生活中,很多人可能都遇到过牙龈出血的事情,比如:吃苹果时,发现有两道血印子,刷牙时唾液都是血。
以上症状表明,很可能是患上牙龈炎了。

什么是牙龈炎
牙龈炎就是牙龈结合部堆积的牙菌斑以及有害物质长期作用于牙龈,从而引起的牙龈软组织非特异性炎症。
牙龈炎的症状
1、牙龈出血,牙龈炎的最主要的症状就是牙龈出血,通常在咬硬物或刷牙时出现,甚至可能轻轻碰到也会出血;
2、牙龈炎患者,还可能伴随着一些并发症,比如牙龈不适、口臭等;
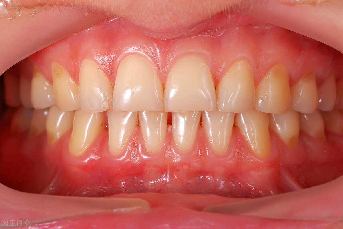
3、牙龈红肿,牙龈炎患者可以通过镜子观察牙龈的状态,健康的牙龈是粉红色的,而牙龈炎症后,牙龈会变得鲜红、肿胀,轻触可能会出现疼痛、出血等症状。

既然已经知道牙龈炎的症状,那究竟是什么导致了牙龈炎症?
牙龈炎的病因
1、牙结石,由于口腔不注意卫生,导致牙龈、牙缝堆积了大量牙结石,进而造成了牙龈的慢性炎症,通常这种情况还会伴随着口臭;
2、牙齿的不良修复体,比如时间较久的补牙组织、活动性的假牙等,压迫牙龈,可能也会造成牙龈炎症;
3、不正确的刷牙方式,刷牙太过于*力暴**,通常会刺激到牙龈。

由于牙龈炎症状轻微,很容易被患者忽视,从而延误治疗,如果放任炎症继续发展,可能会造成牙周病变。因此,当患者出现牙龈炎症状时,建议尽早去正规口腔医院就诊,医生将会根据症状判断诊治。
不过,患者在日常生活中护理好口腔对预防牙龈炎是具有重要作用的。

牙龈炎的预防
1、定期洗牙。建议间隔半年到一年洗一次牙齿,既清除了牙结石,恢复牙龈健康状态,也能全面检查口腔情况;
2、保持口腔内卫生。合理使用牙线或冲牙器来清洁牙缝中的菌斑,饭后及时漱口,减少细菌存在的时长;
3、正确刷牙,坚持早晚刷牙两次,每次刷牙应不低于2分钟,刷牙方式可参考巴氏刷牙法;
4、牙刷尽量选择软毛的,减少对牙龈的刺激。
5、多吃新鲜果蔬,增加维生素的摄入量。

总之,牙龈炎是一种可逆性病变,通过积极治疗、日常预防,牙龈是可以恢复到健康、不再出血的状态的。