮肤顶破,骨头露出来......
2、治疗

其实,不只是锁骨,大多数的骨折如何治疗,主要取决于骨折的类型和严重程度。基本上,不严重的骨折,没有完全断裂的骨折,没有明显移位的骨折,大多可以考虑先保守治疗试试,不行再手术,而对于相对骨折严重、移位明显的,很可能都需要手术。
而锁骨中段骨折又有它自己特殊的地方。因为锁骨的上面有颈部肌肉向上牵拉,锁骨下面有胸部肌肉向下牵拉,所以一旦锁骨中段发生骨折,颈部的肌肉向上拉骨折块,胸部的肌肉向下拉骨折块,就会出现像下图一样典型的骨折移位。

这种由肌肉牵拉引起的骨折移位,你是可以考虑用手法给骨折复位了,然而,只要你手一松,肌肉就会又把骨折牵拉的跑开,让骨折移位。是的,复位这种骨折不难,但是想维持住复位的状态就难了。毕竟这里可打不了石膏。
此外,由于锁骨连接着胳膊,所以锁骨骨折后,胳膊轻微的活动都会引起骨折断端之间活动,让骨折难以愈合。如果你想把胳膊完全固定住(其实很难很难),还没等锁骨骨折长好,肩关节就僵硬动不了了。得不偿失。
相反,手术就不一样,钢板钉子可以坚强的固定住骨折,术后胳膊就可以自由活动,不仅可以有效防止肩关节僵硬,而且可以促进血液循环更有利于骨折愈合。
然而,手术也手术的不好。除了花钱多,疼痛损伤和常规手术风险外,很久以前即便是业内都觉得手术后锁骨骨折长的可能没有不做手术那么好。
但是,随着医学的发展进步,现在发现根本不是这个样子。
3、保守治疗 Vs 手术治疗

2012年,著名医学杂志JBJS上就发表了McKee医生团队关于这一问题的研究[1]。McKee医生团队奖412名锁骨中段骨折患者氛围手术组合保守治疗组(吊带固定)。结果他们发现:
对于锁骨中段骨折来说,手术组患者的骨折不愈合率,显著低于保守治疗组。即便是并发症的发生率,手术组都比保守治疗组要低。
而Daniel E医生团队通过对锁骨中段骨折患者大数据(1380例手术治疗,584例非手术治疗)的分析,于2019年发表的研究[2]更是显示:
手术治疗锁骨骨折的愈合率为96.7%,而非手术治疗的骨折愈合率为88.9%。而在术后功能恢复方面,手术组患者的功能也要好于费手术组。
所以,实际上并不存在之前所谓的“手术后骨折长的不好”这一说法,相反,手术治疗反而可以让锁骨骨折长的更好,患者的功能也恢复的更好。
参考文献
- McKee RC, Whelan DB, Schemitsch EH, McKee MD. Operative versus nonoperative care of displaced midshaft clavicular fractures: a meta-analysis of randomized clinical trials. J Bone Joint Surg Am 2012; 94:675.
- Daniel E. Axelrod,et al.What Is the Best Evidence for Management of Displaced Midshaft Clavicle Fractures? A Systematic Review and Network Metaanalysis of 22 Randomized Controlled Trials.Clin Orthop Relat Res (2019) 00:1-11