来源:肿瘤资讯
【35 under 35】风采展示第二轮已经开始啦!本轮正经名叫“病例实战分析”,不正经名叫“互相伤害”,哈哈哈~100位入围选手每人提交一个有意思的病例,并就病例提出一个问题,形成一个病例库!然后100位入围选手从病例库中任意选择一个非自己提供的病例进行解读并回答问题!最后,我们将呈现病例+别人的点评+病例提供者自己的点评,同步展示!

100位小伙伴已将自己的病例提交,并提出了问题,让我们一起先阅读下精彩病例吧!
患者病史摘要
性别:女
年龄:78岁
主诉:额部红斑5+月,头皮包块1-月。
简要现病史:入院前5+月患者无明显诱因出现左额部红斑,后红斑蔓延扩大至右额部,遂到当地医院就诊,诊断为“面部皮炎”,予抗过敏治疗,额部红斑无明显好转。入院前2+月患者出现眼睑及颜面水肿,当地医院抗过敏治疗,未见明显改善。入院前1-月患者左侧耳后及枕部皮肤隆起,入我院皮肤科就诊,取枕部包块活检,病理回示:真皮内查见肿瘤浸润,结合免疫组化结果支持为血管肉瘤。免疫组化:肿瘤细胞呈CD31(+)、D2-40(+)、Factor8(+)、CAMTA1(-)、MPO(-)、CD34(-)、ERG(++)、EMA(-)、P63(-)、HMB45(-)、S-100(-)、LCA(-)、Ki-67(MIB-1)阳性率20%。现患者头皮包块出现溃疡,有渗血渗液,为求进一步治疗入我院。
体能状态评分:PS评分1分。
既往史:否认传染病史;否认手术史;过敏体质。
家族史:无特殊。
入院查体:生命体征平稳,神志清楚,慢性病容。面部及颈部水肿,头皮多发包块,枕部头皮见溃疡及渗液。心肺腹(-)。双下肢无水肿。
入院实验室检查:
1) 血常规检查:正常。
2) 尿常规:正常。
3) 大便常规:正常。
4) 肝、肾功能:正常。
5) 肿瘤标志物:CEA、CA199、CA125等均正常。
影像学检查
头颈部CT平扫:双侧颈部及颞枕顶部皮肤及皮下软组织增厚,肌间隙显示不清,局部呈软组织结节、团块状,双侧颈后三角区、颈动脉鞘周围、颌下间隙及锁骨上下窝淋巴结增多、增大,左侧颈动脉鞘旁淋巴结增大明显,截面大小约3.3cm×2.1cm,形态不规则,边界不清,性质:恶性肿瘤性病变?
胸部CT平扫:左肺上叶不规则结节影,伴钙化,最大截面约2.2*0.7cm,多系炎性结节。
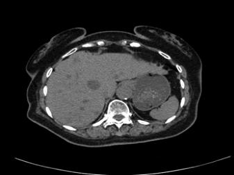
腹部CT平扫:腹部CT肝脏实质内见多发大小不等低密度及稍低密度结节及肿块影,大者位于右肝前上段,大小约3.4cm×2.9cm,部分边界清楚,部分边缘模糊,性质?胆囊未见增大,囊内见沙粒状高密度影,肝内外胆管轻度扩张。十二指肠降段内侧见1.4cm×1.2cm囊状影,其内含气。右肾实质内见囊状低密度影,大小约2.3cm×2.1cm。左侧肾上腺结节状增粗,增生?
入院诊断
1)头皮血管肉瘤伴颈部淋巴结及肝脏转移(T2aN1M1,IV期)
2)胆囊结石
3)十二指肠憩室
4)右肾囊肿
一线治疗方案
方案组成:单药脂质体紫杉醇
用法:单药脂质体紫杉醇(每周给药一次)
治疗周期数:共治疗7次
一线治疗疗效评估
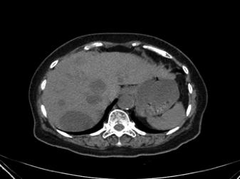
患者头皮包块较前明显缩小,溃疡面已结痂,无渗液及渗血。复查腹部CT示肝脏多发低密度灶,考虑肿瘤性病变可能,肝右前叶病灶合并少许出血,和治疗前旧片比较病灶增多、增大。
2017-1-4

2017-3-1

问题:该患者下一步的诊疗方案?
病例提供作者简介:97-张双

病例提供作者自评:
1.血管肉瘤是起源于血管的侵袭性肿瘤,头皮和面部是最常见的部位。该例患者头皮及肝脏均有病灶,且对一线治疗方案脂质体紫杉醇的反应出现异质性。如患者一般情况允许可行肝脏病变穿刺活检术确认病变性质。但该患者为78岁老年女性,穿刺风险较大,未行肝脏病变穿刺活检术。
2.对于一线治疗进展的血管肉瘤,推荐入组临床试验。此外,多柔比星单药治疗,聚乙二醇化多柔比星脂质体单药,吉西他滨单药治疗均是合理的选择[1,2]。
3.有少数血管肉瘤病案分析报道,多种靶向治疗药物对血管肉瘤有一定效果,少数患者获得显著疗效,这些靶向药物包括:贝伐珠单抗、舒尼替尼和索拉非尼[3,4]。
参考文献
1. Italiano A, Cioffi A, Penel N, et al. Comparison of doxorubicin and weekly paclitaxel efficacy in metastatic angiosarcomas. Cancer. 2012;118(13):3330-6.
2. Stacchiotti S, Palassini E, Sanfilippo R, et al. Gemcitabine in advanced angiosarcoma: a retrospective case series analysis from the Italian Rare Cancer Network. Ann Oncol. 2012 ;23(2):501-8.
3. Lu HJ, Chen PC, Yen CC, et al. Refractory cutaneous angiosarcoma successfully treated with sunitinib. Br J Dermatol. 2013;169(1):204-6.
4. Agulnik M, Yarber JL, Okuno SH, et al. An open-label, multicenter, phase II study of bevacizumab for the treatment of angiosarcoma and epithelioid hemangioendotheliomas. Ann Oncol. 2013;24(1):257-63.
版权声明版权属肿瘤资讯所有。欢迎个人转发分享,其他任何媒体、网站如需转载或引用本网版权所有内容,须获得授权,且在醒目位置处注明“转自:良医汇-肿瘤医生APP”。