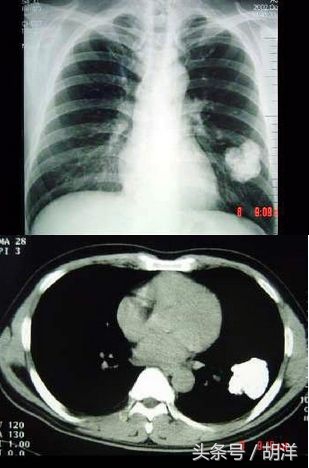
肺结核是一种常见的传染病,是由于结核菌感染造成的肺部结构破坏性疾病,其发生不单单有结核菌在肺部生长增殖并破坏肺部结构的因素,也有免疫细胞在与结核菌相互作用释放一些酶类造成肺部损害的因素,肺结核常常会出现钙化灶,特别是以往患有结核愈合后留下的疤痕,常常以钙化的形式存在,可以这么说钙化灶是肺结核愈合的表现,或者是陈旧性病灶的标志。
出现钙化提示病灶中无结核菌活动
大部分情况下,病灶中只要有活的结核菌就不会出现钙化病灶,因为能够产生钙质的细胞不能在活动性结核病灶中存活,所以只要出现钙化,说明分泌钙质的细胞在病灶中站稳了脚跟并开始分泌钙质正常工作,病灶中要么结核菌已经被清除,要么出于休眠期。

有钙化灶是不是能够完全排除结核
虽然钙化灶是结核愈合的标志,但只能代表钙化灶所在的部位愈合,并不能代表钙化灶以外的其他部位不是活动性结核,事实上肺结核的特点就是以多发的多形态的病灶为表现,钙化只能说明钙化的部位愈合,其他非钙化部位是否有活动性结核并不能确定。

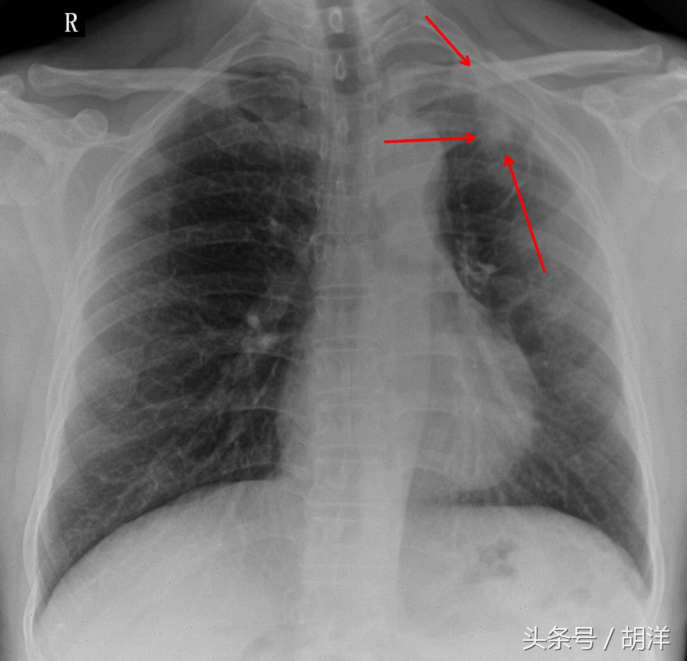
钙化灶常能排除恶性肿瘤可能
肺部的病灶如果其中有钙质,特别是钙质出于病灶的中间部位或者占病灶体积的绝大多数,则恶性的可能性比较小,如果钙化部位出于病灶的边缘或者偏于一侧,则并不能完全排除肿瘤的可能性。

钙化灶并不是结核所特有
钙化灶并不是陈旧性结核所特有的,多种感染性疾病都有可能在慢性发展过程中出现钙化现象,已经完全愈合的钙化病灶基本上不能完全消掉,大部分也不会对身体造成严重的损害。

钙化灶是肺部损伤病灶的修复机制,出现钙化大部分说明病灶中的病原体已经没有活性,在鉴别诊断中,钙化灶大多数时候是排除肿瘤的特征性标志。