
病例资料
患者男性,42岁。主因右膝关节自发性肿胀、疼痛2天于急诊就诊。患者无外伤史,自述在过去两年内右膝肿胀反复发作,曾行右膝关节穿刺检查显示双折射阴性晶体并接受秋水仙碱治疗。既往病史包括右膝髌骨软化3级,哮喘和缺血性心脏病。
本次入院体格检查显示右膝关节红肿,存在中度积液和内侧关节线轻度压痛。受疼痛限制,右膝活动范围为10°-40°。
生化检查显示白细胞计数增加(WBC 10.6×109/L ),红细胞沉降率增加(ESR 28 mm/hr),C-反应蛋白增加(CPR 60.5 mg/L )以及尿酸水平增加(UA 575 umol/L )。
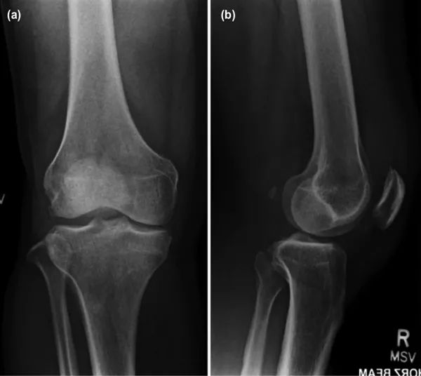
右膝X线检查显示退行性改变,并伴有内侧间室轻度狭窄(图1),关节内未见钙化。

图1 右膝关节X线检查
随后进行关节抽吸术,吸引出淡黄色浑浊液体,经分析显示有核细胞水平为19,900个/uL (参考范围 <200 个/ul),中性粒细胞比例为91%。抽吸液革兰氏染色及培养均为阴性。抽吸液显微镜下分析显示存在少量双折射为阳性以及阴性的晶体(图2),分别符合痛风和假性痛风的诊断。

图2 关节抽吸液及镜下表现
该患者接受了物理疗法和秋水仙碱治疗,由于存在缺血性心脏病和活动性哮喘病史,开始未应用非甾体类抗炎药物。随后处方对乙酰氨基酚和曲马多用于镇痛,痛风急性发作时未给与别嘌呤醇治疗。
患者疼痛改善,右膝活动范围扩大至0°- 160°。经过两天的住院治疗,患者出院。
分析讨论
在同一关节处同时发生痛风和假性痛风在临床比较少见,因此相关报道有限。急性痛风或假性痛风发作的患者通常存在炎症表现,例如关节渗出、疼痛以及关节活动受限等。通过肉眼观察关节抽吸液不能有效进行鉴别。抽吸液浑浊反映了细胞数量的增加,在痛风或假性痛风中均可出现。痛风合并假性痛风的诊断需要借助X线和偏振光显微镜检查。一些文献报告利用软骨钙质沉着来确定假性痛风的存在,但本例患者证实不存在软骨钙沉着并不能排除并发假性痛风的可能。
关节滑液偏振光显微镜下检查被认为是确定痛风和假性痛风的金标准,尽管应用普遍,但晶体的准确识别仍存在技术挑战,因此镜检技术人员的能力非常重要。假性痛风诊断的金标准是在关节滑液中发现焦磷酸钙结晶,光学显微镜下可观察到针状、短促棒状、长棱形结晶;在偏光显微镜下表现为弱双折射或无双折射,不同于尿酸盐结晶的强双折射。即使没有影像学改变或阳性的痛风临床病史,也应意识到痛风和假性痛风可能同时发生情况。
痛风和假性痛风的治疗方法类似,主要针对痛风的治疗方法对痛风和假性痛风均有效,物理疗法、非甾体抗炎药以及秋水仙碱仍为主要的治疗措施。
综上,痛风和假性痛风可能同时发在急性晶体性关节病中,偏振光显微镜检是一种有用的诊断方法。对于痛风反复发作的患者,临床医生应积极排除合并假性痛风的情况。
参考资料:
1.YH Wang,SWL Ho,A Rare Case of Gout and Pseudogout Occurring in the Same Joint.Malays Orthop J. 2019 Mar; 13(1): 54–56.
2.王洁蕊,崔刘福,舒荣,等. 混合型假性痛风一例[J].中华风湿病学杂志,2018,22(10): 699-701.