1月上旬,一位B超提示“右乳Birads3类”、钼靶提示“右乳内下象限区域分布细小多形性及模糊不成形钙化,Birads4a"、乳腺增强MR报告”右乳内侧份线样强化,BI-RADS 3类“的患者来我门诊咨询。

钼靶发现右乳内下象限钙化

钼靶发现右乳内下象限钙化
仔细检查患者后,我发现患者右乳乳晕区质地较左侧偏硬,右乳晕触诊病灶与钼靶发现的钙化灶位置不一致;MR报告为BI-RADS 3类,但我发现患者乳晕下方、与乳管相连有一个增强结节,因此建议患者手术。估计患者事前已了解过BI-RADS 3类是良性可能大,因此想先回老家过年、年后做手术。

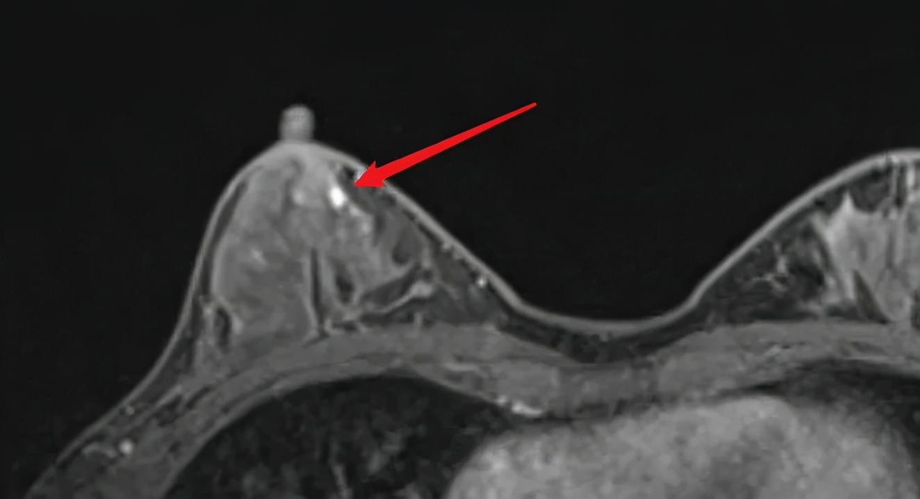
MR发现右乳晕与乳管相连结节
我与患者一起解读MR,并告知:我感觉乳晕下乳管内结节不舒服,至少是导管内乳头状瘤,目前虽然没有乳头溢液,但乳晕下乳管结节迟早会增大、会出现乳头溢液,甚至会发生异变,如果你不同意手术、最多只观察3月,但我建议你马上手术治疗!
患者最终认可我的建议、同意手术了。术前为了精准定位,我们再次在B超下确认病灶,当时就发现乳头下导管内多发 细小钙化点,并延续到钼靶发现的内下象限钙化灶区。

乳头乳晕下多发钙化
1月中旬,我们为患者做了乳头乳晕复合体下方乳管及部分腺体切除,病理证实”右乳腺中级别导管原位癌(瘤体最长径0.6CM)“,因病变广泛、经充分沟通告知,患者最后接受了”右乳腺全切+一期假体乳房再造术“。


术后病理报告
术后病理证实”右乳腺中级别导管原位癌(瘤体最长径0.6CM)伴多灶中级别导管原位癌(最长径<0.1CM),ER95%,PR30%,Ki67 10%“,经MDT讨论,患者没有浸润灶,属低危早期乳腺癌,只须吃5年三苯氧胺、定期检查,不用化疗、放疗,而且预后良好。真是不幸中之大幸!
庆幸之余,有点后怕,如果当时患者不接受我们的建议,可能以后就诊将会出现微浸润或浸润,疗效就不一样了!在此,我非常感谢患者对我们医生建议的信任。钼靶开展以来,已发现多例乳腺导管原位癌,感谢我院乳腺诊治相关的肿瘤外科、超声影像、病理及肿瘤内科等部门,多科协作守护着患者健康!
介绍:
1什么是乳腺导管原位癌?
乳腺浸润性导管癌在发生发展过程中,会逐步经历导管增生、导管不典型增生、导管原位癌、导管原位癌伴浸润,其中乳腺导管原位癌(DCIS)是导管内上皮细胞已癌变,但尚未突破基底膜、癌细胞局限在导管内,如同秧种还未抽根发芽,及早治疗预后极好,但若不经治疗,乳腺导管原位癌最终会发展为预后较差的浸润性癌。乳腺导管原位癌分为3级,即低级别、中级别和高级别,其中高级别核分裂象多,分化差。


2乳腺导管原位癌如何诊断?
一般情况下,乳腺导管原位癌(DCIS)多表现导管内微钙化,因此钼靶对导管原位癌较敏感,但对于年青的致密型乳腺癌患者,钼靶的敏感性会下降,因此需要联合彩超、MR或病理活检,医生根据不同检查的优缺点对患者进行综合评估,有时还需要结合体检明确诊断。


3乳腺导管原位癌如何治疗?
乳腺导管原位癌(DCIS)预后较好,死亡率低,降低其局部复发率是治疗重点。手术是治疗乳腺导管原位癌(DCIS)的主要方式,根据病变部分、病变范围及手术能否保持外观而决定保乳术或乳房切除术:
1.若 DCIS <4 cm 或者为单个病灶,且手术能够保持外观,可以选择保乳术+放疗;若切缘多次阳性,则行乳房切除术。
2.若病变为多灶性或范围 >4 cm 时,考虑乳房切除术。
3.病变范围 >4 cm,55 岁以下,乳腺钼靶提示包块,II 或 III 级的 DCIS 患者,有存在侵袭性癌灶的可能,应行前哨淋巴结活检;活检阳性患者按照侵袭性肿瘤处理。
4.可以结合VNPI评分,通过肿瘤大小、患者年龄、手术切缘和肿瘤细胞核分级4个方面综合考虑,如VNPI 10~12分者建议行乳房切除术,VNPI 4~6分者可行单纯局部切除术,而VNPI 7~9分者则建议行局部广泛切除联合全乳放疗。
5.术后内分泌治疗可以控制乳腺导管原位癌(DCIS)局部复发率,ER阳性患者术后须内分泌治疗。
4乳腺导管原位癌如何随访?
乳房全切或乳房再造的患者,一般每6到12个月随访一次。如果是保乳手术,2年内每三个月复诊一次,第三年开始每半年复诊一次,第六年开始,每一年复诊一次。医生会进行体检、乳房B超检查及其他检查,每年一次 钼靶 检查,必要时MR检查。
对于内分泌治疗患者,医生会根据所吃的药物做针对性的检查,评估药物治疗的毒副反应、患者耐受性,评估疗效。

目前乳腺癌的管理已进入“全程、全方位”管理模式,对于乳腺导管原位癌患者,不仅要关注原位癌治疗以减少局部复发率,更应关注后继治疗疗效及合并症预防,以提高患者生活质量。