
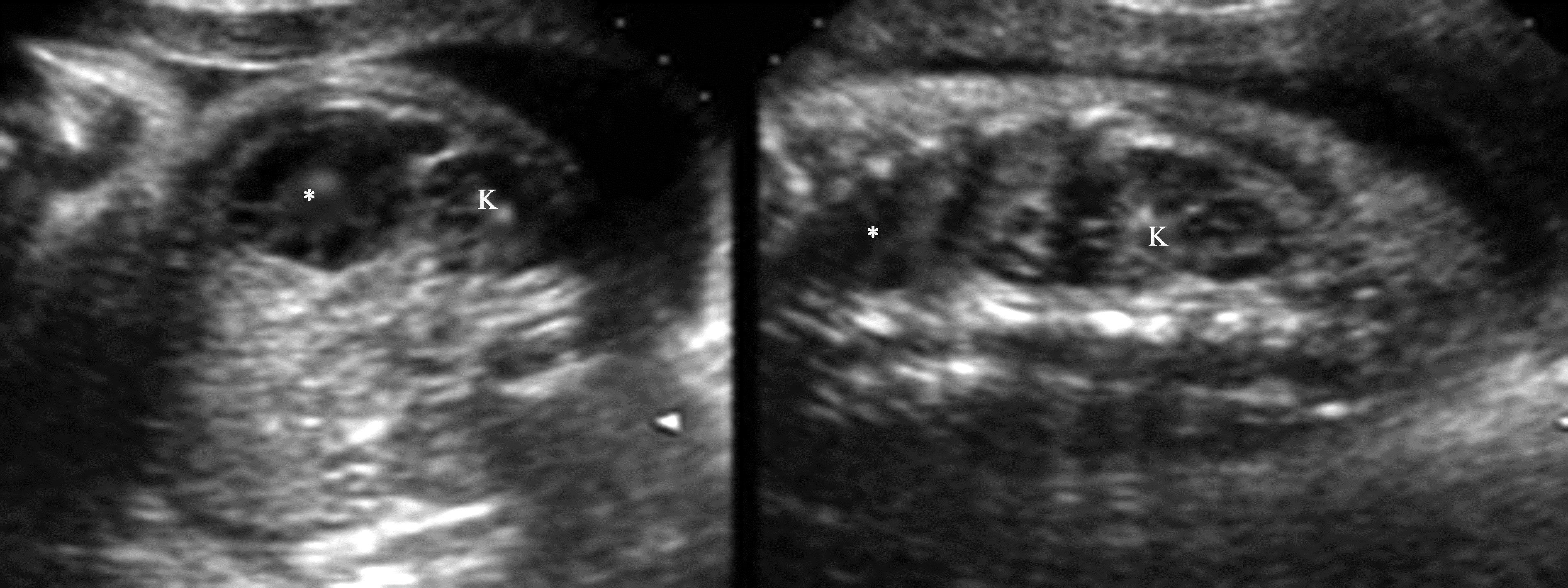
胎儿肿块在孕20周时较少发现,而到孕28周以后就相对多见了,主要原因是各器官在此时期已发育成熟。晚期妊娠是发现胎儿腹部肿瘤的主要时期,胎儿时期肾上腺及肾上极出现的肿块最多见的是神经母细胞瘤,其次是肾上腺出血、肺叶外的孤立肺、支气管源性囊肿、肾发育不全等,但此时期发现的神经母细胞瘤既可以是实质性,也可以是囊实性或囊性,因此除手术外常较难进行有效鉴别诊断。由于胎儿时期发现的神经母细胞瘤通常在生后时处于Ⅰ、Ⅱ或Ⅳ~S期,很多文献报道预后良好。胎儿肾上腺区肿块(图1)不论是良性病变或是恶性肿瘤,预后多良好,但需要生后严密观察随访。肾脏肿瘤罕见,常见的是肾中胚层瘤,位于胎儿肾内,较大,回声均匀,边界较清楚,可压迫肠管,其内彩色血流信号丰富,常伴羊水过多,生后手术成功率高,预后好。胎儿肾脏Wilms瘤很少见。

图1 孕29周胎儿左肾上腺区肿块(*)声像图
除了肾区,其他部位的胎儿肿块表现为较多可能性,其中位于肝下的囊性肿块较易诊断为先天性胆总管囊肿,且生后复诊较少出现偏差。肠系膜囊肿是位于小肠系膜的囊性肿块,是淋巴管瘤的腹内形式,一般生后多无症状,当囊肿较大时多需手术切除。肠重复畸形的超声特征是囊壁厚,内液浑浊稠厚。胎粪性腹膜炎,出现肠穿孔,之后局部形成粘连包裹成囊性包块。腹壁淋巴管瘤和血管瘤产前相对较易诊断,前者超声特点是位于腹壁不规则液性暗区伴无血流,后者则血流信号较多。畸胎瘤是胎儿时期较多发现的肿瘤,其中以骶尾部最为常见,后腹膜畸胎瘤产前超声的特点是脊柱前囊性、混合性或实性的肿块,常伴有明显钙化强回声。
肝脏肿瘤少见,产前超声表现为肝内单个或多个低或高回声团块,部分可有钙化。文献报道的胎儿肝脏肿瘤有肝囊肿、肝血管瘤、肝母细胞瘤、肝腺瘤、错构瘤、肝转移性肿瘤等(图2)。较大的胎儿肝血管瘤及肝母细胞瘤,可导致肝脏增大,多为混合性回声肿块。较大的胎儿肝血管瘤可出现广泛的动静脉瘘而导致胎儿高心输出量性心力衰竭,进一步发展可导致胎儿水肿,但这种情况相当罕见。诊断先天性肝囊肿时,应注意与胎儿胆囊、胎儿肝内段脐静脉曲张等相鉴别。肝肿瘤较大伴胎儿水肿者,预后不良。肝母细胞瘤及转移性肝肿瘤预后不良。单纯肝囊肿预后良好,但合并胎儿多囊肾者预后不良。

图2 孕29周胎儿肝脏血管瘤
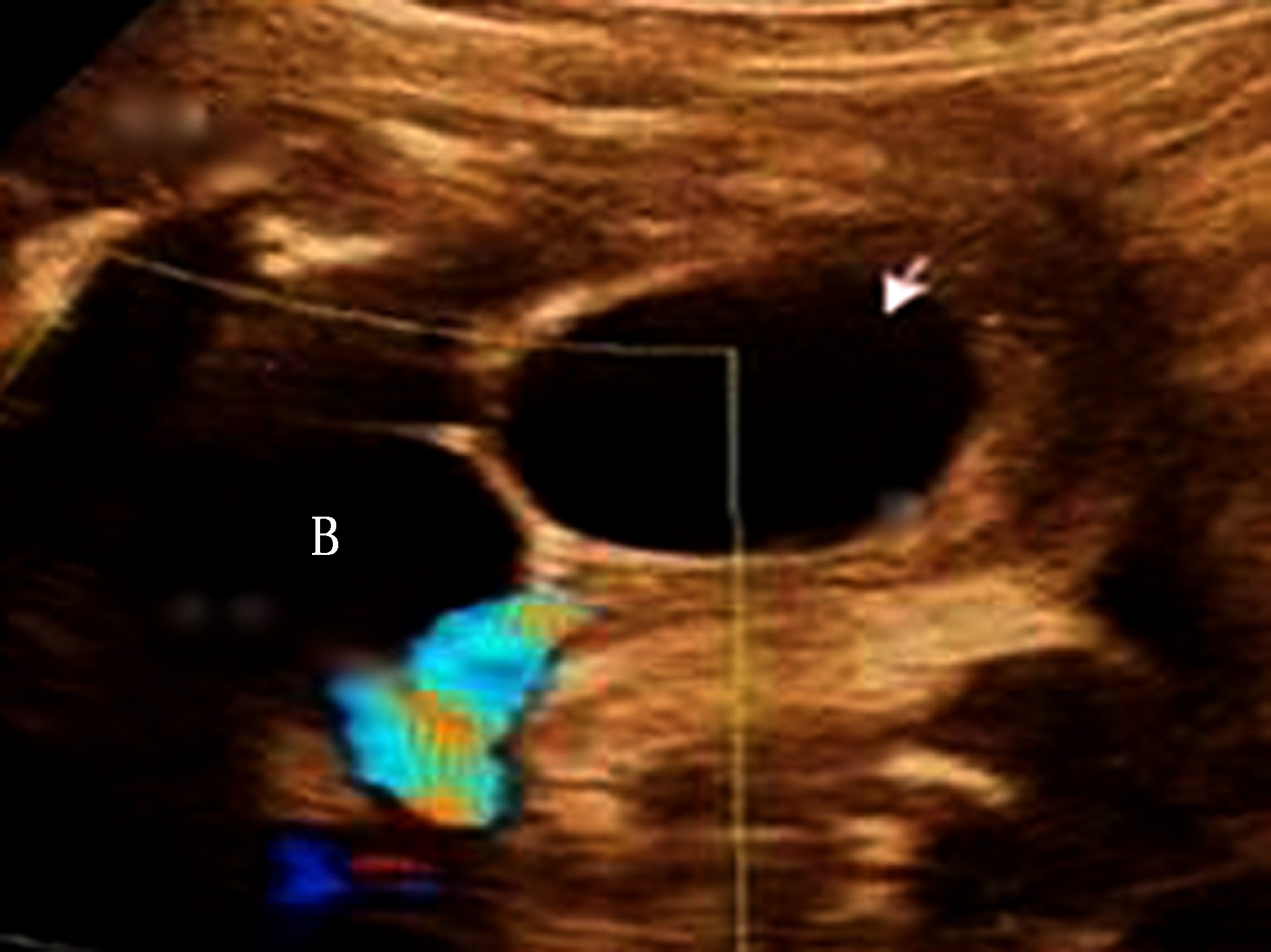
胎儿附件区囊肿是女性胎儿发现最多的腹部肿块之一,其发病率估计在1/2 600,多数为卵巢囊肿,其他还可见于胚胎遗迹囊肿。卵巢囊肿的成因是由于胎儿FSH、母体雌激素及胎盘hCG刺激的结果,有报道95%的卵巢囊肿为单侧。典型的卵巢囊肿超声表现为胎儿盆腔的囊状无回声,形态规则,边缘清楚,与膀胱相邻但不相通(图3),如果明确女性胎儿,则可以明确诊断。有报告最大直径可达10cm。

图3 孕30周胎儿卵巢囊肿(箭头)声像图
当直径≤5 cm的单纯性囊肿被认为有高达75%的自然消退率,卵巢囊肿因存在扭转至卵巢丢失、囊肿破裂至血腹及引起肠梗阻等并发症可能,因此生后处理已引起较多专家的关注,一般认为先进行保守治疗。有作者认为当囊肿直径≤5 cm可生后连续超声观察随访,其他均应手术治疗,也有作者报道当囊肿≥5 cm行宫内穿刺或新生儿期腹腔镜手术以防止扭转的发生。