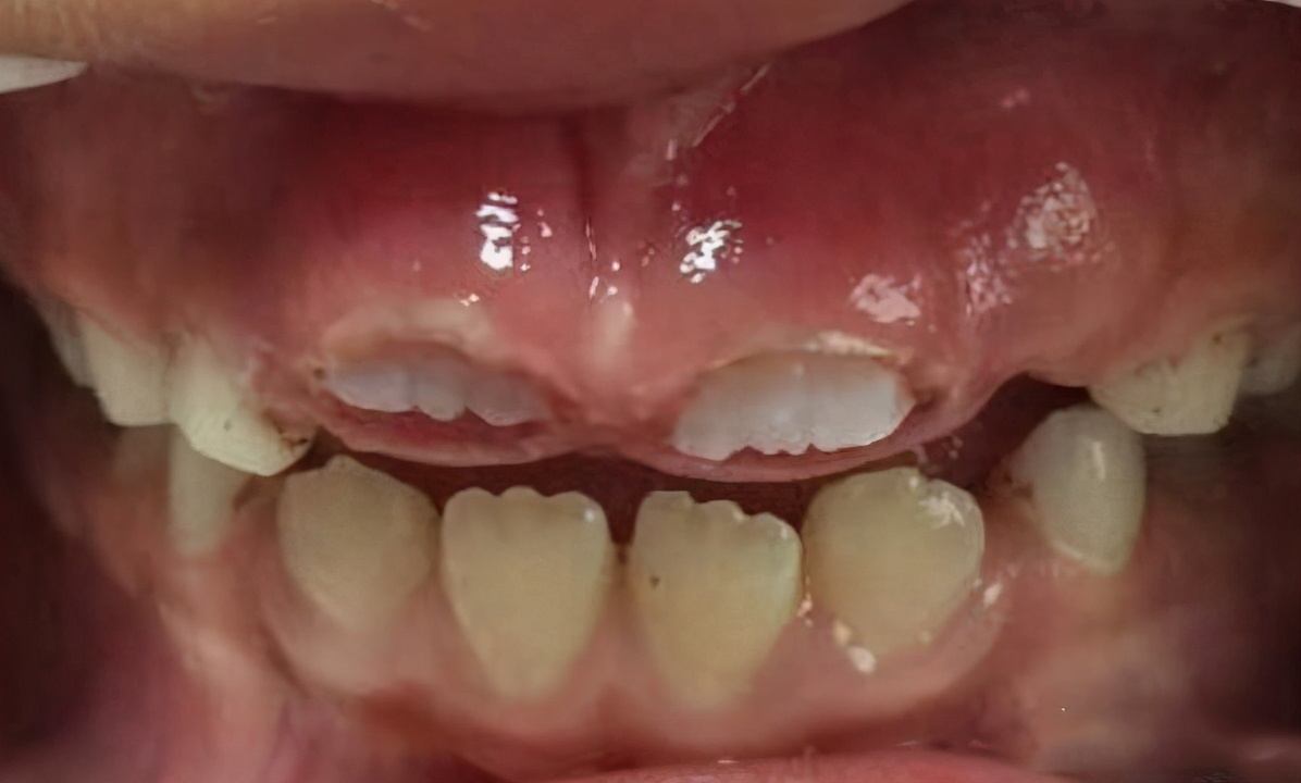
最近欣欣妈妈有点着急,因为7岁的欣欣在1年前就掉了门牙,而新的门牙迟迟没长出来。看着欣欣光溜溜的牙床,欣欣妈妈越来越焦虑,担心新牙长不出来,最后决定去医院看看。经检查后,发现欣欣牙龈增厚,需要做微创开窗助萌术。为什么欣欣牙龈会增厚?微创开窗助萌术是啥?接下来木主任就跟大家好好讲讲。

为什么乳牙掉了,恒牙却没长出来?
1、恒牙先天缺失
我们都知道,孩子乳牙掉落,就会有个恒牙长出来。但并不是所有人都遵循这个规律,有一定比例的孩子会因为恒牙先天缺失的情况,导致乳牙掉落后就没有牙齿长出来了。判断孩子有没有恒牙先天缺失需要X线检查,如果你家孩子有牙齿长时间没有长出来的情况,建议尽快带他去做个X线检查。

2、牙龈增厚
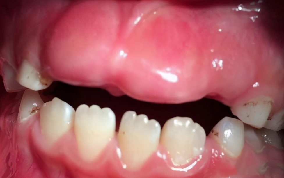
这是因为乳牙过早脱落,导致牙龈长期受到咀嚼摩擦而变厚变硬,这就是牙龈增厚。打个比方,本来欣欣的乳门牙要在7岁时自然掉落,但是在她6岁的时候因为摔跤意外把门乳牙磕掉了,而正常恒门牙需要到7岁才能萌出,那么在这一年时间里,欣欣长门牙的地方就会一直空着,吃东西咀嚼会摩擦裸露的牙龈导致其变厚。等到恒门牙要长出来的时候,因牙龈太厚太硬就难以长出,这时就需要切开增厚的牙龈,帮助新牙长出,这就叫微创开窗助萌术。

3、恒牙胚发育异常
当恒牙胚发生倒置阻生或者恒牙根发生弯曲等情况,其本身就无法正常萌出,必须依靠开窗助萌后,然后采用正畸牵引助其正常萌出,否则会造成该处一生缺牙。
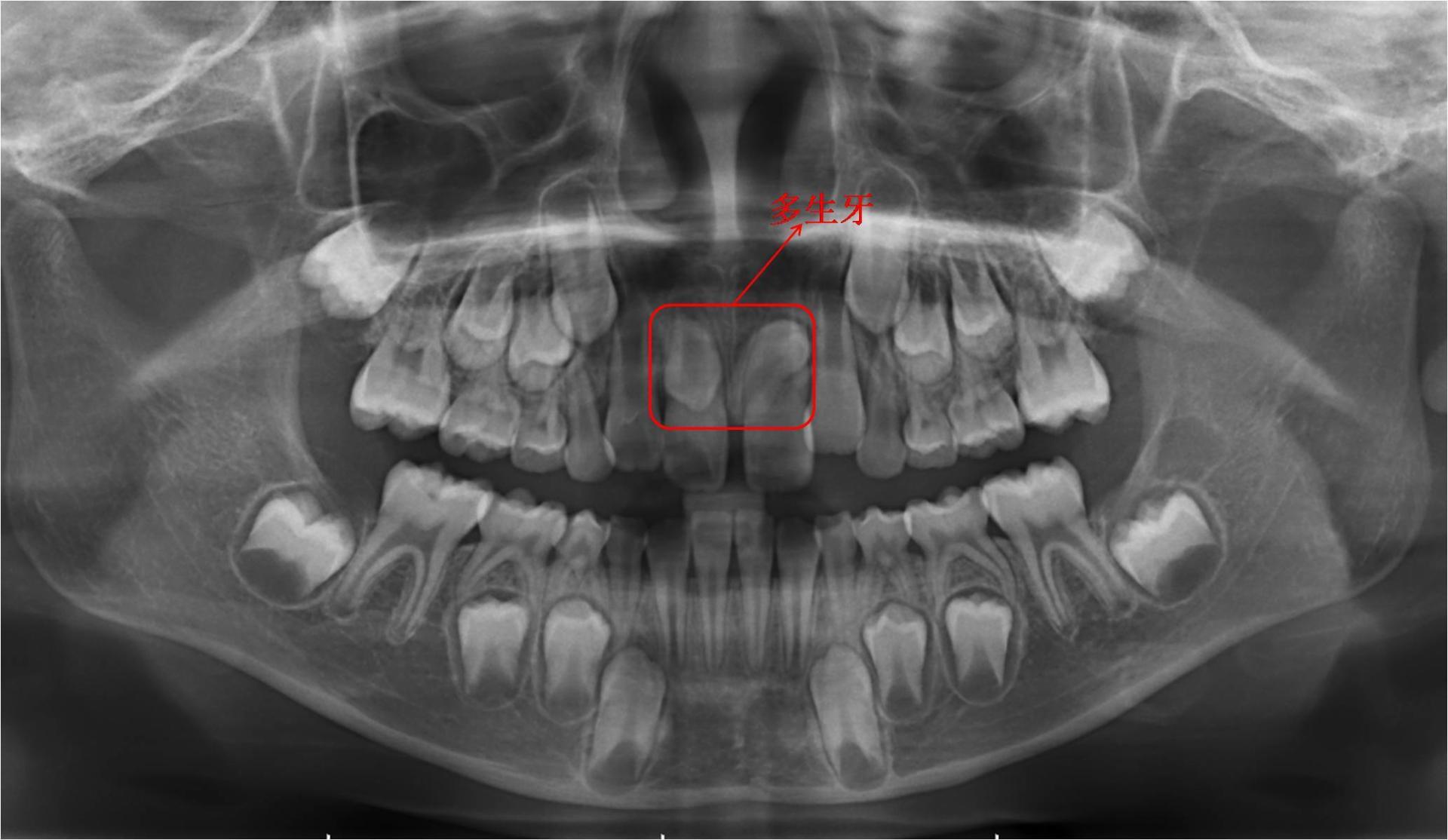
4、多生牙
有时会在两颗正常的恒牙胚间长一到两颗多生牙,多生牙不但会影响正常恒牙的顺利萌出,而且存在时间过长则易形成含牙囊肿,需及时拔除后,以便让恒牙萌出。

当然,以上所说的都是非正常情况,正常情况是牙胚发育正常,未见多生牙影像,牙龈正常,这样的话即便新牙尚未萌出,也没多大问题,家长只要安心等待新牙萌出即可。
想要了解更多口腔健康知识,请关注罗湖医院口腔科木主任
文中图片均来源于网络,若有侵权,请联系删图。