
这是 达医晓护 的第 4255 篇文章
我的朋友小李是某上市公司财务经理,年初年末正是财务人最忙的时候,小李连轴转了好几周的“996”“007”,终于算是把“忙季”告一段落了,但是身体状况却是每况愈下,最难熬的就是颈椎和腰椎的不适,于是就想到医院做个CT检查。他到了医院骨科说明来意,骨科医生却建议他做磁共振检查,磁共振当天做不了,需要预约大概一周时间,看到费用比CT高上一倍都不止的磁共振检查单,他打电话来问虞医生,这是不是过度医疗啊。
“不,这是合理检查。”虞医生很干脆的回答。很多朋友都知道颈腰椎不适要到医院来“拍个片子”,但是对于拍什么片子其实并不是很清楚,在这里我就临床上三种常见的影像学检查——X线、CT和磁共振(MRI)到底能看到什么,在脊柱的检查中应该如何应用。

X线和CT
X线应用于临床已经有100多年的历史,X线在穿透人体时,由于人体各组织的密度不同,因而X射线穿透组织的量也不同,在图像上显示的灰度也不同,由于X片只能显示二维图像,因此又称为“平片”。CT的原理是用X射线对人体某个部位的层面进行扫描后,通过计算机进行一系列的转变,最后重建成为CT图像。CT可以提供人体被检查部位的完整三维信息,使器官和结构清楚显影,简而言之就是一个3D版的X片。在骨科疾病的诊断中,X线和CT是通过最适合看骨头,包括骨折、移位等,当X线无法确诊是否骨折时需要做CT进行三维观察。

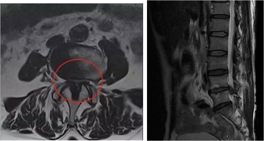
磁共振(MRI)
骨头没问题不代表真的没问题,很多时候为了看清楚关节周围的肌肉、韧带等软组织或者判断新鲜还是陈旧性骨折时,就需要进行MRI检查。MRI在骨科疾病的诊断中有两个最重要的应用,就是脊柱和膝关节。MRI在脊柱可以很好地显示椎体、椎间盘、硬膜囊、神经等结构,还能显示椎间盘变性、硬膜囊受压、马尾神经紊乱等病理改变。MRI在膝关节可以显示半月板、交叉韧带、关节内液体等结构。

应该如何选择检查
在颈椎和腰椎的门诊检查中,MRI能反映更多的信息,而且有些MRI的检查结果是无法用X线和CT替代的。但MRI需要预约等待,而且价格明显高于X线和CT,如果患者疼痛较重、或者考虑经济原因、不方便等待,可以选择CT检查。X片在脊柱诊断中能反映的信息较少,通常仅用于外伤筛查。
如果要进行脊柱手术的术前检查,通常需要进行全套的X片、CT、MRI检查,X片除常规的正位和侧位外,还需要过伸位和过屈位以反映脊柱的稳定性,当然啦,如果进行到这一步,还是要听医生的啦。
作者:上海市普陀区中心医院骨科
虞陆超
来源:达医晓护
编辑:刘静
