在现代大多数人的眼里,牙齿的颜色当然是越白越好。古代的《诗经·卫风·硕人》中,把美女的牙齿形容为“瓠犀”,就是指美人的牙齿如同葫芦籽一样整齐洁白~~在古罗马,人们为了牙齿洁白,甚至发明以尿洗牙的偏方。洁白的牙齿是古今中外人体美的一个重要标准,这点似乎毋庸置疑。

当然,人类也有以黑牙齿为美的,这个历史很长,甚至延续至今。在古越人的心目中,牙齿就应该是黑又亮的。我国南方少数民族如傣族、布朗族、基诺族、佤族、哈尼族、阿昌族、德昂族、黎族、壮族等,也有染齿的习惯。

而其实,即使没有人为的改变牙齿,牙齿在不同的情况下也会“自动变色”,不过你不要以为牙齿变成了各种颜色,就认为自己可以变身为奥特曼,也不要认为你是进化了还是拥有了超能力,这其实是身体的一种警示。
一、白色:
牙齿表面虽然白,但没有光泽,就像墙上的白灰一样,这是牙齿钙化不全的现象,叫白空质色。这类牙齿不坚硬,容易磨损,易患龋齿病。如果牙齿颜色呈死白色,多是因为母体妊娠期摄取钙质不足,或者婴幼儿时期患有严重的传染病及慢性病所造成。
二、黄色:

若牙齿颜色呈黄色,多是婴儿时期引用了含氟量高的水造成的。这种牙齿刚萌出就是黄色的,而且牙齿表面还会出现高低不平,或者有呈斑块状脱落样改变。
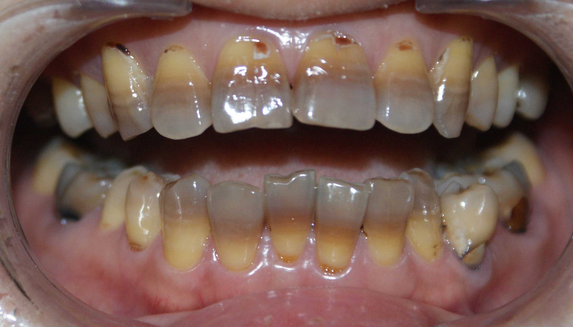
若牙齿颜色呈灰黄色,多是由于广泛使用四环素、土霉素等药物引起的,俗称“四环素牙”。
三、黑色:

牙齿颜色呈灰黑色,多见于牙齿受伤,如碰击、创伤性咬合等导致牙髓坏死后的表现,必须尽早进行牙髓治疗,必要时得配合漂白后进行修补~~
吸烟饮茶的人,牙根上常存有烟茶的黑色沉积物,这些黑色物及牙垢、牙石应该定期清除,最少一年洗一次牙,以免引起牙周炎症以及出血,或者是龋齿。
四、其他色:
如果牙齿呈红色,可能是提示你患上了伤寒或者其他急性皮疹感染。
经常接触一些有色金属,比如铜、铁、镍、锰等或者金属盐的,可能会使牙齿根部出现与该金属颜色相近的线带。
牙齿如果呈现棕色,表示可能患有代谢性疾病。
患有核红细胞增多症的幼儿,牙齿会呈现灰绿色。
孕妇在怀孕期间罹患风疹、毒血症等病,牙齿会呈现棕灰色。

还有一种情况:喜欢喝咖啡的人,通常色素沉淀时间一长,牙齿也会变黄。但还要注意一个更严重的问题,喝咖啡不仅仅是牙齿变黄,还可能引起色素沉淀,造成色斑。所以适当喝咖啡提提神是可以的,但最好不要喝上瘾,否则不仅会影响牙齿,也会影响你的健康哦!
