在早些年前,由于纹饰物质与技术的缺乏,用传统纹饰手法和化工染料产品,进行纹饰后的项目经过一年以后,多半会形成发红和发蓝的现象,且这种含重金属色乳不容易代谢,停留在皮肤里面几年甚至上十年都无法掉色。

以至于现在那么多的爱美人士若想更换更时尚潮流的妆容,只能通过激光或者切眉方式祛除后,再来重新定制健康的可逆性的半永久项目。

当然并非所有人都愿意用激光或切眉术等方式祛除,毕竟这些对于人体细胞有一定损伤度,那如何能做到既不伤害皮肤,又能达到修饰美化的作用性呢?找一位专业的容貌管理专家,利用色彩相对原理,将自己有底色的眉毛来进行颜色转化。

首先来分析下红眉毛,以前的红眉毛是因为产品研发能力有限,化工染料造成发红,而现在如果使用的国家医药级别研发的植物色乳,就不会出现发红的现象了,当然现在有些人做完了眉毛出现发红,这个是因为皮下淤血造成皮损,手法过重或仪器档位太大造成皮下出组织液发红,在4周内会自然恢复。

红色的相对色是绿色,进行转化后会成为褐色,在进行选色时,可以选择含有绿棕色、墨绿色、棕黑色、或灰色系的色乳来进行操作。建议采用雾眉项目进修美化,遮盖效果会更加彻底一些,如果有超出眉型的多余底色,可以用对应的皮肤色乳进行遮盖。

如果喜欢线眉效果,也可以用到线加雾方式操作,线条缝隙间可用到播雾方式轻扫,达到线实雾虚的状态。
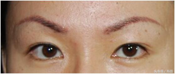
而蓝眉毛的形成原因有两个因素造成,一则产品色乳不合格造成,例如无三证、无注册商标、没有经过严格标准的研发配方选出来的色乳会出现发蓝现象。下面这个眉毛就是10年前操作发蓝的现象。

二则是因为纹绣师手法太重,导致色乳渗透到了真皮层,透过黄色透明角质层,反出来就是蓝色现象。

蓝底色的相对色是黄色,在选择色乳时可以参考明亮度高的咖色系列,黄咖、浅咖、棕啡等。切忌勿用灰色、墨黑色系直接操作,这样会加重蓝色感。如果较深的蓝底色,还可以使用专业转蓝的色乳先转色后上目标色。上面的蓝眉毛经过咖色系焕色后,下图:

恢复10天后,就看不到蓝底色了哦。

若是红蓝底色的眉毛偏离了新的眉型,出现两条眉毛的状态,这种情况下,只能通过激光或者切眉术祛除,不建议使用肤色全面覆盖,肤色遮盖的面积太大,掉色后容易出现的斑驳不均匀现象,就无药可救了。激光也没法祛除肤色。下图这种就只能借助激光方式褪去。

当然,在进行选择二次半永久定妆时,一定要到专业、有品牌支撑的纹饰店进行咨询了解,务必要选择植物配方、健康安全有国家绿标认证的色乳,植物色乳里面添加的很多矿物质成分可以修复受损的细胞,还会将含重金属的化工染料代谢掉,千万莫要贪图便宜而去找了街边的三无纹饰店,回头非但达不到焕色的效果,还有可能做出“小新”眉状态,那就得不偿失了。
我是肖苗,感谢大家的阅读,今天就分享到这里,想了解更多纹绣方面的知识可以在评论区留言哦。
(本文由肖苗原创,转载请注明版权!)