随着戴口罩的时间愈来愈久,我们对“微笑”的想念也愈来愈多。
微笑,可以跨越语言、文化种族的限制,作为表达亲切、愉悦与幸福的情感联系。

那什么样的笑容才迷人呢?
日本古代女性以为将牙齿染黑,可以显得脸蛋更加白皙,更具女性美。

然而,在中国以及现代对美的追求——唇红齿白,成为打造美丽笑容不可或缺的条件之一。
我们发现,不同于传统含蓄的笑不露齿,现代人更加自信展现笑容,勇于大胆show出美丽洁白的牙齿!

那么就让我们在5月8日世界微笑日,来学习如何塑造完美微笑吧!
如何塑造“完美微笑”?
总体来说“笑”可以分为三类:
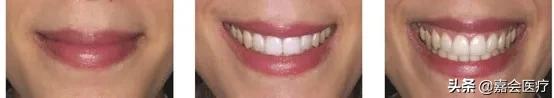
◑ 微笑:基本不露牙齿。
◑ 社交笑容:有限度的露出牙齿。
◑ 会心大笑:美丽的牙齿尽露无遗,甚至会露牙龈,往往这时正是相对迷人的笑容。

那么,从美学的角度来看,打造迷人微笑的关键是什么呢?
健康整齐的牙齿 白色美学 + 露得刚刚好的牙龈与双唇 粉色美学
现在何不拿起镜子,跟我们一起来看看自己是否符合迷人笑容的理想比例吧!
白色美学:健康整齐的牙齿
◑ 牙齿的颜色和形态
① 洁白皓齿,是第一亮点。
② 与脸型相匹配的牙齿形状,是协调之美的体现。

◑ 门牙,永远的C位
上前牙是笑容的主角,然而门牙与上前牙的不同状态却可能造成相应影响。
① 前牙排列的高度不同
图左相对倾斜,图右可看出高度较一致。

② 男女牙齿不同
图左为女性,图右为男性牙齿。

③ 与下唇的协调性如您笑起来如图一前牙与下唇切齐,为理想的笑容状态。图二虽然稍微露出一点下排牙齿,但比起图三还算及格的笑容。

④ 上前牙各牙间的比例理想笑容露齿的黄金比例为(自门牙算起):1.6:1:0.6。

④ 上颌中性的偏斜会笑歪嘴,但其实是因为上颌偏斜导致露齿比例的问题。

◑ 牙齿周围阴影的控制
① 间隙及黑三角图左可见因为齿缝过大,不只有明显间隙与大大小小的黑三角。

② 颊侧阴影图左阴影过大、图右阴影过小,图中的颊侧阴影为正好的比例。

粉色美学:露得刚刚好的牙龈与双唇
◑ 牙龈的高低及对称
微笑时理想的牙龈美学是,牙龈的对称性与协调性。下方图左就明显较右边画面美观。

◑ 露龈的程度
下图为不同年龄层对露龈的审美偏好。从左到右分别为年轻时代、中青年、老年。

◑ 上唇的容量及上下唇的比例
粉色美学不单指牙龈,还有嘴唇的厚薄比例。图左上唇过薄,上下唇比例不均;图右双唇相对丰满,且厚薄一致,感觉相对协调。

真正能给予您自信迷人笑容的口腔科医生,需要具备纵观全局的能力,而不只局限予牙齿矫正,应有对予细节的观察、把控能力,以及医疗手段,最重要是有发现美、创造美的能力。
版权声明:文章内容由嘉会医疗医疗团队撰写并审核,任何其他机构或个人未经允许不得转载。