天生丽质的面孔
长长的直发,大大的眼睛
高高的鼻梁,薄薄的嘴唇
再涂上鲜艳的口红
不禁会让人眼前一亮
这就是仙女下凡的模样?

听到夸奖的你笑了
露出了黄牙
搭配上口红,呈现出一副
“番茄炒鸡蛋”的情景
对面的我们都惊呆了
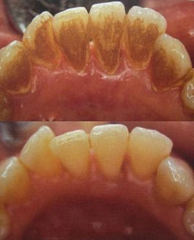
不知道你有没有遇到这样的烦恼,明明颜值很高,却毁在了一口牙齿上。不显眼的牙齿一旦变黄,却变得那样显眼。

明明每天坚持刷牙,牙齿还是很黄?
首先我们要明确,刷牙只是清洁牙齿和口腔的主要方法,并不是解决黄牙的方法。而且,口腔内侧壁的污垢以及牙结石也是刷牙刷不到的地方。
于是很多人就会选择洗牙:网上说了,刷牙刷不干净就去洗牙,洗完牙就白了。
确实,洗完牙很多人的牙齿都变白了,但少许人的牙齿上依然有黄色的斑点,这又该怎么办?

其实,如果你牙齿发黄是因为牙垢导致的,那么洗牙后看起来会干净许多,如果是牙釉质发育的问题,那么怎么洗都是一样的。
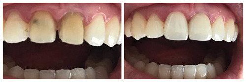
那么洗都洗不掉的黄牙,该怎么拯救?
牙齿贴面是牙齿美白修复的一种技术,牙齿贴面修复就是在染色牙表面,用以遮盖牙齿上的颜色。牙齿贴面分为瓷贴面、硬质贴面和树脂贴面。

我想知道牙齿贴面优势在哪?
1、安全:磨除牙体组织少。瓷贴面磨除牙体组织少,有些情况下甚至不要磨除牙体组织,可以保持天然牙齿长期的健康。
2、美观:仿真效果好。瓷贴面仿真的美容效果,具有与天然牙体组织相同的光学特质,不含有任何金属成分,表现出最佳的美学效果。
3、健康:对牙龈刺激小。瓷贴面具有极好的透光性,牙体预备时可以平齐牙龈即可,这样有利于保护牙龈及制取印模和粘结瓷片。

其实,并不是所有人都适合做牙齿贴面的。牙齿贴面以磨牙少甚至可以不磨牙的优势得到广大消费者的认可,但是做牙齿贴面对牙齿本身的要求是牙齿一定要整齐,这样做牙齿贴面才能真正达到非常美观的效果。